09.12.2017
Бронхиолиты – возможности и задачи рентгенологической диагностики
Бронхиолит – заболевание дистальных отделов бронхов, состоящих из терминальных и респираторных бронхиол.
Бронхиолит – заболевание дистальных отделов бронхов, состоящих из терминальных и респираторных бронхиол.Терминальные (синоним – мембранозные) бронхиолы диаметром 1–2 мм переходят в респираторные (0,6 мм в диаметре), которые через поры связаны с альвеолами. Терминальные бронхиолы являются только воздухоприводящими, респираторные принимают участие в проведении воздуха и газообмене. Общая площадь сечения терминального отдела респираторного тракта во много раз превышает площадь сечения трахеи и крупных бронхов (53–186 см2 против 7–14 см2), однако на долю бронхиол приходится только 20% сопротивления воздухопотоку. В связи с малым сопротивлением терминальных отделов респираторного тракта на ранних этапах поражение бронхиол может протекать бессимптомно, не сопровождаться изменениями функциональных тестов и является случайной находкой при компьютерной томографии легких высокого разрешения (КТВР).
Благодаря находкам КТВР ранее существовавшее мнение о редкости бронхиолитов в настоящее время не находит подтверждения. Накапливается все больше фактов в пользу того, что поражение бронхиол может быть пусковым механизмом многих хронических и острых заболеваний легкого – астмы, хронического обструктивного бронхита, идиопатических интерстициальных пневмоний и других. С клинических позиций любое воспалительное поражение бронхиол трактуется как констриктивный (облитерирующий) бронхиолит, что обусловлено сужением их просвета и нарушением функции воздухопроведения [1].

Клиническая классификация заболеваний бронхиол приведена ниже:
1-Острый, хронический
2-Диффузная форма (панбронхиолит)
3-Бронхиолит курильщиков
4-Констриктивная форма (облитерирующий бронхиолит):
– идиопатический;
– профессиональный, токсический;
– постинфекционный;
– ревматический;
– лекарственный;
– посттрансплантационный.
Патоморфологические варианты изменений бронхиол приведены ниже:
-Целлюлярный
-Фолликулярный
-Профессиональный
-Респираторный бронхиолит курильщика
-Диффузный панбронхиолит
-Констриктивный бронхиолит
-Облитерирующий бронхиолит с внутрипросветным полипозом
-Респираторный бронхиолит, связанный с заболеванием интерстициальной ткани легкого
-Облитерирующий бронхиолит с организующей пневмонией

Воспалительный процесс приводит к концентрическому сужению просвета бронхиол, частичной или полной облитерации рубцовой соединительной тканью, разрастающейся в подслизистом слое и (или) в адвентиции.
Возникают бронхиолярный, перибронхиолярный хронический воспалительный инфильтрат, слизистые пробки в просвете, застой секрета, формируются бронхиолоэктазы. По мере прогрессирования процесса могут поражаться крупные бронхи, где нередко обнаруживаются цилиндрические бронхоэктазы. Все бронхиолиты протекают с одинаковой клинической картиной прогрессирующей одышки, слабым ответом (за отдельными исключениями) на стероидную терапию, плохим прогнозом.
Констриктивная форма бронхиолита приводит к выраженным патоморфологическим изменениям терминальных отделов респираторного тракта [7].

Морфологические признаки констриктивного облитерирующего бронхиолита приведены ниже:
-Острые воспалительные изменения слизистой
-Острое или хроническое воспаление стенок
-Рубцовые изменения стенок, адвентиции
-Перибронхиальный фиброз
-Необратимая облитерация, сужение просвета
Лучевые методы – рентгенография и компьютерная томография (КТ) – основные в прижизненной оценке макроструктуры легочной ткани [2–4, 6, 8].

