
Атрезия бронха
Аномалия развития
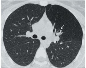
Bronchial atresiaПатология
Аномалия развития, характеризующаяся облитерацией (атрезией) просвета субсегментарного бронха в сочетании с повышенной воздушностью соответствующей части легкого.
Легочная ткань за измененными бронхами локально вздута за счет воздуха, поступающего через поры Кона из соседних участков легкого.
Теги: бронхи
234567 Начало активности (дата): 07.03.2024 06:20:00
234567 Кем создан (ID): 989
234567 Ключевые слова: бронхи, патология, легочная ткань
12354567899
Похожие статьи
Ателектаз округлыйАтелектаз
Рентген на дому 8 495 22 555 6 8
Отдельные случаи заболевания микоплазменной инфекцией регистрируются в России
Ранняя диагностика и лечение полиорганной недостаточности у больного с тяжелой сочетанной травмой