03.02.2020
Диагностические критерии поражения локтевого сустава у детей с ювенильным артритом
Ювенильный артрит – это одно из тяжелых воспалительных заболеваний опорно-двигательного аппарата у детей, которое приводит к развитию контрактур и ранней инвалидизации с полной утратой функции суставов.
Ювенильный артрит (ЮА; ЮИА) причислен к одному из наиболее часто встречаемых хронических заболеваний воспалительногогенеза с поражением опорно-двигательного аппарата и тяжелым инвалидизирующим течением[1, 2, 3].
На сегодняшний день все клинические формы хронических воспалительных артропатий детского возраста неустановленной этиологии объединены термином “ювенильный артрит”.
Вариант суставного поражения по типу “хронического олигоартрита”, при
котором имеет место одномоментное вовлечение не более четырех суставов, превалирует у детей с ювенильным артритом. Это хорошо изученная форма артропатии, течение которой при своевременном лечении редко приводит к формированию раннего артроза. Олигоартрит в структуре ЮА (олиго-ЮА) может быть персистирующим, распространившимся или иметь кратковременны (абортивный) вариант течения. Классическим примером персистирующего олигоартрита является клинически “яркий” вариант дебюта заболевания с асимметричным (реже симметричным или “диагональным”) характером вовлечения суставов нижних конечностей, за исключением тазобедренного сустава. Данный подтип встречается чаще у девочек с дебютом в возрасте до 6–8 лет (пик в 2–4 года). Нередко в структуре олигоартрита отмечается вовлечение локтевого или одного-двух мелких суставов кистей или стоп (в сумме не более 5). Реже персистирующий олигоартрит клинически может приобретать форму стойкого моноартикулярного варианта. Кроме того, по аналогии с классическим вариантом “олиго-ЮА”, можно выделить такую редкую форму как асимметричный олигоартрит суставов верхней конечности, за исключением плечевого, диагностика которой нередко представляется затруднительной [4, 5, 6].
Неуклонный рост заболеваемости среди детского населения, стойкие функциональные ограничения подвижности, явления артроза уже на ранней стадии болезни и высокая частота инвалидизации определяют, по нашему мнению, именно хронический ар трит локтевого сустава, который в действительности представляет собой одну из трудно диагностируемых форм артропатий детского возраста, на долю которой приходится наибольший процент применения специализированных методов инструментальной диагностики, что связано с многообразием нозологических форм и неспецифичностью клинической картины артропатии. Более того, отсутствие критериев диагностики и отдельно выделенного подтипа среди форм ювенильного олигоартрита накладывает свой отпечаток на сроки верификации ревматической патологии локтевого сустава (ILAR, 2001; the Edmonton revision, 2004) [7].
Материалы и методы
Проведенное ретроспективное исследование включало анализ динамики суставного синдрома у 15 детей в возрасте от 3 до 11 лет (средний возраст – 5,8 ± 2,5 года; девочки – 93,3 %, мальчики – 6,7 %) с активным хроническим моноартритом локтевого сустава, которые получали лечение на базе отделения No 7 (ортопедо-ревматологическое) ФГБУ НИДОИ имени Г.И. Турнера Минздрава России в период с 2011 по 2016 год.
При поступлении у всех детей с хроническим артритом локтевого сустава был выставлен диагноз синовита неустановленной причины. Клинико-инструментальных и лабораторных данных в пользу посттравматической и инфекционной патологии получено не было. Признаков увеальной активности за весь период наблюдения зафиксировано не было. Дети с установленной причиной синовита (опухолеподобные заболевания синовиальной оболочки, опухоли суставного конца кости) были исключены из исследования.
Трактовка результатов диагностики и эффективности терапии у детей проводилась в комплексной оценке с учетом клинико-инструментальной картины суставного синдрома и ее динамики, функциональных проб и исхода патологии. Оценивались динамика числа активных суставов и степень функциональных ограничений, уровень лабораторной воспалительной активности (СОЭ, СРБ, число лейкоцитов, тромбоцитов, гемоглобина), иммунологический статус (титр антинуклеарного фактора, АНФ; наличие гена HLAB27), инструментальные признаки (эрозии, характер изменения синовиальной оболочки, наличие выпота) и эффективность противоревматической терапии.
