10.02.2026
Персонализированный подход к лечению пациентов с плосковальгусной деформацией стопы: способ определения уровня остеотомии переднего отростка пяточной кости
Остеотомия Evans остается одним из наиболее распространенных методов хирургической коррекции мобильной плосковальгусной деформации стопы путем удлинения латеральной колонны
ВВЕДЕНИЕ
Приобретенное плоскостопие характеризуется частичным или полным снижением высоты свода стопы. Основными причинами развития данной патологии считаются дисфункция сухожилия задней большеберцовой мышцы, возникающая в результате тендинита, микротравм, нейроартропатии, воспалительного артрита, и разрывы подошвенной пяточно-ладьевидной и дельтовидной связок [1].
Распространенность плоскостопия, по данным разных авторов [2, 3], варьирует от 26,6 % до 60,0 %.
Наиболее эффективным методом коррекции является хирургическое лечение. Распространенный суставосберегающий хирургический метод — удлиняющая остеотомия переднего отростка пяточной кости [4–6]. Наиболее часто используют операции Evans и Hintermann, оба метода имеют хорошие клинические и рентгенологические результаты. Оперируемый подтаранный сустав, по данным литературы, имеет вариабельное строение у представителей разных национальностей. Известно, что в большинстве стран, включая Россию, наиболее распространенным типом строения суставных фасеток подтаранного сустава является объединённые передняя и средняя фасетки (56–64 %) [7–10].
При операции Evans линия остеотомии проходит параллельно пяточно-кубовидному суставу на расстоянии 1,5 см от него, между передней и средней суставными фасетками.
Соответственно при этой операции объединенная фасетка будет повреждена в 100 % случаев, что может после хирургического лечения привести к сохранению болевого синдрома, развитию артроза подтаранного сустава и не удовлетворенности пациентов результатами лечения [11]. По данным M.E. Jara, при остеотомии Evans в 8–12 % случаев возникают осложнения в виде боли в области оперативного вмешательства, несращения, нестабильности костных фрагментов, гиперкоррекции, повреждения сухожилий малоберцовых мышц и сурального нерва [12].
Цель работы — сравнение результатов хирургического лечения пациентов с плосковальгусной деформацией стопы оригинальным методом, основанным на 3D-моделировании пяточной кости и предопе рационном планировании уровня остеотомии, и классическим методом остеотомии Evans.
Одной из важных анатомических структур, участвующих в формировании подтаранного сустава, является опора таранной кости. Соответственно, ее повреждение может привести к последующему перелому, повреждению сухожилия длинного сгибателя пальцев и синдрому тарзального канала. Как показали в своем исследовании B.W. Bussewitz et al. [13], при уровне начала остеотомии на расстоянии 1,3 см от пяточно-кубовидного сустава опора таранной кости повреждается в четырех из 10 случаев. Авторы рекомендуют интраоперационно визуализировать суставные фасетки либо на предоперационном этапе определять их расположение и форму с дальнейшим планированием уровня и направления остеотомии так, чтобы опора таранной кости и объединенная суставная фасетка не подвергались риску повреждения. Однако существует проблема интраоперационной визуализации суставных фасеток подтаранного сустава с целью определения уровня и направления линии остеотомии, которая позволила бы избежать их повреждения. Требуется разработка и введение в практику метода интраоперационного определения и контроля уровня и направления остеотомии пяточной кости.
МАТЕРИАЛЫ И МЕТОДЫ
Проведен анализ результатов хирургического лечения 40 пациентов, оперированных по поводу плосковальгусной деформации стоп на базе Новосибирского НИИТО им. Я.Л. Цивьяна в период с февраля 2023 г. по январь 2024 г. В исследование включены 24 (60 %) женщины и 16 (40 %) мужчин; средний возраст — (41,5 ± 10,3) года. Пациенты разделены на две группы методом случайной выборки.Критерием включения в исследование и показанием к оперативному лечению являлась неэффективность консервативной терапии, проводившейся пациентам в течение не менее шести месяцев до госпитализации.
Консервативное лечение включало коррекцию ортопедическими стельками, комплекс лечебной физкультуры, направленный на укрепление мышц голени и свода стопы, а также курсы не стероидных противовоспалительных препаратов (НПВП) для купирования болевого синдрома. В рамках настоящего исследования детальный анализ протоколов консервативной терапии (включая вопрос применения локальной инъекционной терапии) не проводился, так как это лечение осуществлялось различными медицинскими учреждениями до момента включения пациентов в исследование.