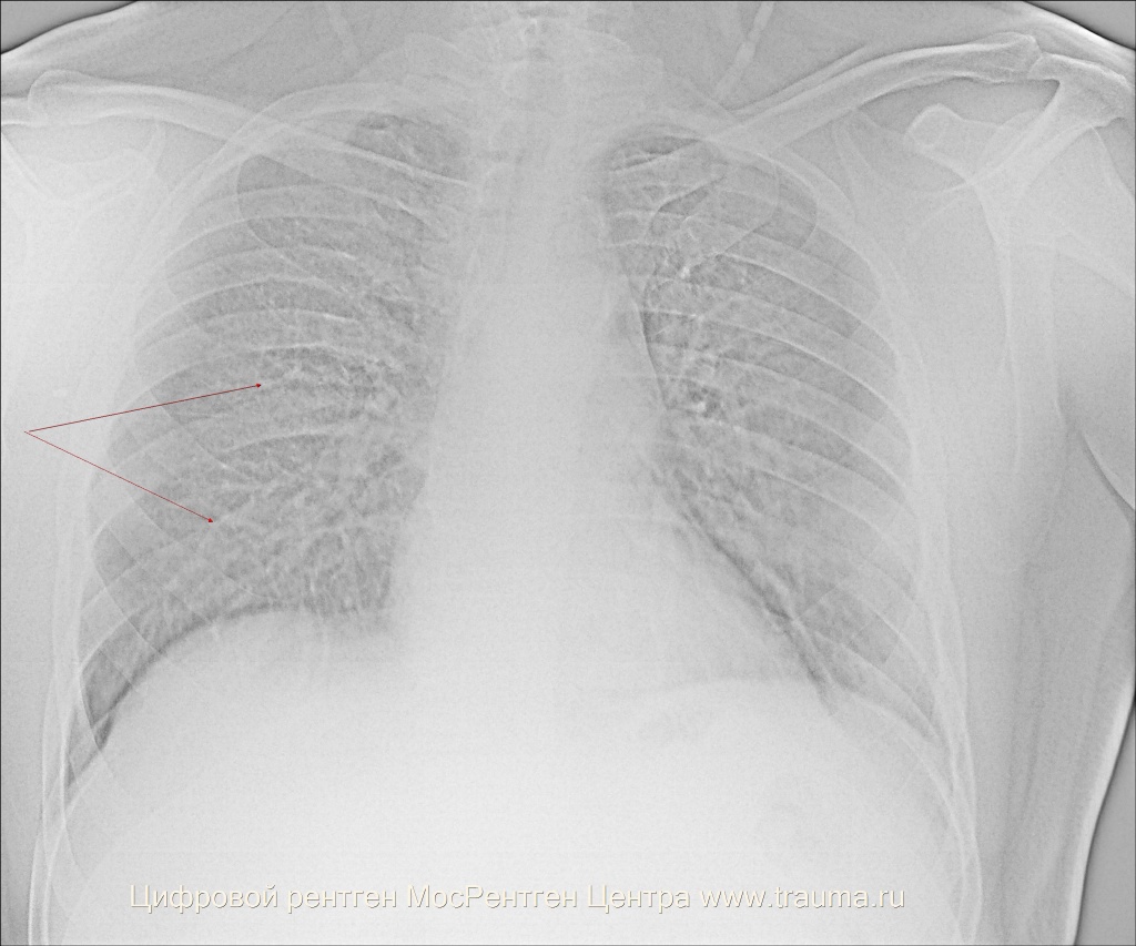
Традиционная двухпроекционная рентгенография и продольная томография регистрируют далеко зашедшие случаи бронхиолитов, выявляя диффузное, диффузноочаговое усиление легочного рисунка, эмфизематозно вздутые участки легкого, перибронхиальный фиброз крупных бронхов, уплотнение корней, малую подвижность диафрагмы (рис. 1).
Изменения на рентгенограммах неспецифичны и наблюдаются не только при бронхиолитах, но и в целом ряде других патологических состояний.
Компьютерная томография имеет ряд особенностей в визуализации дистальных отделов респираторного тракта. При отсутствии в них патологических изменений паренхима легких на уровне дольки не находит отображения при КТВР. При развитии воспалительного процесса в бронхиоле происходит утолщение ее стенки, накопление секрета в просвете, развитие гиповентиляции или, наоборот, вздутия за счет клапанного механизма нарушения воздухопотока в альвеоле.
Комплекс вышеописанных процессов в зависимости от локализации, распространенности, фазы течения воспалительных изменений приводит к различным вариантам отображения бронхиол и альвеолярной ткани на компьютерных томограммах высокого разрешения. Компьютерная томография в зависимости от гистоморфологического варианта развития обструктивного бронхиолита выявляет различные изменения макроструктуры респираторного тракта.
Целлюлярная, фолликулярная, профессиональные формы бронхиолитов имеют идентичное отображение при КТВР. За счет воспаления или гиперплазии лимфоидных элементов (при фолликулярном бронхиолите) поражаются все слои стенки бронхиолы, формируется перибронхиолярный компонент.

