25.04.2025
Кровоснабжаемый костный аутотрансплантант из мыщелков бедренной кости в лечении ложных суставов длинных трубчатых костей
Кровоснабжаемые костные трансплантаты из мыщелков бедренной кости — сравнительно новый метод лечения ложных суставов, дефектов костей малых размеров и костно-хрящевых дефектов.
Проблема лечения ложных суставов насчитывает не один десяток лет. Замедленное сращение или формирование ложных суставов происходит в 5—10% случаев переломов длинных трубчатых костей [1]. Частота нарушения консолидации длинных трубчатых костей варьирует от 5% при переломах лучевой, 7% локтевой, 9% плечевой, 12,5% бедренной, до 45% при переломах большеберцовой кости [2—4]. Такая статистика обусловлена тем, что даже в случае правильного выбора тактики лечения (остеосинтез, иммобилизация) консолидация может быть нарушена как вследствии качества костной ткани, так и в силу общих (метаболических, эндокринных, фоновых заболеваний и т.д.) нарушений [5, 6]. Развитие микрохирургической техники послужило началом новой эпохи в данной области. Это дало возможность использовать кровоснабжаемые костные трансплантаты, имеющие, по мнению многих авторов, высочайший потенциал в лечении ложных суставов, или в других случаях необходимости замещения дефектов костной ткани [6, 7].
Сравнительно недавно в качестве источника кровоснабжаемого костного трансплантата впервые в мировой литературе были описаны мыщелки бедренной кости (БК)
Изначально лоскут из медиального мыщелка БК на нисходящей коленной артерии [9] был описан как несвободный (R. Hertel, A. Masquelet, 1989).
Двумя годами позднее K. Sakai и соавт. [10] в своей работе представили опыт использования свободного тонкого кортикопериостального лоскута из медиального мыщелка БК на суставной ветви нисходящей коленной артерии и медиальной верхней коленной артерии в лечении ложных суставов верхней конечности. Широкому распространению данного типа лоскута способствовала анатомия области мыщелка БК, позволявшая включение в состав лоскута кожного, мышечного, губчатого, а также хрящевого компонентов из ненагружаемой суставной части коленного сустава [10—12].
В 2014 г. J. Higgins и H. Burger [11] предложили использовать свободный кровоснабжаемый трансплантат из латерального мыщелка БК на латеральной верхней коленной артерии. Годом позже V. Wong [13] опубликовал первый клинический опыт использования данного типа лоскута, вслед за чем число анатомических исследований источников кровоснабжения области латерального мыщелка БК в мировой литературе заметно увеличилось [7, 13].
В последнее время количество работ на тему кровоснабжаемых лоскутов из медиального и латерального мыщелков БК растет ежегодно. Несмотря на это не все области применения таких лоскутов изучены в полной мере. В доступной литературе встречается описание опыта лечения ложных суставов, последствий травм, костных дефектов локтевой кости, лучевой кости, плеча, ключицы, пястных костей, мелких костей запястья, костей стопы, большеберцовой кости, БК [10, 11, 14—16].
В то же время в доступной отечественной литературе опыт использования мыщелков БК как свободного трансплантата представлен крайне скудно.
МАТЕРИАЛ И МЕТОДЫ
Данная работа основана на результатах лечения 24 пациентов, прооперированных в период с 2011 по 2018 г. в 3-м травматологическом отделении ФГУП «НМИЦ ТО им. Н.Н. Приорова» и Европейской клинике спортивной травматологии и ортопедии (ECSTO). В исследование вошли 13 мужчин и 11 женщин в возрасте от 25 до 60 лет (средний возраст 39 лет). Всем пациентам был установлен диагноз «ложный сустав» в результате комплексного предоперационного обследования, включавшего компьютерную томографию пораженной области.
Пациенты были разделены на группы в зависимости от локализации ложного сустава (см. таблицу).