Группа сравнения включала 20 пациентов (11 (55 %) женщин и 9 (45 %) мужчин; средний возраст — (40,0 ± 11,5) лет), которым коррекцию деформации стоп проводили классическим методом остеотомии Evans. Группа исследования включала 20 пациентов (13 (65 %) женщин и 7 (35 %) мужчин; средний возраст — (45,0 ± 14,0) лет), которым лечение осуществляли предлагаемым методом.
(англ.: American Orthopaedic Foot and Ankle Society, Американское общество хирургов стопы и голеностопного сустава). Данный алгоритм осмотра повторяли через год после операции на контрольном осмотре.
Рентгенологический метод
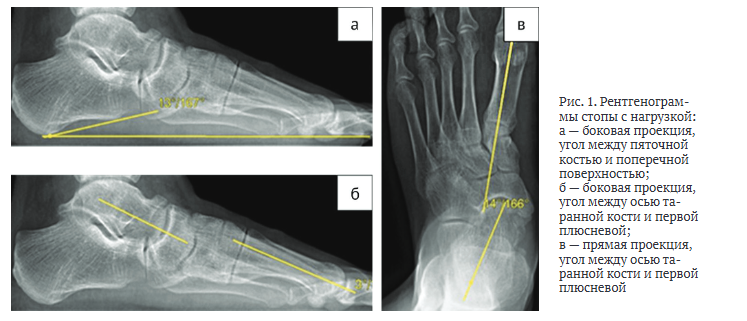
Каждому пациенту, участвующему в исследовании, при госпитализации и через год после операции проводили рентгенологическое исследование стопы с нагрузкой в двух проекциях (прямой и боковой).
На рентгенологических снимках в боковой проекции оценивали пяточно-подошвенный угол между пяточным бугром (рис. 1, а) и поперечной плоскостью, таранно-первоплюсневый угол между осью таранной кости и осью первой плюсневой кости (рис. 1, б). На прямой проекции измеряли угол между осью таранной и первой плюсневой костями (рис. 1, в). На основании измерений, проведенных до операции, оценивали степень снижения продольного свода, отведения переднего отдела стопы и вальгусную деформацию стопы, а также корригирующую способность предлагаемого метода. На следующий день после операции рентгенографическое исследование проводили без нагрузки на стопу, оценивали уровень остеотомии, положение трансплантата и металлофиксатора. Через год после хирургического лечения на контрольных рентгенограммах с нагрузкой на стопу измеряли степень коррекции деформации и ее сохранение в течение года, анализировали консолидацию области остеотомии, положение трансплантата и металлофиксатора, деформирующий остеоартроз окружающих суставов.

Всем пациентам выполняли мультиспиральную компьютерную томографию (МСКТ) стопы. Полученные изображения последовательно обрабатывали, в результате получали 3D-модель пяточной кости с визуализированными на ней суставными фасетками. Оценивали их форму и расположение.
Систематизацию расположения суставных фасеток подтаранного сустава проводили по классификации P. Bunning и C. Barnett [14]:
— тип A: пяточная кость имеет три отдельно расположенные суставные фасетки;
— тип B: пяточная кость имеет объединенную переднюю и среднюю фасетки и отдельно расположенную заднюю;
— тип C: пяточная кость имеет одну суставную фасетку, объединяющую переднюю, среднюю и заднюю.
В первые сутки после операции в обеих группах проводили повторное МСКТ стопы. В группе исследования оценивали целостность суставных фасеток подтаранного сустава, соответствуют ли уровень и направление линии остеотомии рассчитанным до операции. В группе сравнения оценивали степень поврежденности суставных фасеток.
Хирургический метод
По методу хирургического лечения все пациенты (n = 40) разделены на две равные группы: группа сравнения (n = 20), пациентам которой коррекцию плосковальгусной деформации стоп проводили классическим методом остеотомии Evans, и группа исследования (n = 20), лечение пациентов которой осуществляли предлагаемым методом.
Хирургическое лечение в группе сравнения
Операцию проводили классическим методом Evans. Доступ осуществляли на 1 см дистальнее латеральной лодыжки, непосредственно над передним отростком пяточной кости, подлежащие ткани мобилизовали тупым способом, скелетировали передний отросток пяточной кости, устанавливали два ретрактора. Выделяли пяточно-кубовидный сустав, на расстоянии 1,5 см от него и параллельно ему проводили линию остеотомии. Затем устанавливали дистрактор, при помощи которого смещали фрагменты пяточной кости, образовавшееся пространство заполняли алло- или аутотрансплантатом, в результате чего достигли коррекции деформации с последующей фиксацией пластиной. Рану послойно ушивали.
