31.03.2024
Симптом ободка
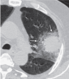
Определяется при КТ в виде перифокальной зоны уплотнения по типу матового стекла
Halo sign (син.: симптом ареола; не рекомендовано: симптом гало, симптом хало)
Семиотика. Рентген, КТ
Определяется при КТ в виде перифокальной зоны уплотнения по типу матового стекла (см. Симптом матового стекла) вокруг участка консолидации (см.). Впервые был описан как признак геморрагии вокруг зоны консолидации при инвазивном аспергиллезе. Симптом не является специфичным и может проявляться при любых геморрагиях, ассоциированных с другими очаговыми поражениями легочной ткани, при локальном воспалении легочной ткани или опухолевых процессах (например, аденокарцинома).
Теги: матовое стекло
234567 Начало активности (дата): 31.03.2024 12:20:00
234567 Кем создан (ID): 989
234567 Ключевые слова: консолидация, матовое стекло, лнгкие
12354567899
Похожие статьи
Симптом мозаичной плотностиСимптом матового стекла
Рентген на дому 8 495 22 555 6 8
Симптом воздушной бронхографии
Очаг субсолидный