На компьютерных томограммах определяются центрилобулярно расположенные, плотные,мелкие очажки или линейные структуры с отходящими под острым углом дополнительными “веточками” с очажками.
Данный симптом обозначен нами как “ветка вербы”. Диаметр очажков, линейных структур соответствует диаметру бронхиол и равен 1–2 мм (рис. 2).
Симптомы обусловлены визуализацией при КТ уплотненных за счет воспаления и внутрипросветного скопления слизи бронхиол.
При параллельном их ходе к КТ-срезу они отображаются в виде “ветки вербы”, при перпендикулярном – округлой формы очажками(рис. 3).
При заполнении воспалительным секретом, инфильтрации, фиброзе стенок респираторной бронхиолы происходит ее визуализация при КТВР в центре дольки.
Четкие контуры, однородная внутренняя структура, мягкотканная плотность (40–60 H) указывают на далеко зашедший воспалительный процесс, необратимые фиброзные изменения. Увеличение очаговых и линейных структур более 5–6 мм, возникновение нечет кости, размытости их контуров свидетельствуют о распространении воспалительного процесса на окружающие ткани, в том числе альвеолярную. Это является важным прогностическим признаком осложнения облитерирующего бронхиолита – перехода процесса в облитерирующий бронхиолит с организующей пневмонией (ОБОП).
Респираторный бронхиолит (бронхиолит курильщика) отличается от предыдущих видов бронхиолитов появлением очагов центрилобулярной эмфиземы, зон “матового стекла”. Это обусловлено сужением просвета бронхиолы, возникновением клапанного механизма нарушения вентиляции дольки с последующим переходом в гиповентиляцию. При сканировании на вдохе и выдохе вентиляция практически не меняется, как это бывает при эмфизематозных изменениях, в том числе и в зоне“матового стекла”, что указывает на обструктивный генез изменений (рис. 4).
Целлюлярный бронхиолит, если он не был своевременно распознан и не лечился, может привести к облитерирующему бронхиолиту с развитием внутрипросветного полипоза (констриктивная форма бронхиолита). Возникают эндобронхиальные полипы из соединительной ткани, которые флотируют в просвете или плотно располагаются на стенке бронхиолы.
При КТ определяются центрилобулярно расположенные очажки размером 2–3 мм и более, отображающие грануляционную ткань полипов, перибронхиальное воспаление.
Нередко в процессе динамического наблюдения за больным фолликулярным бронхиолитом обнаруживается нарастание размеров бронхиол, появление нечеткости их контуров,полипов, что свидетельствует о прогрессировании заболевания. В ряде случаев бронхиолит может начаться с развития полипоза, при этом превалирует картина центрилобулярных очажков как проявления полипоза, симптом “ветки вербы” слабо выражен (рис. 5).
Констриктивная форма бронхиолита – итог всех форм заболевания. Развивается необратимый фиброз с концентрическим сужением бронхиолы. Фиброз распространяется вдоль бронхиолы, нарушает коллатеральную вентиляцию, вызывая обструкцию воздухопотока.
Запустевание бронхиолы приводит к гипоксии, вазоконстрикции, возникновению первоначально “воздушных ловушек” (клапанный механизм), а затем к ателектазу дольки. При КТ выявляется “пестрая” картина легочной ткани за счет чередования участков повышенной и пониженной плотности, бессистемно чередующихся друг с другом.
Это обусловлено нарушением кровотока в области облитерированной бронхиолы, олигемией в данной зоне и перераспределением кровотока в зонах с сохранной вентиляцией.