Хирургическое лечение в группе исследования
Для осуществления лечения пациентов предлагаемым методом на предоперационном этапе проводили МСКТ стопы пациента, создавали 3D-модели пяточной кости, на поверхности которой визуализируются суставные фасетки, определяли их расположения и формы по классификации P. Bunning и C. Burnett, после чего выполняли ряд измерений. Проводили предполагаемую линию остеотомии между суставными фасетками (между передней и средней, если остеотомия выполняется по Evans; между средней и задней, если остеотомия проводится по Hintermann). От пяточно-кубовидного сустава опускали перпендикуляр к линии остеотомии и определяли угол ее наклона относительно латеральной стенки пяточной кости (рис. 2).

Во время операции на основании проведенных измерений изготавливали спицу-направитель. Расстояние AB спицы-направителя — до 1 см, расстояние BC соответствует перпендикуляру, опущенному от пяточно-кубовидного сустава до линии остеотомии, расстояние CD — до 5 см, что соответствует хирургическому доступу, угол BCD соответствует величине угла наклона линии остеотомии относительно
наружной стенки пяточной кости (рис. 3, а).

В положении пациента лежа на спине выполняли хирургический доступ непосредственно над передним отростком пяточной кости. Тупым методом послойно скелетировали передний отросток пяточной кости, устанавливали два ретрактора, визуализировали пяточно-кубовидный сустав. Затем в его полость помещали спицу-направитель отрезком AB так, что отрезок BC соответствовал перпендикуляру, проведенному к линии остеотомии, а угол BCD — углу наклона линии остеотомии (рис. 3, б). С вершины C угла BCD по направлению отрезка CD пилой выполняли остеотомию (рис. 3, в). Устанавливали дистрактор, фрагменты пяточной кости смещали, образовавшееся пространство заполняли алло- или аутотрансплантатом, в результате чего достигали коррекции деформации с последующей фиксацией
металлоконструкцией. Рану послойно ушивали.
Статистический метод
Размер выборки был рассчитан на основании критерия повреждения суставных фасеток подтаранного сустава, где в группе сравнения повреждение происходит в 60 % случаев, а в группе исследования — в 5 %.
Необходимый размер выборки составил 32 человека, по 16 в каждой группе. Данное значение было округлено до 20 пациентов в каждой группе. Сила исследования составляет 90 %.
Данные результатов хирургического лечения в обеих группах сводили в две таблицы, в которых отражали возраст пациента, тип суставных фасеток, наличие или отсутствие их повреждения после хирургического лечения. В группе исследования в отдельной таблице отражали данные предоперационного планирования (угол направления остеотомии относительно латеральной стенки поточной кости и расстояние от пяточно-кубовидного сустава), а также послеоперационные данные (угол, под которым была проведена остеотомия, и расстояние от пяточно-кубовидного сустава). Полученные данные сравнивали, вычисляли погрешность между запланированным направлением и уровнем, на котором была проведена остеотомия. В каждой группе пациентов оценивали рентгенологические показатели степени деформации до операции и через год после операции, полученные данные сводили в отдельную таблицу. Сравнивали результаты опроса по AOFAS до операции и через год после операции.
Статистическую обработку и визуализацию данных проводили в программах Microsoft Office Excel (2016) и OriginPro (2021). Для сравнения значений двух выборок с ненормальным распределением данных использовали критерий Манна – Уитни, с нормальным распределением — тест Стьюдента.
Различия выраженности распределения признаков оценивали с помощью критерия хи-квадрат. Статистически достоверными принимали результаты с p-значением ≤ 0,05.
РЕЗУЛЬТАТЫ
Всем пациентам было проведено стандартное предоперационное обследование (клинический осмотр, рентгенография, МСКТ) в условиях стационара в день госпитализации. Общая продолжительность госпитализации составила (4,1 ± 0,6) дня, включая (1,2 ± 0,4) предоперационных дня и (2,9 ± 0,8) дня послеоперационного наблюдения. После стабилизации состояния и проведения контрольных рентгенограмм и МСКТ пациенты были выписаны для дальнейшего амбулаторного наблюдения по месту жительства или направлены в реабилитационный центр. Статистически значимых различий по длительности госпитализации между группами не выявлено (p > 0,05).По классификации P. Bunning и C. Barnett семь (35 %) пациентов были отнесены к типу А, их средний возраст составил (39,9 ± 10,6) года, 13 (65 %) пациентов — к типу В, средний возраст — (44,7 ± 13,6) года.