Характерной особенностью пациентов, вошедших в исследование, стали многократные предшествующие хирургические вмешательства в зоне перелома, осложнившиеся формированием атрофического ложного сустава. Безуспешные попытки некровоснабжаемой костной пластики из гребня подвздошной кости, а в ряде случаев наличие инфекционных осложнений в зоне перелома также встречались в анамнезе пациентов исследуемой группы.
Техника забора трансплантата. Для забора трансплантата из медиального мыщелка БК применяли технику, описанную ранее [11, 12] и модифицированную авторами данной статьи.
Отличие от классической техники заключается в том, что для доступа к медиальному мыщелку частичное отсечение m. vastus medialis не производится, а выполняется ее бережная ретракция. В остальном (визуализация питающего сосуда, выбор ветви подходящего диаметра, разметка и забор трансплантата необходимой формы и объема, заполнение дефекта воском) техника не отличалась от описанной авторами методики. Среднее время операции составило 249 мин (минимум — 105 мин, максимум — 325 мин).
Техника поднятия костного трансплантата из латерального мыщелка БК не отличалась от описанной ранее в литературе [11, 13]. Продолжительность операции составила 340 мин.
РЕЗУЛЬТАТЫ
Аутотрансплантат из медиального мыщелка БК использовали при ложных суставах следующих областей.
Ложный сустав лучевой кости. В данной группе наблюдались 8 пациентов в возрасте от 25 до 60 лет. Для данной группы характерной особенностью было большое (до 6) число предшествующих операций (в среднем 2,75): остеосинтез пластиной, спицами, стержнем, аппаратами внешней фиксации и аппаратом Илизарова, свободная костная аутопластка из большеберцовой кости, подвздошной кости, локтевой кости, корригирующие остеотомии.
Средняя продолжительность лечения пациентов в данной группе составила 40,1 мес.
Клинический пример 1. Пациент Г. в результате огнестрельного ранения дробью получил открытый огнестрельный перелом нижней трети правой лучевой кости. В день травмы прооперирован: выполнены остеосинтез аппаратом наружной фиксации и первичная хирургическая обработка ран. В ходе наблюдения в течение 9 мес выявлены признаки формирования ложного сустава лучевой кости. С учетом малого размера дефекта и нарушенного кровообращения в данной области было принято решение резекции зоны ложного сустава с замещением дефекта васкуляризованным трансплантатом из медиального мыщелка бедренной кости. Результат, полученный через 14 мес, представлен на рис. 2.
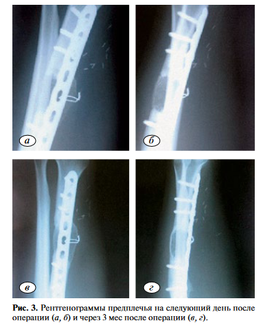
Клинический пример 2. Пациент А. в результате высокоэнергетической травмы получил открытый перелом правой лучевой кости со смещением отломков. Прооперирован в день получения травмы: выполнены остеосинтез лучевой кости аппаратом Илизарова и первичная хирургическая обработка раны. На контрольных рентгенограммах выявлены отсутствие признаков консолидации, формирование дефекта лучевой кости в связи с чем в октябре того же года прооперирован повторно: выполнены остеосинтез лучевой кости спицестержневым аппаратом, костная аутопластика из гребня подвздошной кости. При последующем наблюдении пациента в течение 2 лет обнаружены признаки формирования ложного сустава лучевой кости. Пациенту выполнена васкуляризированная костная аутопластика свободным трансплантатом из медиального мыщелка БК (рис. 3, а, б).
Результат, полученный через 3 мес после операции, представлен на рис. 3, в, г.
Ложный сустав плечевой кости. В данной группе наблюдались 5 пациентов, средний возраст 41 год. Средняя продолжительность заболевания от момента травмы до последней операции у пациентов в данной группе составила 41 мес от момента травмы.
Ложный сустав локтевой кости. В этой группе наблюдались 6 человек. Средняя продолжительность заболевания от момента травмы до последней операции у пациентов в данной группе составила 33,6 мес от момента травмы.
