24.01.2026
Рентгенодиагностика травматических повреждений нижней стенки глазницы
МСКТ является наиболее информативным и перспективным методом диагностики травм глаза и структур орбиты, особенно для расчета размерно-геометрических параметров костных дефектов, что позволит более точно спрогнозировать последствия травматического повреждения орбиты, более точно спланировать объём оперативного вмешательства и, при необходимости, оценить состояние орбиты после оперативного вмешательства
Введение
Заболевания орбиты и повреждения органа зрения, их диагностика и лечение являются одним из сложных разделов офтальмологии
Переломы стенок орбит являются достаточно частыми видами травматических повреждений костей средней зоны лицевого скелета. Изолированные переломы глазницы встречаются в 35-40% случаев, причем до 70% орбитальных переломов сочетаются с различными повреждениями глазного яблока и окружающих его тканей [1-3].
Наряду с ростом числа пострадавших отмечается увеличение количества тяжелых, множественных и сочетанных повреждений, числа осложнений и неблагоприятных исходов лечения травм. Контузии возникают от удара по глазу твердым предметом (камнем, шайбой, мячом, кулаком, палкой), ушиба о твердый предмет, при падении с высоты, от удара воздушной волной [4].
Для выявления дефекта костной стенки орбиты в повседневной практике используют рентгенографию костей лицевого скелета в стандартных укладках и мультиспиральную компьютерную томографию (МСКТ) с помощью которых обычно выявляют и отражают в протоколах описания только факт наличия травматического повреждения. Однако данные, полученные в результате указанных методов, имеют ряд существенных недостатков, которые не позволяют оценивать параметры дефекта в полном объёме. В связи с этим возникают сложности при определении формы и размеров необходимого трансплантата [5].
На современном этапе развития восстановительной хирургии недостаточно полно освещены возможности применения метода МСКТ и виртуального 3D-моделирования в реконструкции дефектов костей глазницы.
Цель исследования - оптимизация методики компьютерно-томографической визуализации травматических повреждений орбиты и оптимизация протокола описания для отражения диагностически значимых критериев, необходимых для прогнозирования выбора тактики лечения и ведения пациентов.
Внедрение таких современных методов лучевой визуализации, как мультиспиральная компьютерная томография при травматических повреждениях стенок орбиты позволяет точно оценить размерно-геометрические параметры костного дефекта, а при необходимости построить виртуальную компьютерную трехмерную модель той или иной анатомической области для получения дополнительной информации при множественных и сочетанных травматических повреждениях [6].
Материал и методы
Клинически обследовано 108 пациентов с сочетанными повреждениями костей лицевого скелета и структур глазницы.
Всем пациентам проводили съемку черепа в передней прямой и боковой проекциях на рентгеновском аппарате «Униэксперт 3+» фирмы Ада- ни. Режимы работы 75 кВ, 32 мА^ ПФР 115 и эффективная доза 0,05 мЗв.
Рентгеновское исследование использовали в рамках первичной диагностики для визуализации костно-травматических изменений лицевого скелета, оценки изменений конфигурации стенок орбит, околоносовых синусов, носовой полости, видимых линий переломов. Косвенно оценивали мягкие ткани лицевого скелета при отёке мягких тканей или наличия вакуолей воздуха [7, 8].
Ведущим методом исследования была мультиспиральная компьютерная томография. Этот современный метод лучевой визуализации с высокой разрешающей способностью за счёт большего количества детекторов, непрерывного вращения рентгеновской трубки, меньшего времени КТ- реконструкции и с лучевой нагрузкой 2,5-3,0 мЗв позволяет достигнуть большей контрастности изображения анатомических структур [9].
При сканировании использовались следующие технические параметры: kV-120, мАс-175- 200; шаг томографирования 2-3 мм при толщине среза 2-3 мм. Сканирование проводилось в аксиальной плоскости с реконструкцией изображения во фронтальной и сагиттальной плоскостях толщиной среза 2,5 миллиметра с постпроцессинговой обработкой и формированием реконструкци- ий изображений в мягкотканном и костном окне толщиной среза 0,625 мм.
Большинство травмированных пациентов (n=69) располагалось в возрастных группах от 21 до 30 лет и от 31 до 40 лет, что подчеркивает социальную значимость проблемы. По причине возникновения травмы 56 пациентов (51,9%) получили травмы в результате дорожно-транспортных происшествий, на втором месте была бытовая травма - 21 пациент (19,4%). Переломы нижней стенки орбиты встретили у большинства пациентов (п=63; 80,7%), что связано с её анатомическими особенностями.