Для оценки степени активности заболевания и эффективности проводимого лечения были применены шкалы “Disease activity levels of oligo-JIA” и JADAS10, адаптированные для педиатрической ревматологической практики (Beukelman et al., 2011; Horneff J. et al., 2012). Статистическая обработка результатов исследования осуществлялась с применением стандартных программ: специализированного пакета «Excel» фирмы «Microsoft». Сравнительный анализ эмпирических данных наглядно представлен в форме таблиц. Абсолютные количественные данные представлены в виде медианы и интерквартильного размаха (Ме [25 %; 75 %]), относительные - в процентном соотношении.
Все пациенты (их представители) добровольно подписали информированное согласие на участие в исследовании.
Ступенчатая противоревматическая терапия, включающая последовательное применение нестероидных противовоспалительных средств (НПВС), локальных стероидов (триамциналон), цитостатических (метотрексат) и генно-инженерных (ГИБП) препаратов, на - значалась всем детям после установки диагноза «ювенильный артрит».
Результаты
Проведенный анализ имевших место случаев изолированной воспалительной артропатии локтевого сустава показал, что стаж заболевания к моменту установки диагноза “ювенильный артрит” в среднем составил 10 месяцев [6÷14]. У большинства детей (80 %) дебют заболевания был ассоциирован с острой травмой локтя. До момента установки диагноза “ювенильный артрит” все дети получали комплексное лечение по поводу последствий острой травмы, основным направлением которого была временная иммобилизация локтевого сустава. Низкая активность суставного синдрома имела место у 80 % (12/15) детей с ювенильным артритом положительный титр АНФ был выявлен у 60 % (9/15), а ген HLAB27 у двух детей – 13,3 % (табл. 1 и 2).
Таким образом, у большинства детей имел место вариант течения артропатии локтевого сустава по типу “сухого” синовита с прогрессирующим характером формирования контрактуры без утренней скованности и выраженного болевого синдрома.
Целенаправленное использование УЗ-сканирования, как метода первичной визуализации, у большинства детей не позволило выявить суставной воспалительной патологии. Низкая диагностическая ценность УЗ-сканирования и МРТ-исследования обусловлена проявлениями “сухого” синовита (рис. 1; табл 3.)
В настоящее время первичная рентгенологическая диагностика воспалительной артропатии локтевого сустава, как и в большинстве случаев классического варианта ювенильного олигоартрита, должна быть основана на модифицированной модели стереотипных изменений рентгенанатомии суставов при ревматоид ном артрите, которая была внедрена Штейнброкером [8, 9]. В нашем исследовании рентгенологическая нацеленность на поиск ревматической патологии была продиктована отсутствием изменений осевых характеристик и нарушений целостности анатомических структур, а также “намеков” на деструктивный процесс сустава, подверженного воспалению (табл. 4).
Проведенный последовательный рентгеноанализ с оценкой структуры, оптической плотности и плавности линий контуров костно-суставных структур позволил выявить те стереотипные рентгенологические признаки, которые характеризовали хроническую вос - палительную артропатию у детей. Околосуставной (метаэпифизарный) остеопороз, ускорение оссификации хрящевых моделей дистального эпифиза плечевой кости и проксимальных суставообразующих концов костей предплечья, а также уплотнение периартикулярных мягких тканей, пожалуй, были единственными начальными рентгеновскими признаками, которые указывали на течение хронического артрита локтевого сустава.
Рентгенанатомические особенности локтевого сустава, а также нередкие случаи суставного поражения по типу “сухого” синовита, несколько уменьшали наглядную выразительность признаков воспалительной реакции капсулы и окружающих мягких тканей (рис. 2).
На начальном этапе заболевания данная инструментальная картина была выявлена у всех детей без исключения и соответствовала первой стадии рентгенанатомических изменений при ЮА. При этом не следует ориентироваться на характер изменения синовиальной среды, так как в случае течения артрита по принципу “сухого” синовита, ЭХО-структурные воспалительные изменения по данным ультразвуковой диагностики могут вовсе не визуализироваться (табл. 3) [10, 11].
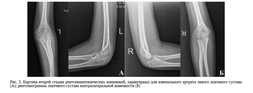
Отрицательная динамика рентгенологической картины на первой стадии, как правило, заключалась в визуализации признаков ускоренного роста (гипертрофии) головки мыщелка и блока плечевой кости, локтевого отростка локтевой кости и головки лучевой кости с начальными проекционными (неистинными) признаками сужения суставной щели и явлениями склерозирования субхондральных зон суставных поверхностей (рис. 3.)