Среднее число предшествующих операций 2,1.
Ложный сустав ключицы. С данной патологией наблюдался один пациент, у которого общая длительность заболевания составила 18 мес. В течение этого периода он перенес 3 операции, в том числе костную аутопластику из гребня подвздошной кости.
Ложный сустав БК. Всего одно наблюдение. За 35 мес от момента травмы пациент перенес 2 операции, одна из которых с костной аутопластикой некровоснабжаемым трансплантатом.
Ложный сустав пястных костей. В данной группе было 2 пациента с длительностью заболевания 6 и 27 мес соответственно. Они перенесли 1 и 3 предшествующие операции соответственно.
Аутотрансплантат из латерального мыщелка БК использовали при ложном суставе с объемным дефектом 3—5 пястных костей кисти после огнестрельного перелома.
Выбор тактики лечения кровоснабжаемым трансплантатом из мыщелков БК был основан на малом размере дефекта, в случае которого выбор малоберцового трансплантата был необоснованным, сложной форме дефекта (как в случае замещения дефекта 3 пястных костей), а также на основании отсутствия эффекта от неоднократных неудачных попыток остеосинтеза и лечения некровоснабжаемыми трансплантатами (в соответствии с тактикой последовательного перехода к свободным лоскутам, применяемой в реконструктивной хирургии).
Различия анатомического строения медиального мыщелка БК и латерального мыщелка БК в соответствии с особенностями реципиентной зоны в каждом конкретном случае служили критерием выбора донорской зоны и питающего ее сосуда.
Сосудистой ножкой в случае забора трансплантата из медиального мыщелка БК служила нисходящая коленная артерия, а также ее верхняя поперечная и продольная ветвь. Средняя длина сосудистой ножки для медиального мыщелка БК составила 5,7 см (от 1,5 до 8 см). Трансплантат из латерального мыщелка БК забирали на верхней латеральной коленной артерии (длина 3 см).
Объем трансплантата в среднем составил 9,2 см3 (от 1,6 до 28,1 см3). В одном случае был взят трансплантат с мониторным лоскутом.
В ходе наблюдения за пациентами в послеоперационном периоде выполняли контрольные рентгенограммы, КТ, фиксировали объем движений в кистевом суставе, силу кистевого и щипкового схвата.
За время исследования авторами отмечены единичные осложнения в донорской зоне в виде дискомфорта.
ОБСУЖДЕНИЕ
Кровоснабжаемые трансплантаты из мыщелков бедренной кости используются в лечении небольших дефектов, дефектов средних размеров, а также при замещении суставных поверхностей небольших размеров [17].
Соответственно выделяют надкостнокортикальный, губчато-кортикальный и костно-хрящевой лоскуты.
Надкостно-кортикальный лоскут впервые описан в 1991 г. K. Sakai и соавт. [10] как источник камбиальных клеток в лечении ложных суставов конечностей. Практическое значение использования лоскута данного типа в лечении длительно не срастающихся переломов, дефектов мелких костей, а также ложных суставов признается специалистами по всему миру [10].
В исследованиях по оценке нагрузки суставных поверхностей коленного сустава [18, 19] были выделены так называемые ненагружаемые области хрящевой поверхности. Проксимально-медиальная часть пателло- феморального сустава была отмечена в данных опытах как практически свободная от нагрузки и рекомендована в качестве донорской для мозаичной пластики. Позднее выявлено участие ветви нисходящей коленной артерии в питании хрящевой поверхности [20, 21]. Впоследствии был выполнен ряд работ, исследовавших сопоставимость архитектуры костно-хрящевого трансплантата медиального мыщелка БК с суставными поверхностями костей верхней конечности по радиусу и кривизне. Все это дало возможность использования костно-хрящевого трансплантата в реконструкции хрящевых дефектов мелких костей запястья [11, 21].