При КТ патологически измененные участки выглядят гиперденсивными. Мозаичность изменений плотности легкого лучше видна при сканировании одной и той же области на вдохе и выдохе – плотность патологически измененной части легкого не меняется в различные фазы дыхания. При диффузном характере изменений разница плотности легочной ткани остается одной и той же независимо от фазы дыхания (рис. 6).
Один из вариантов констриктивного бронхиолита – синдром Swyer–James, возникающий у детей после перенесенного вирусного бронхиолита. Поражение носит односторонний характер, развиваются бронхоэктазы с тонкой стенкой, участки центрилобулярной эмфиземы, снижается прозрачность легочной ткани.
В Японии впервые описана диффузная форма бронхиолита, названная диффузным панбронхиолитом. Заболевание распространено в странах Юго-Восточной Азии (Тайване, Корее, Китае, Японии). Появились сообщения о выявлении данной болезни в Англии,Франции, Германии, США, Норвегии. Прослеживается связь заболевания с параназальными синуситами и нарушением иммунитета.
При морфологическом исследовании выявляется цилиндрическая дилатация терминальных бронхиол. Интерстиций терминальных бронхиол, альвеолярных ходов, альвеол инфильтрирован пенистыми, лимфоидными клетками. За счет фиброза развивается центрилобулярная эмфизема [9]. При КТ определяются двусторонние диффузные мелкоочаговые и линейные уплотнения (как при целлюлярной форме бронхиолита), утолщение стенок мелких бронхиол, расширение их просвета, поля “матового стекла” по периферии легкого, чередующиеся с участками центрилобулярной эмфиземы.
Поражается практически все легкое (рис. 7).
Дифференциальная диагностика бронхиолитов проводится с аллергическими альвеолитами (гиперчувствительными пневмонитами),при которых также возможно образование мелкоочаговых изменений в легочной ткани.
Однако они локализуются в альвеолах, диффузно, гомогенно распределены в легком. Как правило, клиническая картина обусловлена вдыханием сенсибилизирующего антигена.
Как было указано выше, облитерирующий бронхиолит при распространении полипоза на альвеолы приводит к развитию ОБОП.

Инфильтративные и очаговые изменения по ходу бронхов с образованием симптома “воздушной бронхограммы”, реакция плевры в виде ее утолщения позволяют провести разграничение с бронхиолитами. “Пестрая” картина легочной ткани может возникать не только при констриктивном бронхиолите, но и при других видах нарушения легочной гемодинамики – хронической тромбоэмболии легочных артерий, легочной гипертензии.
Дифференциальная диагностика основывается на данных клинической картины, анамнезе.
Компьютерная томография высокого разрешения на сегодняшний день является ведущим методом диагностики поражения дистальных отделов респираторного тракта.
Задача врача-рентгенолога – выявление бронхиолита на доклинической стадии развития, на которую приходится, по нашим данным, до 36% случаев этого заболевания.
Список литературы
1.Авдеева О.Е., Авдеев С.Н., Чучалин А.Г. Современные представления об облитерирующем бронхиолите //Хронические обструктивные болезни легких / Под ред. Чучалина А.Г. М., 1998. С. 462–478.
2.Китаев В.В.Компьютерная томография высокого разрешения в диагностике заболеваний легких //Мед. визуализация. 1997. No 4. С. 21–26.
3.Котляров П.М.Лучевые методы в диагностике заболеваний органов дыхания // Рус. мед. журн. 2001.No 5. С. 197–200.
4.Котляров П.М., Георгиади С.Г.Рентгенодиагностика различных видов идиопатических интерстициальных пневмоний // Мед. визуализация. 2002. No 3.С. 46–51.
5.Линденбратен Л.Д. Хронический обструктивный бронхит: лучевая диагностика // Радиология – практика. 2000, октябрь. С. 5–9.
6.Юдин А.Л., Афанасьева Н.И., Абович Ю.А., Рожанова Е.А. Лучевая диагностика диффузных инфильтративных заболеваний легких (обзор) // Радиология –практика. 2000, октябрь. С. 10–17.
7.Garg K., Lynch D.A., Newell J.D., King T.E. Proliferative and constrictive bronchiolitis: classification and radiological features // Am. J. Roentgenol. 1994. V. 162.P. 803–808.
8.Hartman T., Primack S., Lee K. et al. CT of bronchial and bronchiolar diseases // Radiographics. 1994. V. 14. No 5.P. 991–1003.
9.Yamanaka A., Saiki S., Tamura S. et al. The problems of chronic obstructive pulmonary disease: especially diffuse panbronchiolitis // Naika. 1969. No 23. P. 442–451.
Теги: бронхи
234567 Начало активности (дата): 09.12.2017 17:23:00
234567 Кем создан (ID): 988
234567 Ключевые слова: бронхиолиты, панбронхиолит, бронхиолоэктазы, КТ, рентген диагностика
12354567899
Похожие статьи
Лучевая диагностика синдрома Хаммена–Рича и идиопатических интерстициальных пневмонийМетодики рентгенологического исследования пищевода
Госпитальная пневмония как осложнение неотложной медицинской помощи
Рентген на дому 8 495 22 555 6 8
Компьютерная томография органов грудной клетки в хирургии туберкулеза легких