Суставные фасетки типа С в полученной выборке не обнаружены.
По результатам оценки состояния суставных фасеток подтаранного сустава после оперативного лечения повреждение наблюдали в девяти (45 %) случаях. Чаще повреждению подвергалась объединенная суставная фасетка, — восемь (61,5 %) случаев из 13, задняя не повреждалась ни в одном из наблюдаемых случаев. Повреждение опоры таранной кости было отмечено в трех (15 %) случаях.
Рентгенографические исследования показали, что на следующий день после операции фиксирующие винты располагались в пяточной кости, не затрагивая окружающие суставы, фиксация была стабильной, миграция трансплантата не обнаружена. Через год после оперативного вмешательства по результатам рентгенографического исследования с нагрузкой на стопу отмечали достоверное улучшение изучаемых показателей (p ≤ 0 ,05; табл. 1). У одного (5 %) пациента через год после операции отмечено несращение в месте остеотомии.
По результатам опроса пациентов на контрольном осмотре через год на основании анкеты AOFAS отмечено достоверное улучшение субъективной оценки состояния: до операции среднее значение — (56,6 ± 10,8) баллов, а после операции — (84,4 ± 5,6) балла. Также у пациентов повысился уровень качества жизни после операции (р ≤ 0,05). Повторное оперативное вмешательство потребовалось в пяти (25 %) случаях: у одного (5 %) пациента в связи формированием ложного сустава и у четырех (20 %) пациентов в связи с возникшим конфликтом между пластиной и сухожилиями малоберцовых мышц, что приводило к сохранению болевого синдрома через год после хирургического лечения.

Пациент 1989 года рождения поступил в ННИИТО им. Я.Л. Цивьяна с жалобами на деформацию левой стопы, болевой синдром при нагрузке в среднем отделе стопы, а также болезненность при ношении обуви. Согласно анамнезу, деформацию обеих стоп больной отмечал в течение длительного времени.
Пациента наблюдал травматолог в поликлинике по месту жительства, однако консервативная терапия не привела к значимому улучшению, происходило прогрессирование деформации. На основании клинического осмотра, данных анамнеза и рентгенологического исследования установлен диагноз: плосковальгусная деформация стоп 2-й степени слева, Hallux Valgus bilateralis 1–2-й степени. Пациенту выполнено предоперационное планирование и хирургическая коррекция деформации классическим методом остеотомии Evans.
По результатам рентгенографии голеностопного сустава до операции получены следующие параметры: пяточно-подошвенный угол — 13°, таранно-первоплюсневый угол в прямой проекции — 14°, в боковой проекции — 3° (рис. 1). МСКТ-исследование до хирургического вмешательства не проводили. На следующий день после операции выполнили МСКТ стопы, которая выявила наличие объединённой передней и средней суставных фасет подтаранного сустава, повреждённых в ходе оперативного вмешательства (рис. 4).

Через год после хирургического лечения проведено контрольное рентгенологическое исследование голеностопного сустава с нагрузкой в двух проекциях. Получены следующие показатели: пяточно-подошвенный угол — 21°, таранно-плюсневый угол в прямой проекции — 3°, в боковой проекции — 4°. Выполнено анкетирование по шкале AOFAS, которое продемонстрировало улучшение показателей с 53 баллов до операции до 87 баллов после хирургического лечения.
В группе исследования восемь (40 %) пациентов были отнесены к типу A по классификации P. Bunning и C. Barnett, средний возраст — (33,8 ± 8,2) года, 12 (60 %) — к типу B, средний возраст — (46,1 ± 8,8) года.
По результатам оценки суставных фасеток после оперативного вмешательства, осуществляемого в данной группе оригинальным методом, повреждение наблюдали только у одного (5 %) пациента. Случаев повреждения опоры таранной кости в группе исследования не отмечено.
Согласно оценке 3D-моделей стоп после операции, средняя погрешность угла остеотомии, определенного до операции относительно фактического угла проведенной остеотомии, составила 1°, что не является статистически значимым (p = 0,21). Расстояние от пяточно-кубовидного сустава до предполагаемой линии остеотомии, спланированное до операции, составляло (1,59 ± 0,28) мм, после операции — (1,76 ± 0,24) мм. Погрешность — 0,17 мм, что не является статистически значимым (p = 0,13).