Выявление признаков деформации в виде характерной неровности или зазубренности субхондрального контура суставной поверхности блоковидной вырезки локтевого отростка локтевой кости или головки луча в области лучелоктевого сочленения у детей свидетельствовали о начале или активном процессе формирования эрозивного компонента и прогрессировании заболевания (II стадия анатомических изменений). Рентгенологические признаки ускоренной оссификации хрящевых моделей и ее неравномерная асимметрия в эпифизах, образующих сустав, выглядели более наглядными у детей младшего возраста в дебюте и периоде разгара заболевания. Следует обратить внимание, что данного рода изменения при ЮИА должны наблюдаться во всех структурах, образующих сустав, подверженных артритическому процессу различной степени выраженности, без исключения.
Реакция ростковых зон на хронический воспалительный процесс в локтевом суставе была малозаметной и неспецифичной, а в некоторых случаях и вовсе не прослеживалась.
Прогрессирование суставного воспалительного процесса, по нашим данным, характеризовалось формированием эрозий и сужением суставной щели. Было установлено, что сроки узурирования суставных поверхностей локтевого сустава несколько отличались от подобных изменений, как, например, в коленном суставе. Оно становилось обозримым уже к концу первого года течения артропатии при отсутствии должного лечения. Ранняя визуализация костных эрозий в случае течения ювенильного артрита локтевого сустава, вероятно, указывает на позднюю выявляемость проблемы и наравне с признаком истинного сужения суставной щели может свидетельствовать о давности существующей патологии. Истинная узурация хрящевой ткани в локтевом суставе реже визуализировалась у детей с ЮА и, как правило, сопутствовала явлениям повсеместного снижения толщины хрящевого матрикса на стадии формирования артрозо-артрита (III стадия анатомических изменений, см. рис. 4) [12].
По истечении 6–12 месяцев наблюдения по данным МРТ отрицательная динамика суставного синдрома с появлением свежих субхондральных эрозий была за - фиксирована у 4 детей (табл. 5). Дальнейшее наблюдение показало, что все дети с ювенильным артритом, независимо от формы течения заболевания, имели эрозивные изменения локтевого сустава.
Механизм формирования костных эрозий у детей, по данным литературных источников, не носит истинный контактный характер, а обусловлен активацией остеокластов, приводящих к разрушению субхондральной замыкательной пластинки и участка губчатой кости эпифиза сустава. При этом истинный инвазивный или компрессионный механизм формирования эрозий локтевого сустава у детей встречается реже [13]. Проведенные нами исследования позволили выявить так называемые “hot spot of erosion” (горячие точки эрозий) локтевого сустава, которыми оказались центральная и дистальные зоны субхондральной области суставной поверхности блоковидной вырезки локтевого отростка локтевой кости, тогда как костно-хрящевые эрозии головки мыщелка или блока плечевой кости встречались несколько реже (см. табл. 6, рис. 5). Как показало дальнейшее наблюдение, это вовсе не уберегало данные зоны от появления поздних эрозий и формирования артрозо-артрита. Визуализация радиально расположенных зон локального остеосклероза по контуру костного дефекта на фоне регионарного остеопороза по данным компьютерной томографии указывала на “несвежесть” эрозивного суставного компонента. В некоторых случаях нами была выявлена картина деформации локтевой и венечной ямок с видимыми периостальными наслоениями в области краевых отделов в проекции при - крепления капсулы сустава. Нередкими были и явления неспецифического остита метадиафизарых зон локтевой, лучевой и плечевой костей (рис. 5, Б).
Оценка эффективности терапии и динамика наблюдения.
Монотерапия НПВС не имела значимого клинического эффекта практически у всех детей. Положительная динамика была достигнута на фоне традиционной противоревматической терапии длительностью не менее 6 месяцев (внутрисуставное введение препарата триамциналон 20–40 мг + метотрексат 15мг/м 2 /нед. парентерально) в сочетании с комплексной реабилитацией и коррекцией контрактур. Двум детям был инициирован генноинженерный биологический препарат из группы анти-TNF (блокатор ФНО-альфа).
Помимо ежедневной лечебной физкультуры, комплекс лечебно-восстановительных мероприятий включал курс локомоторной механотерапии на аппарате Artromot®, сеансы разнонаправленного физиотерапевтического воздействия и этапную гипсовую коррекцию контрактур. По истечении 2-х лет наблюдения 33,3 % (5/15) детей имели картину персистирующего олигоартрита (2–5 суставов); 40 % (6/15) – полиартрит; а у 26,7 % (4/15) наблюдался стойкий изолированный моноартрит.
Обсуждение.