Результаты и обсуждение
Самой тонкой стенкой является медиальная, образованная так называемой «бумажной пластинкой» (lamina papyracea) решетчатой кости толщиной 0,2-0,4 мм. Однако, несмотря на это, самой хрупкой является нижняя стенка орбиты, образованная в большей степени глазничной поверхностью верхней челюсти (толщина костной стенки ~0,1-0,3 мм).
Заднемедиальная часть верхнечелюстной кости относительно слабая и может подвергаться «взрывному» перелому (рис. 1).
Прямой удар по глазу тупым предметом, превышающим 5 см в диаметре, приводит к резкому повышению давления в орбите, что вызывает переломы в самых тонких местах (нижняя и/или медиальная стенки орбиты) [3].
В национальном руководстве Российской федерации по офтальмологии [1] приведена рентгенологическая классификация «взрывных» переломов нижней стенки орбиты:
Классический - низкоэнергетический перелом внутренней (наиболее слабой) половины нижней стенки медиальнее подглазничного канала.
С вовлечением подглазничного канала.
Инферомедиальный, то есть перелом нижней и медиальной стенок.
Полный (тотальный) перелом нижней стенки глазницы. Распространение фрактуры ла- теральнее подглазничного канала, как правило, обусловлено воздействием ранящего агента с достаточно большой кинетической энергией, что и приводит к растрескиванию всей нижней стенки.
Атипичные формы взрывных переломов: прямоугольная; треугольная; звездчатая.
Линейные переломы нижней стенки без смещения отломков: Y-образный; латеральный линейный.
При обследовании на дооперационном этапе всем пациентам (n=108; 100%) проводили анализ данных методов лучевой диагностики - обзорной рентгенографии, мультиспиральной компьютерной томографии согласно разработанному и расширенному протоколу описания повреждений костных и мягкотканных структур средней зоны лица.
Рентгенологическое исследование данной области позволило оценить нарушение целостности костей по следующим признакам: видимая линия перелома, нарушение гладкости контура кости и расхождение отломков костей в скулолобной (п=53; 49,1%), подглазничной (п=54; 50%), скулоальвеолярной областях (п=50; 46,3%). Увеличение объёма травмированной орбиты отметили в 32 случаях (29,6%). Также встречались косвенные признаки травматических повреждений средней зоны лица: затемнение верхнечелюстного синуса на стороне травматического воздействия (п=58; 53,7%) и в области мягких тканей средней зоны лица (п=56; 51,9%). Признаки инородных тел средней зоны лица и орбиты отметили у 10 пациентов (9,3%).
Детальную информацию о состоянии мягких тканей орбиты при использовании рентгенологического метода получить не удалось (рис. 2).
Мультиспиральная компьютерная томография позволила выявить повреждение костных структур средней зоны лица у всех 108 пациентов (100%).
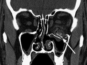
На данном этапе нашего исследования при проведении МСКТ были проанализированы томографические данные у пациентов с переломом нижней стенки орбиты со смещением костных отломков в сторону верхнечелюстной пазухи с формированием осложнений.
У таких пациентов границы перелома, степень смещения костных отломков (размерногеометрические параметры) определялись при оценке 2D-изображений с использованием мультипланарной реконструкции (коронарная и сагиттальная плоскость). Нами предложен следующий алгоритм определения размера дефекта костной стенки орбиты на примере перелома нижней стенки левой орбиты. Для получения представления об истинной форме и размере дефекта нижней стенки орбиты необходима его оценка в 2D-изображении, включающая в себя следующие этапы (рис. 3)
Выравнивание изображения в MPR- плоскостях (сагиттальная, коронарная и аксиальная).
Выбор максимально информативных плоскостей для точной оценки формы, площади и размера дефекта стенки орбиты (для нижней стенки орбиты это коронарная и сагиттальная плоскости);
Одновременная визуальная оценка дефекта костной стенки орбиты в коронарной и сагиттальной плоскостях;
Выбор максимального продольного размера дефекта нижней стенки орбиты (зона перелома) в сагиттальной плоскости (размер №1), измерение на том же уровне расстояния от переднего края стенки орбиты до переднего края перелома (размер №2);
Деление продольного размера костного дефекта в сагиттальной реконструкции на передний средний и задний отделы с помощью программного обеспечения (навигационная точка, которая проецируется одновременно в сагиттальной и коронарной реконструкции);
В коронарной реконструкции производится изменение поперечного размера в переднем отделе (размер №3), в среднем отделе (размер №4), в заднем отделе (размер №5), выбор максимального поперечного размера дефекта (размер №6). Границы отделов перелома контролируются в сагиттальной плоскости.