По результатам рентгенографического исследования, на следующий день после операции фиксирующие винты располагались в пяточной кости, не затрагивая суставы, фиксация была стабильной, миграция трансплантата не отмечена. На повторном исследовании через год с нагрузкой на стопу отметили достоверное изменение углов (p ≤ 0,05; табл. 2). Повторную операцию проводили двум (10 %) пациентам в связи с возникшим конфликтом между пластиной и сухожилиями малоберцовых мышц, что приводило к сохранению локального болевого синдрома через год после хирургического лечения.

Пациент 1996 года рождения поступил в ННИИТО им. Я.Л. Цивьяна с жалобами на деформацию обеих стоп, боли в стопах, усиливающиеся после физических нагрузок, больше — справа. Из анамнеза известно, что деформация обеих стоп беспокоит пациента с детства. Наблюдался у травматолога-ортопеда в поликлинике по месту жительства, консервативная терапия оказалась неэффективной. В течение последних нескольких лет пациент отмечал нарастание болевого синдрома и дискомфорта в стопах, больше — справа, трудности ношения обуви, в связи с чем обратился в НИИТО. На основании жалоб, анамнеза, данных клинического и рентгенологического исследований установлен диагноз: приобретенная плосковальгусная деформация обеих стоп 2–3-й степени справа, 2-й степени слева; Hallux valgus bilateralis 1–2-й степени; синдром двусторонней таразалгии, больше — справа.
По результатам рентгенографического исследования голеностопного сустава до хирургического лечения пяточно-подошвенный угол составлял 17º, таранно-первоплюсневый в прямой проекции — 9º, в боковой проекции — 6º.
Проведено предоперационное планирование и хирургическое лечение с использованием предлагаемого метода. У пациента определены суставные фасетки типа А, расстояние от пяточно-кубовидного сустава — 1,5 см, угол наклона линии остеотомии относительно наружной стенки пяточной кости — 100º (рис. 5). По данным МСКТ, на следующий день после хирургического лечения ни одна суставная фасетка не была повреждена, угол наклона остеотомии отличался от запланированного на 1°. Расстояние от пяточно-кубовидного сустава отличалось на 1 мм (рис. 6).

Через год после хирургического лечения повторно проведено рентгенологическое исследование голеностопного сустава с нагрузкой в двух проекциях, на которых повторно измерили пяточно-подошвенный угол (20º), таранно-плюсневый угол в прямой проекции (3º) и в боковой проекции (3º).
На контрольном приеме через год опрос по AOFAS показал изменение значений с 42 баллов до операции до 89 баллов после операции.
Сравнительный анализ результатов обеих групп исследования
Сравнение пациентов двух групп, участвующих в исследовании, проводили по нескольким значениям: соотношение числа представителей с разными типами суставных фасеток, их состояние (поврежденные/неповрежденные), изменение угловых показателей стоп и изменение результатов анкетирования по AOFAS после хирургического лечения.
Повторная операция требовалась в обеих группах в связи с конфликтом между металлофиксатором и сухожилиями малоберцовых мышц (четыре случая в группе сравнения, два в группе исследования).
Отмечено, что пациенты с типом В преобладали в обеих группах. Значимые различия наблюдали при оценке состояния суставных фасеток подтаранного сустава. В группе сравнение повреждение отмечено почти в половине случаев (45 %), при этом в группе исследования выявлен лишь один (5 %) случай повреждения фасеток. Различие считали статистически значимым (p = 0,0035).
Для оценки корригирующей способности предлагаемого метода сравнили рентгенологические показатели, полученные до операции и через год после операции, в группах сравнения и исследования.
Данные не показали статистически значимых различий, что подтверждает хорошую корригирующую способность предлагаемого метода.
Опрос по AOFAS после операции не показал статистически значимых различий в двух группах.
В группе сравнения, включавшей 20 пациентов, хирургическое лечение плосковальгусной деформации осуществляли классическим методом остеотомии Evans. По результатам послеоперационного МСКТ исследования в девяти (45 %) случаях отмечали повреждение хотя бы одной суставной фасетки подтаранного сустава. При этом чаще наблюдали повреждение объединенной суставной фасетки (восемь из девяти случаев, 89 %), что считали статистически значимым (p = 0,043). Повреждение опоры таранной кости отмечали в трех (15 %) случаях из 20.
В группе исследования, также включавшей 20 пациентов, хирургическое лечение проводили предлагаемым методом. По данным послеоперационного МСКТ-исследования голеностопного сустава, повреждение суставной фасетки наблюдали в одном (5 %) случае у пациента с типом А. Предполагаемая причина повреждения заключается в индивидуальной особенности, из-за чего расстояние между задним краем передней и передним краем средней фасетками крайне мало (0,14 см). Погрешность направления остеотомии, рассчитанного на основании 3D-модели пяточной кости во время предоперационного планирования, составляла 1°, погрешность расстояния от пяточно-кубовидного сустава до предполагаемой линии остеотомии — 0,17 мм. Оба показателя не являются статистически значимыми.