На сегодняшний день методологический анализ на основании стандартного протокола оценки традиционных методов обследования суставов включает УЗИ, МРТ, КТ и рентгенографию. Широкий диапазон диагностической информативности, объем визуализации суставных структур и окружающих мягких тканей, минимальная лучевая нагрузка на детский организм определяют популярность метода УЗИ и МР-томографии [14, 15]. Однако нельзя не отметить, что обнаружение признаков хронического синовита является необходимым, но отнюдь не самым главным и единственным инструментальным признаком, который характеризует ювенильный артрит. По нашим данным, визуализация типичной реакции костной ткани метаэпифизов, образующих сустав, который подвержен хроническому воспалению ревматической природы, является не менее, а в некоторых случаях более чувствительным и диагностически значимым признаком. Этот факт диктует необходимость использования метода рентгенографии, как приоритетного, при наличии подозрений на воспалительную патологию сустава, первичная оценка которого, при сопоставлении с данными клинической картины, позволит выработать оптимальный, индивидуальный, последовательный алгоритм диагностики артропатии [16, 17].
Заключение
Таким образом, можно констатировать, что хронический моноартрит локтевого сустава является редким неклассическим вариантом дебюта ювенильного олигоартрита. Течение воспалительной артропатии может наблюдаться на фоне низкой лабораторной активности и при отсутствии симптома утренней скованности и неярко выраженного болевого компонента.
Суставное поражение по типу “сухого” синовита с формированием контрактуры у большинства детей характеризовало клиническую картину ювенильного артрита. Инструментальная диагностика ревматической патологии локтевого сустава в первую очередь должна быть основана на наличии стереотипных рентгенологических признаков ювенильного артрита.
Ультразвуковое исследование не может служить методом, опровергающим наличие ревматической патологии. Эрозивный процесс является отражением степени агрессивности артрита и появляется по истечении года прогрессирования артропатии. Область суставной поверхности локтевого отростка локтевой кости является наиболее частой зоной ранних эрозивных изменений.
Монотерапия НПВС не может служить тестом, исключающим ювенильный артрит. Терапия хронического артрита локтевого сустава должна соответствовать “treat-to- target” (лечение до достижения цели) стратегии.
Конфликт интересов . Авторы декларируют отсутствие явных и потенциальных конфликтов интересов, связанных с публикацией настоящей статьи.
Источник финансирования . Авторы заявляют об отсутствии финансирования при проведении исследования.
ЛИТЕРАТУРА
1. Алексеева Е.И., Бзарова Т.М. Алгоритм диагностики и лечения ювенильного артрита // Вопросы современной педиатрии. 2010. Т. 9, No 6. С. 78-104.
2. Ювенильные артриты - опыт диагностики и лечения / Г.А. Новик, Л.Н. Абакумова, Н.М. Летенкова, Н.В. Слизовский, Н.Н. Слизовская // Лечащий врач. 2008. No 4. С. 23-27.
3. Цурикова Н.А. Дифференциальная диагностика и лечение олигоартритов у детей : автореф. дис ... канд. мед. наук: 14.01.08. М., 2017. 28 с.
4. Ювенильный артрит: особенности клинико-инструментальной картины и дифференциальной диагностики / А.Н. Кожевников, Н.А. По - здеева, М.А. Конев, В.В. Селизов, А.В. Москаленко, К.А. Афоничев, Г.А. Новик // Лечащий врач. 2016. No 4. С. 58-62.
5. International League of Associations for Rheumatology classification of juvenile idiopathic arthritis: second revision, Edmonton, 2001 / R.E. Petty, T.R. Southwood, P. Manners, J. Baum, D.N. Glass, J. Goldenberg, X. He, J. Maldonado-Cocco, J. Orozco-Alcala, A.M. Prieur, M.E. Suarez- Almazor, P. Woo; International League of Associations for Rheumatology // J. Rheumatol. 2004. Vol. 31, No 2. P. 390-392.
6. Kim Y.D., Job A.V., Cho W. Differential diagnosis of juvenile idiopathic arthritis // J. Rheum. Dis. 2017. Vol. 24, No 3. P. 131-137. URL: https:// doi.org/10.4078/jrd.2017.24.3.131.
7. Elbow monoarthritis: an atypical onset of juvenile idiopathic arthritis / A. Marino, I. Pagnini, S. Savelli, D. Moretti, G. Simonini, R. Cimaz // Reumatismo. 2012. Vol. 64, No 3. P. 175-179. DOI:10.4081/reumatismo.2012.175.