Построение 3D-изображения с использованием программного обеспечения томографа не несет дополнительной информации при расчетах размера дефекта и не показывает геометрическую форму дефекта, а при переломах нижней и медиальной стенок орбиты (толщина 0,1-0,3 мм) искажает реальные размеры и форму дефекта виртуально достраивая стенку там, где ее нет, либо не улавливает тонкую часть стенки, которая визуализируется на 2D-изображениях [6].
У 108 пациентов (100%) локализация переломов в области нижней стенки орбиты распределилась следующим образом (табл. 1).
Как правило, область перелома, высчитанная компьютерной программой, имела неправильную геометрическую форму с неровными контурами и различную протяженность.
Область дефекта у некоторых пациентов распространялась вплоть до вершины орбиты.
Для расчета площади дефекта костных стенок орбиты использовалось программное обеспечение компьютерного томографа, которое в автоматическом режимея по выделенным вручную точкам на плоскости рассчитывало значение площади в см2.

На основании рассчитанных площадей костные дефекты стенки орбиты были разделены на малый, средний, большой и тотальный. Данные представлены в таблице 2 и на рисунке 4.

На рисунке 5 представлены результаты мультиспиральной компьютерной томографии переломов нижней стенки центрального отдела, медиального отдела, подглазничного канала правой орбиты и тотальный перелом нижней стенки левой орбиты в коронарной плоскости. Цель лечения, в частности, перелома нижней глазничной стенки - восстановление первоначальной формы и объема глазницы, репозиция ее содержимого и восстановление подвижности глазного яблока.
Залог успеха - это своевременная и точная диагностика перелома орбиты, оценка локализации перелома, площади дефекта, сопутствующие повреждения содержимого орбиты, степень дистопии глазного яблока и др. На все вышеперечисленные вопросы способна ответить мультиспиральная компьютерная томография.
Заключение
Анализ отечественной и зарубежной литературы показывает, что травмы лица составляют около 40% от всех видов травм, травмы органа зрения - около 20% патология глаз.
Изолированные переломы глазницы встречаются в 35-40% случаев, причём до 70% орбитальных переломов сочетаются с различными повреждениями глазного яблока и окружающих его тканей.
Для диагностики травматических повреждений костной глазницы применяют лучевые методы диагностики с применением ионизирующего излучения, а именно обзорная рентгенография черепа и мультиспиральная компьютерная томография (МСКТ).
Выбранные методики лучевого исследования повреждённой глазницы позволяют получить полную информацию о размерно-геометрических параметрах костного дефекта в глазнице, как на этапе предоперационной подготовки, так и после хирургического вмешательства. Современные технологии компьютерной томографии с возможностью последующей обработки полученных данных для формирования изображений в многоплоскостной реконструкции (MPR) и SD-реконструкции позволяют своевременно выявлять даже мельчайшие и единичные черепнолицевые переломы.
При визуализации тонких и нежных костных структур (таких как перпендикулярная пластина решетчатой кости), дна глазницы, а в некоторых случаях также передней стенки верхнечелюстной пазухи, SD-реконструкции менее полезны, чем 2D-реконструкции. Использование SD-реконструкций в этих областях часто дает ложные изображения, указывающие на несуществующие отверстия, которые трудно или невозможно отличить от линий переломов. SD-реконструкции не могут использоваться в качестве единственного метода визуализации при диагностике переломов, особенно нижней стенки глазницы.
Точность и разработанная последовательность, техника проведения измерений костных дефектов и оценка состояния мягкотканных структур глазницы с помощью МСКТ позволит более точно спрогнозировать последствия травматического повреждения орбиты, более точно спланировать объём оперативного вмешательства и, при необходимости, оценить состояние орбиты после оперативного вмешательства.
Литература
Офтальмология : нац. рук. / под ред.: С. Э. Аветисова, Е. А. Егорова, Л. К. Мошетовой [и др.]. Москва : ГЭОТАР- Медиа, 2011. 944 с.