ОБСУЖДЕНИЕ
В 1995 г. V.S. Mosca [15] модифицировал метод остеотомии Evans, предложив вводить в подтаранный сустав костный распатор между передней и средней суставными фасетками с целью их защиты. Однако его метод имеет недостатки, такие как необходимость вскрытия капсулы сустава и трудности определения необходимого интервала для введения распатора в связи с ограниченным интраоперационным обзором. Данный метод травматичен для подтаранного сустава и не исключает возможности повреждения объединенной передней и средней суставной фасетки.Согласно методу определения уровня остеотомии, разработанному В.М. Кенисом с соавт., при рентгенологическом контроле стопы в переднезадней проекции, где визуализируется опора таранной кости, линия остеотомии должна располагаться непосредственно перед ней [16]. Применение данного метода позволяет избежать повреждения опоры таранной кости, однако не исключает повреждения суставных фасеток подтаранного сустава в
связи с невозможностью их визуализации на рентгенограммах.
Метод остеотомии, предложенный B. Hintermann et al., успешно защищает переднюю и среднюю суставные фасетки подтаранного сустава [17]. Однако перед операцией необходимо проведение МСКТ голеностопного сустава и определение формы и расположения суставных поверхностей для планирования лечение методом Hintermann конкретного пациента. Также следует измерять расстояние от пяточно-кубовидного сустава до предполагаемой линии остеотомии для определения ее точного направления во время операции, что позволит защитить суставные фасетки подтаранного сустава и опору таранной кости от повреждения.
По данным исследователей, ретроспективно оценивавших результаты хирургического лечения 53 человек, среди которых 36 пациентам проведена остеотомия Hintermann, радиологические методы показали, что в данной группе пациентов передняя и средняя суставные фасетки подтаранного сустава остаются неповреждёнными в 100,0 % и 85,7 % случаев соответственно. Вторая группа включала 17 человек, которым проведена операция Evans, суставные фасетки в этой группе остались нетронутыми только в 42,9 % случаев для передней и в 71,4 % случаев для средней фасетки. Задняя фасетка оказалась неповрежденной во всех описанных случаях [18,
19].
Другие исследователи изучали интраоперационное отклонение направления линии остеотомии при операции Hintermann от изначально определенной во время предоперационного планирования.
Работу проводили на 60 моделях стоп. На основании анатомических особенностей подтаранного сустава, идеальным расстоянием для остеотомии было принято 11,5 мм от пяточно-кубовидного сустава. По результатам исследователей, отклонение от данного направления составило (2,5±1,5) мм. Чаще наблюдали тангенциальное повреждение средней суставной фасетки, однако большее значение придавали повреждению задней, так как она являлась большей по площади, основной несущей областью и имела большое значение в биомеханике подтаранного сустава. Полное повреждение наблюдали в 10 случаях из 60, тангенциальное — в 11 случаях из 60.
Суммарно задняя фасетка была повреждена у 21 модели из 60. Однако описанное исследование имеет некоторые ограничения, связанные с вариабельностью строения суставных фасеток подтаранного сустава, которые не были отражены при изготовлении моделей стоп [20].
У одного (5 %) пациента в группе сравнения при прохождении линии остеотомии через среднюю фасетку подтаранного сустава отмечено формирование ложного сустава через год после операции.
Пациенту потребовалась повторная операция. По данным литературы, при лечении пациентов с внутрисуставными переломами в случаях сохраняющихся дефектов суставной поверхности затекание синовиальной жидкости может являться причиной несращения [21]. При этом в группе исследования данных осложнений не наблюдали. Таким образом, одной из причин формирования ложного сустава при остеотомии пяточной кости может являться прохождение ее через суставные поверхности с возможным попаданием синовиальной жидкости, препятствующей формированию костной мозоли.
Повторные операции также требовалась в обеих группах в связи с возникшим конфликтом между и сухожилиями малоберцовых мышц, что приводило к сохранению болевого синдрома через год после хирургического лечения и снижению удовлетворенности пациентов операцией. По нашему мнению, при данном состоянии требуется разработка и внедрение в хирургическую практику погружного имплантата, исключающего эти недостатки.