В мировой литературе описано небольшое число осложнений, связанных с донорским дефектом, самым грозным из которых является перелом БК [22]. Наиболее часто описывают дискомфорт в донорской зоне [17]. Избежать подобных осложнений, по мнению J. Son и соавт. [22], поможет учет факторов риска развития осложнений, к которым относят сахарный диабет, курение и большой размер донорского дефекта. Кроме того, очевидна необходимость дополнительного исследования изменений костных напряжений в донорской зоне в послеоперационном периоде.
Постоянство сосудистой анатомии мыщелков БК и относительно простая техника забора, возможность использовать трансплантат небольших размеров и необходимой формы в совокупности с небольшим числом осложнений наделяют данный тип трансплантата неоспоримыми преимуществами по сравнению с более распространенным малоберцовым трансплантатом.
ВЫВОДЫ
Показаниями к использованию васкуляризованного костного трансплантата из мыщелков бедренной кости в лечении ложных суставов длинных трубчатых костей служат дефекты небольших размеров, неправильной формы, а также безуспешные неоднократные попытки остеосинтеза и лечения некровоснабжаемыми трансплантатами.
Разница в размерах латерального и медиального мыщелков бедренной кости, а также диаметров сосудов, питающих их, дают широкие возможности в выборе оптимального трансплантата.
Минимальное число осложнений в донорской зоне свидетельствует о низкой травматичности техники забора данного типа лоскута.
ЛИТЕРАТУРА
Einhorn TA. The cell and molecular biology of fracture healing. Clin Orthop Relat Res. 1998;355(Suppl.):S7-S21.
Von RUden C, Morgenstern M, Hierholzer C, Hackl S, Grading- er FL, Woltmann A, BUhren V, Friederichs J. The missing effect of human recombinant bone morphogenetic proteins BMP-2 and BMP-7 in surgical treatment of aseptic forearm nonunion. Injury. 2016;47(4):919-124.
Pihlajamaki HK, Salminen ST, Bostman OM. The treatment of nonunions following intramedullary nailing of femoral shaft fractures. J Orthop Trauma. 2002;1б(б):394-402.
Schmidmaier G, Moghaddam A. Long bone nonunion. Z Orthop Unfall. 2015;153:б59-б7б.
Hackl S, Hierholzer C, Friederichs J. Long-term outcome following additional rhBMP-7 application in revision surgery of aseptic humeral, femoral, and tibial shaft nonunion. BMC Musculoskelet Disord. 2017;18(1):342.
Bishop AT, Shin AY. Green’s Operative Hand Surgery. 7th Ed. 2015.
Morsy M, Sur YJ, Akdag O, Eisa A, El-Gammal TA, Lachman N, Moran SL. Anatomic and high-resolution computed tomographic angiography study of the lateral femoral condyle flap: Implications for surgical dissection. J Plast Reconstr Aesthet Surg. 2018 71(1):33-43
Yamamoto H, Jones DB Jr, Moran SL, Bishop AT, Shin AY. The arterial anatomy of the medial femoral condyle and its clinical implications. J Hand Surg Eur Vol. 2010;35(7):569-574
Hertel R, Masquelet AC. The reverse flow medial knee osteoperiosteal flap for skeletal reconstruction of the leg. Description and anatomical basis. Surg Radiol Anat. 1989;11(4):257-262.
SakaiK, DoiK, KawaiS. Free vascularized thin corticoperiosteal graft. Plastic Reconstr Surg. 1991;87:290-298.
Higgins JP, Burger HK. Osteochondral flaps from the distal femur: expanding applications, harvest sites, and indications. J Reconstr Microsurg. 2014;30(7):483-490.
Iorio ML, Masden DL, Higgins JP. Cutaneous angiosome territory of the medial femoral condyle osteocutaneous flap. J Hand Surg Am. 2012;37(5):1033-1041.
Wong VW, Burger HK, Iorio ML, Higgins JP. Lateral femoral condyle flap: an alternative source of vascularized bone from the distal femur. J Hand Surg Am. 2015;40(10):1972-1980.