Бакушев, А. П. Хирургическое лечение пациентов с изолированными переломами стенок глазницы / А. П. Баку- шев, К. А. Сиволапов // Офтальмология. 2015. Т 12, № 3. С. 48-53. DOI: 10.18008/1816-5095-2015-3-48-53
Николаенко, В. П. Орбитальные переломы : рук. для врачей / В. П. Николаенко, Ю. С. Астахов. Санкт-Петербург : Эко-Вектор, 2012. 436 с.
Эпидемиология переломов стенок орбит. Ретроспективное исследование / Т Х. Абдулкеримов, Ю. В. Мандра, В. И. Герасименко [и др.] // Проблемы стоматологии. 2019. Т 15, № 2. С. 46-49.
Давыдов, Д. В. Реконструктивная хирургия посттравматических дефектов и деформаций глазницы с использованием интраоперационной безрамной навигации / Д. В. Давыдов, О. В. Левченко, В. М. Михайлюков // Вестник офтальмологии. 2014. Т 130, № 2. С. 20-26.
Амосов, В. И. Использование мультиспиральной компьютерной томографии (МСКТ) в офтальмологии / В. И. Амосов, А. А. Сперанская, О. В. Лукина // Офтальмологические ведомости. 2008. Т 1, № 3. С. 54-56.
Михайлов, А. Н. Лучевая визуализация орбиты в норме и при травматических повреждениях / А. Н. Михайлов, О. Н. Дудич, Ю. Н. Патупчик // Неразрушающий контроль и диагностика. 2019. № 4. С. 40-56.
Михайлов, А. Н. Лучевая визуализация орбиты в норме, при травматических повреждениях и её значимость при планировании оперативного вмешательства / А. Н. Михайлов, Ю. Н. Патупчик, О. Н. Дудич // Здравоохранение.
№ 5. С. 7-27.
Михайлов, А. Н. Возможности использования мультиспиральной компьютерной томографии в визуализации посттравматических дефектов нижней стенки глазницы / А. Н. Михайлов, О. Н. Дудич, Ю. Н. Патупчик // Лучевая визуализация заболеваний скелета и внутренних органов : сб. науч. работ, посвящ. 125-летнему юбилею открытия рентген. излучения / под ред. акад. НАН Беларуси А. Н. Михайлова. Минск : БелМАПО, 2020. С. 121-123.
Михайлов, А. Н. Лучевая визуализация и классификация взрывных (blow-out) переломов нижней стенки орбиты / А. Н. Михайлов, Ю. Н. Патупчик, О. Н. Дудич // Лучевая визуализация заболеваний скелета и внутренних органов : сб. науч. работ, посвящ. 85-летнему юбилею акад. НАН Беларуси А. Н. Михайлова и 70-летию каф. лучевой диагностики БелМАПО, Минск, 26 июня 2021 г. / М-во здравоохранения Респ. Беларусь ; под ред. А. Н. Михайлова. Минск : БелМАПО, 2021. С. 60-67.
Горбачев, Д. С. Повреждения глазницы / Д. С. Горбачев, А. Н. Куликов, В. Ф. Даниличев // Современная офтальмология : руководство / под ред. В. Ф. Даниличева, А. Н. Куликова. 3-е изд., перераб. и доп. Санкт-Петербург,
Гл. 13. С. 429-487.
Сведения об авторах:
А.Н. Михайлов - д.м.н., профессор, академик медицины Национальной академии наук Беларуси, зав. кафедрой лучевой диагностики, Институт повышения квалификации и переподготовки кадров здравоохранения учреждения образования «Белорусский государственный медицинский университет»;
Ю.Н. Патупчик - старший преподаватель кафедры лучевой диагностики, Институт повышения квалификации и переподготовки кадров здравоохранения учреждения образования «Белорусский государственный медицинский университет»; врач высшей квалификационной категории, зав. рентгеновским отделением, 10-я городская клиническая больница г. Минска
Теги: переломы нижней стенки орбиты
234567 Начало активности (дата): 24.01.2026
234567 Кем создан (ID): 989
234567 Ключевые слова: переломы нижней стенки орбиты, рентгенография, мультиспиральная компьютерная томография, размер костного дефекта, площадь поверхности перелома, «взрывной» перелом
12354567899
Похожие статьи
Приказ Министерства здравоохранения Российской Федерации от 25 октября 2012 г. № 442н”Об утверждении Порядка оказания медицинской помощи детям при заболеваниях глаза, его придаточного аппарата и орбиты”Рентген на дому 8 495 22 555 6 8
Травма глаза каблуком-шпилькой
Что делать при ушибе глаза? Симптомы и лечение ушиба