Для оценки эффективности коррекции плосковальгусной деформации стопы анализировали рентгенологические снимки стопы с нагрузкой, основное внимание уделяли таким параметрам, как угол между пяточным бугром и поперечной плоскостью, таранно-первоплюсневый угол между осью таранной кости и осью первой плюсневой кости. На прямой проекции с нагрузкой изменялся угол между осью таранной и первой плюсневой костями.
Улучшение этих параметров в послеоперационном периоде свидетельствует о восстановлении высоты свода и взаимоотношения в суставах стопы. Полученные нами результаты рентгенологического улучшения в группе исследования согласуются с данными литературы и соответствуют ожидаемой эффективности метода.
Рентгенологически угол между осями таранной и первой плюсневой кости в среднем уменьшался с 15º до 3º за счет устранения отведения переднего отдела стопы, что является нормальным показателем данного параметра [22]. В нашем исследовании мы получили схожие данные. Угол между поточной костью и горизонтальной поверхностью после операции увеличивался на 5–10º, что свидетельствует
о восстановление высоты продольного свода стопы.
Ограничением проведенного исследования является относительно короткий срок наблюдения за пациентом (один год), что не позволяет оценить отдаленные последствия. Также стоит учитывать, что рентгенологические результаты не всегда коррелируют с клиническими симптомами. Например, у части пациентов с идеальными угловыми показателями сохранялись боли в области оперативного вмешательства, что может быть обусловлено особенностями трансплантата и наличием металлоконструкции.
Вариабельность анатомического строения подтаранного сустава требует индивидуального подхода к выбору уровня остеотомии переднего отростка пяточной кости у пациентов с плосковальгусной деформацией стопы.
ЗАКЛЮЧЕНИЕ
Предлагаемый оригинальный метод, основанный на 3D-моделировании пяточной кости с предоперационным планированием, минимизирует риск повреждения суставных фасеток подтаранного сустава и других анатомических структур. Персонализированный подход к лечению позволяет уменьшить частоту осложнений и рецидивов деформации, улучшить клинический результаты и качество жизни пациентов.СПИСОК ИСТОЧНИКОВ
1. Flores DV, Mejía Gómez C, Fernández Hernando M, et al. Adult Acquired Flatfoot Deformity: Anatomy, Biomechanics, Staging, and Imaging Findings. Radiographics. 2019;39(5):1437-1460. doi: 10.1148/rg.2019190046.
2. Samarakoon JN, de Silva NL, Fernando D. Prevalence and associated factors of flat feet among patients with hypertension; findings from a cross sectional study carried out at a tertiary care hospital in Sri Lanka. Archives of Physiotherapy and Rehabilitation. 2020;3(4):076-083. doi: 10.26502/fapr0016.
3. Давыдова Н.И. Плоскостопие и меры борьбы с ним . В кн.: Приоров Н.Н., ред. Стопа и вопросы построения рациональной обуви. Москва: ЦИТО; 1960:157.
4. Тao X, Chen W, Tang K. Surgical procedures for treatment of adult acquired flatfoot deformity: a network meta-analysis. J Orthop Surg Res. 2019;14(1):62. doi: 10.1186/s13018-019-1094-0.
5. Процко В.Г. Хирургическое лечение плосковальгусной деформации стоп у взрослых: дис. … д-ра мед. наук. М.; 2018:204.
6. Кенис В.М., Сапоговский А.В., Лапкин Ю.А., Хусаинов Р.Х. Мобильное плоскостопие у детей (обзор литературы). Ортопедия, травматология и восстановительная хирургия детского возраста. 2014;2(2):44-54
7. Hyer CF, Lee T, Block AJ, VanCourt R. Evaluation of the anterior and middle talocalcaneal articular facets and the Evans osteotomy. J Foot Ankle Surg. 2002;41(6):389-393. doi: 10.1016/s1067-2516(02)80085-0.
8. Wu J, Liu H, Xu C. The optimal procedure for lateral column lengthening calcaneal osteotomy according to anatomical patterns of the subtalar joint: an anatomical study in the Chinese population. BMC Musculoskelet Disord.
2022;23(1):751. doi: 10.1186/s12891022-05715-w.
9. Байрошевская М.В., Сафиуллина А.Ф., Хайруллин P.M. Частота типов пяточной кости по модифицированной классификации форм таранных суставных поверхностей. Морфологические ведомости. 2014;22(1):26-32.
10. Гуди С.М., Семенова Д.А., Васильев К.О. и др. Оптимальный метод латеральной удлиняющей остеотомии пяточной кости: томографическое исследование среди населения России. Гений ортопедии. 2024;30(6):855-862.