Hamada Y, Hibino N, Kobayashi A. Expanding the utility of modified vascularized femoral periosteal bone-flaps: An analysis of its form and a comparison with a conventional-bone-graft. J Clin Orthop Trauma. 2014;5(1):6-17.
Deng AD, Innocenti M, Arora R, Gabl M, Tang JB. Vascularized small-bone transfers for fracture nonunion and bony defects. Clin Plast Surg. 2017;44(2):267-285.
Fei W, Danmou X, Dong R, Wei F, Eberlin KR, Yan C, Wush- eng K. Free vascularized medial femoral condyle corticocancel- lous flap for treatment of challenging upper extremity nonunions. J Reconstr Microsurg. 2015;31(2):124-131.
Mehio G, Morsy M, Cayci C, Sabbagh MD, Shin AY, Bishop AT, Moran SL, Carlsen BT. Donor-Site Morbidity and Functional Status following Medial Femoral Condyle Flap Harvest. Plast Reconstr Surg. 2018;142(5):734e-741e.
Garretson RB, KatolikLI, Verma N, Beck PR, Bach BR, Cole BJ. Contact pressure at osteochondral donor sites in the patel- lofemoraljoint. Am J Sports Med. 2004;32 (4):967-974.
Hugon S, Koninckx A, Barbier O. Vascularized osteochondral graft from the medial femoral trochlea: anatomical study and clinical perspectives. Surg Radiol Anat. 2010;32:817-825.
Iorio ML, Masden DL, Higgins JP. The limits of medial femoral condyle corticoperiosteal flaps. J Hand Surg Am. 2011;36(10):1592- 1596.
Hugon S, Koninckx A, Barbier O. Vascularized osteochondral graft from the medial femoral trochlea: anatomical study and clinical perspectives. Surg Radiol Anat. 2010;32:817-825. https:// doi.org/10.1007/s00276-010-0629-1.
Son JH, Giladi AM, Higgins JP Iatrogenic femur fracture following medial femoral condyle flap harvest eventually requiring total knee arthroplasty in one patient. J Hand Surg Eur Vol. 2018:1753193418813687.
Сведения об авторах:
Голубев И.О. — д.м.н., ФГБУ «НМИЦ ТО им. Н.Н. Приорова» Минздрава России, Москва, Россия, ФГАОУ ВО «Российский университет дружбы народов», Москва, Россия
Кукин И.А. — врач, ГБУЗ ГКБ№ 13 Рос- здрава, Москва, Россия
Меркулов М.М. — д.м.н., ФГБУ «НМИЦ ТО им. Н.Н. Приорова» Минздрава России, Москва, Россия
Бушуев О.М. — к.м.н., ФГБУ «НМИЦ ТО им. Н.Н. Приорова» Минздрава России, Москва, Россия
Ширяева Г.Н — к.м.н., ФГБУ «НМИЦ ТО им. Н.Н. Приорова» Минздрава России, Москва, Россия
Кутепов И.А. — к.м.н., ФГБУ «НМИЦ ТО им. Н.Н. Приорова» Минздрава России, Москва, Россия
Балюра Г.Г. — врач, ФГБУ «НМИЦ ТО им. Н.Н. Приорова» Минздрава России, Москва, Россия
Саруханян А.Р — аспирант, ФГАОУ ВО «Российский университет дружбы народов», Москва, Россия
Саутин М.Е. — к.м.н., Европейская клиника спортивной травматологии и ортопедии (ECSTO)
Теги: мыщелок бедренной кости
234567 Начало активности (дата): 25.04.2025
234567 Кем создан (ID): 989
234567 Ключевые слова: медиальный мыщелок бедренной кости, латеральный мыщелок бедренной кости, кровоснабжаемая костная пластика, ложные суставы длинных трубчатых костей
12354567899
Похожие статьи
Повреждение мениска коленного суставаРентген на дому 8 495 22 555 6 8
26.01.2025 17:19:19
Вывих надколенника
Среднесрочные результаты применения метода аутопластики медиального дефекта большеберцовой кости при первичном эндопротезировании коленного сустава