8. Смирнов А.В., Каратеев Д.Е. Стадии рентгенологических изменений в суставах при ревматоидном артрите // Русский медицинский журнал. 2014. No 7. С. 551-553.
9. Radiologic features in juvenile idiopathic arthritis: a first step in the development of a standardized assessment method / M.A. van Rossum, A.H. Zwinderman, M. Boers, B.A. Dijkmans, R.M. van Soesbergen, T.J. Fiselier, M.J. Franssen, R. ten Cate, L.W. van Suijlekom-Smit, N.M. Wulffraat, W. Kuis, W.H. van Luijk, J.C. Oostveen, P.F. Dijkstra; Dutch Juvenile Idiopathic Arthritis Study Group // Arthritis Rheum. 2003. Vol. 48, No 2. P. 507-515. DOI: 10.1002/art.10783.
10. Juvenile idiopathic arthritis with dry synovitis: clinical case and review of literature / B.L. Dias, E.U. Imamura, A.P. Izumi, L.V. Pinheiro, E.V. Borigato // Acta Reumatol. Port. 2009. Vol. 34, No 3. P. 541-545.
11. Juvenile idiopathic arthritis with dry synovitis: clinical and imaging aspects in a cohort of 6 patients / L. De Somer, K. Lambot, C. Wouters, B. Bader- Meunier // Pediatr. Rheumatol. Online J. 2011. Vol. 9, No Suppl 1. P173.
12. Смирнов А.В. Дифференциальная рентгенологическая диагностика изменений в суставах кистей и дистальных отделов стоп при ревматических заболеваниях // Современная ревматология. 2010. Т. 4, No 4. С. 83-88.
13. Schett G., Gravallese E. Bone erosion in rheumatoid arthritis: mechanisms, diagnosis and treatment // Nat. Rev. Rheumatol. 2012. Vol. 8, No 11. P. 656-664. DOI:10.1038/nrrheum.2012.153.
14. Imaging of juvenile idiopathic arthritis: a multimodality approach / E.F. Sheybani, G. Khanna, A.J. White, J.L. Demertzis // Radiographics. 2013. Vol. 33, No 5. P. 1253-1273. DOI: 10.1148/rg.335125178.
15. Ording Muller L.S., Humphries P., Rosendahl K. The joints in juvenile idiopathic arthritis // Insights Imaging. 2015. Vol. 6, No 3. P. 275-284. DOI: 10.1007/s13244-015-0406-0.
16. Рентгенодиагностика хронического олигоартрита у детей / А.Н. Кожевников, Н.А. Поздеева, М.А. Конев, О.Н. Маричева, К.А. Афоничев, Г.А. Новик // Бюллетень сибирской медицины. 2017. Т. 16, No 3. С. 224–234.
17. Radiographic and clinical outcome in early juvenile rheumatoid arthritis and juvenile spondyloarthropathy: a 3-year prospective study / A.M. Selvaag, B. Flatø, K. Dale, G. Lien, O. Vinje, A. Smerdel-Ramoya, Ø. Førre // J. Rheumatol. 2006. Vol. 33, No 7. P.
А.Н. Кожевников,, Н.А. Поздеева, Я.Н. Прощенко, М.А. Конев, М.С. Никитин, Е.В.Прокопович, А.И. Брянская, К.А. Афоничев, Г.А. Новик Федеральное государственное бюджетное учреждение «Научно-исследовательский детский ортопедический институт
имени Г.И.Турнера» Министерства здравоохранения Российской Федерации, г. Санкт-Петербург, Россия и Федеральноегосударственное бюджетное образовательное учреждение высшего образования «Санкт-Петербургский государственный педиатрический медицинский университет» Министерства здравоохранения Российской Федерации, г. Санкт-Петербург,
Россия
Теги: ювенильный артрит
234567 Начало активности (дата): 03.02.2020 18:04:00
234567 Кем создан (ID): 989
234567 Ключевые слова: ювенильный артрит, локтевой сустав, моноартрит, диагностика
12354567899
Похожие статьи
Мультидетекторная компьютерная и магнитно-резонансная томография в визуализации морфоструктурных изменений височно-нижнечелюстного сустава при ювенильном ревматоидном артритеРентген на дому 8 495 22 555 6 8
Дифференциальный диагноз при суставном синдроме
Мнение ревматолога о рентгенодиагностике суставных болезней
Опыт ультразвуковой диагностики поражений коленных суставов