11. Raines RA Jr, Brage ME. Evans osteotomy in the adult foot: an anatomic study of structures at risk. Foot Ankle Int. 1998;19(11):743747. doi: 10.1177/107110079801901106.
12. Jara ME. Evans osteotomy complications. Foot Ankle Clin. 2017;22(3):573-585. doi: 10.1016/j.fcl.2017.04.006.
13. Bussewitz BW, DeVries JG, Hyer CF. Evans osteotomy and risk to subtalar joint articular facets and sustentaculum tali: a cadaver study. J Foot Ankle Surg. 2013;52(5):594-597. doi: 10.1053/j.jfas.2013.03.006.
14. Bunning PS, Barnett CH. A comparison of adult and foetal talocalcaneal articulations. J Anat. 1965;99(Pt 1):71-76.
15. Mosca VS. Calcaneal lengthening for valgus deformity of the hindfoot. Results in children who had severe, symptomatic flatfoot and skewfoot. J Bone Joint Surg Am. 1995;77(4):500-512. doi: 10.2106/00004623-199504000-00002.
16. Кенис В.М., Сапоговский А.В. Способ определения уровня остеотомии пяточной кости при операции Эванса. Патент РФ на изо
бретение № 2676665. 09.01.2019. Бюл. № 1.
17. Hintermann B, Valderrabano V, Kundert HP. Lengthening of the lateral column and reconstruction of the medial soft tissue for treatment of acquired flatfoot deformity associated with insufficiency of the posterior tibial tendon. Foot Ankle Int. 1999;20(10):622629. doi: 10.1177/107110079902001002.
18. Ettinger S, Mattinger T, Stukenborg-Colsman C, et al. Outcomes of Evans Versus Hintermann Calcaneal Lengthening Osteotomy for Flexible Flatfoot. Foot Ankle Int. 2019;40(6):661-671. doi: 10.1177/1071100719835464.
19. Ettinger S, Sibai K, Stukenborg-Colsman C, et al. Comparison of Anatomic Structures at Risk With 2 Lateral Lengthening Calcaneal Osteotomies. Foot Ankle Int. 2018;39(12):1481-1486. doi: 10.1177/1071100718789435.
20. Polt M, Viehöfer AF, Casari FA, et al. Conventional vs Augmented Reality-Guided Lateral Calcaneal Lengthening Simulated in a Foot Bone Model. Foot Ankle Int. 2024;45(7):773-783. doi: 10.1177/10711007241237532.
21. Fayaz HC, Giannoudis PV, Vrahas MS, et al. The role of stem cells in fracture healing and nonunion. Int Orthop. 2011;35(11):15871597. doi: 10.1007/s00264-011-1338-z.
22. Schleunes SD, Campbell SN, Jones JM, et al. Radiographic Analysis of the Lateral Column Lengthening Procedure in Stage II Adult
Информация об авторах:
Сергей Михайлович Гуди — кандидат медицинских наук, научный сотрудник, заведующий отделением, врач — травматолог-ортопед
Дарья Алексеевна Семенова — студентка
Валентина Вадимовна Крикунова — клинический ординатор
Константин Олегович Васильев — врач-рентгенолог
Лилия Константиновна Скуратова — младший научный сотрудник, врач — травматолог-ортопед
Матвей Дмитриевич Лучшев — аспирант, младший научный сотрудник, врач — травматолог-ортопед
Валерий Михайлович Прохоренко — доктор медицинских наук, профессор, главный научный сотрудник
Владимир Иванович Шевцов — доктор медицинских наук, профессор, член-корреспондент Российской академии наук
Игорь Анатольевич Пахомов — доктор медицинских наук, главный научный сотрудник, врач — травматолог-ортопед
Теги: латеральная удлиняющая остеотомия
234567 Начало активности (дата): 10.02.2026
234567 Кем создан (ID): 989
234567 Ключевые слова: латеральная удлиняющая остеотомия, суставные фасетки подтаранного сустава, плосковальгусная деформация стопы, операция Evans, операция Hintermann, персонализированная хирургия
12354567899
Похожие статьи
Укорачивающая подвертельная остеотомия бедренной кости при эндопротезировании тазобедренного сустава у пациентов с врожденным вывихом бедраРентген на дому 8 495 22 555 6 8
Реваскуляризирующая остеотомия бедра при начальных стадиях прогрессирующего коксартроза
Чрезвертельная остеотомия при лечении подростков с диспластическим коксартрозом
Корригирующая остеотомия бедра в комплексном лечении детей с болезнью Легга-Кальве-Пертеса


