22.02.2026
Ультразвуковая семиотика опухолевого тромбоза лейомисаркомы нижней полой вены: проспективное исследование
Больные с опухолевыми тромбозами лейомиосаркомы нижней полой вены (НПВ) не должны считаться иноперабельными, они подлежат радикальному лечению, которое может значительно продлить им жизнь
Введение.
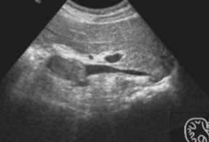
Больные с опухолевыми тромбозами лейомиосаркомы нижней полой вены (НПВ) не должны считаться иноперабельными, они подлежат радикальному лечению, которое может значительно продлить им жизнь. Только мультипараметрический подход в диагностике позволит клиницистам иметь полную картину тяжести состояния пациента для принятия решения о выборе оптимального метода лечения [1]. Лейомисаркома нижней полой вены крайне редкая опухоль, которая протекает с малыми и неспецифическими симптомами и относительно быстрой прогрессией, на момент постановки диагноза опухоли достигают больших размеров и вероятность хирургического лечения представляет собой сложной задачей, но является перспективным способом обеспечить долгосрочную выживаемость таких пациентов. Диагностической особенностью лейомиосарком нижней полой вены является массивная неорганная опухоль, исходящая из забрюшинного пространства, а именно из стенки НПВ [2, 3]. Зачастую опухоль оттесняет соседние органы и структуры, и когда прослеживается граница между ними, легко интерпретировать и дифференцировать ее от других неорганных опухолей забрюшинного пространства, тем более опухоль имеет свои рентгенологические признаки и ультразвуковую картину [4] (рис. 1, 2).
Цель - улучшение результатов ультразвуковой семиотики и применение мультипараметрического ультразвукового исследования опухолевых тромбозов лейомиосаркомы нижней полой вены.
Сложности возникают, когда опухоль тесно прилежит к правой почке или к печени, где граница не прослеживается между опухолью и органами, когда есть врастание и сдавливание сосудистых структур, пример — воротные структуры правой почки или печени, с инфильтрацией или сдавлением сосудистой ножки [5]. Проще становится, когда мы видим, что опухоль распространилась в просвет НПВ, формируя опухолевый тромб, тогда возникают сложности в определении верхней и нижней границы тромба: в верхней части — есть ли признаки флотации, в нижней — при полной окклюзии просвета нижней полой вены, истинную границу и дифференциальную диагностику с геморрагическим тромбозом (часто встречается при полной окклюзии просвета НПВ и нарушением оттока), и формированием венозных коллатералей, что является важным критерием при резекции НПВ [6].
Материалы и методы.
Одобрения этического комитета не требовалось. В исследование включены 26 пациентов с выявленными по результатам КТ с внутривенным контрастированием лейомиосаркомами нижней полой вены, из них 14 — с опухолевым тромбозом НПВ.
Основные задачи при ультразвуковом исследовании:
а) оценка распространенности первичного опухолевого процесса;
б) наличие опухолевого тромбоза; определение границ;
в) оценка опухолевого тромбоза (окклюзирующий с признаками флотации есть ли подпаянность к сосудистой стенке);
г) распространение опухолевого тромбоза в другие сосуды (в печеночные, в почечные, в поясничные, в подвздошные вены, гонадные вены) и в полости сердца;
д) определение структуры опухолевого тромбоза по данным эластографии и эластометрии (качественной и количественной оценки эластичности);
е) дифференциальная диагностика опухолевого тромбоза и геморрагического;
ж) оценка состояния кровотока по НПВ и ее коллатералям.
Всегда возникают сложности визуализации из-за отягощенного состояния пациента из-за массивной опухоли и выраженной пневматизации толстой кишки, реже — асцит и гепатомегалия поэтому были определены плоскости сканирования — аксиальный и сагиттальный срез, и доступы при ультразвуковой визуализации:
1) прямой — по средней линии живота,
2) косой — по латеральному краю прямой мышцы живота,
3) боковой — по передней и средней аксиллярной линии,
4) подреберный и межреберный.
Для оценки локализации первичной опухоли и опухолевого тромбоза НПВ используется общепризнанная классификация сегментов нижней полой вены, предложенной академиком И. С. Стилиди (2011):
1) инфраренальный (от бифуркации общих подвздошных вен до устья почечных вен — под почечными венами),
2) каваренальный (уровень впадения почечных вен),
3) супраренальный (от уровня выше впадения почечных вен до уровня ниже впадения печеночных вен),
4) гепатокавальный (уровень впадения печеночных вен),
5) интрадиафрагмальный (от уровня выше впадения печеночных вен до диафрагмы),
6) интраперикардиальный (от диафрагмы до перикарда).
Результаты.
В наших наблюдениях основная локализация первичной опухоли нижней полой вены — это уровень инфраренального, каваренального и супраренального сегментов НПВ, а верхняя граница опухолевого тромба — ниже уровня диафрагмы, и только в двух случаях была неполная окклюзия устья печеночных вен, что при дополнительном исследовании функциональных и ультразвуковых параметров, а также данных клинико-лабораторных исследований, исключало развитие синдрома Бадда–Киари. Во всех остальных случаях верхушка опухолевого тромба определялась на уровне супраренального сегмента НПВ. Стандартной ситуацией было прорастание опухолью всех слоев стенки НПВ, вне зависимости от локализации и полуокружности, опухолевый тромб в просвете НПВ исходил из основного массива опухоли, и распространялся по направлению кровотока.
В просвете НПВ опухолевый тромб оттесняет или расслаивает интиму и имеет спиралевидный рост по ходу кровотока, что является важным критерием при дифференциальной диагностике с другими опухолевыми тромбами НПВ, а также с геморрагическим тромбозом.
При спиралевидном росте в просвете НПВ и отслойки интимы могут формироваться лакуны и при частичной или полной обтурации их просвета формируют пристеночные тромботические массы, связанные с нарушением локальной гемодинамики в просвете НПВ, что принципиально важно не только в дифференциальной диагностике, но и во время операции — есть высокий риск отхождения тромботических масс из этих лакун.
При допплерографии хорошо виден пристеночный кровоток через эти лакуны, когда их просвет свободный и не занят тромботическими массами. Формирование этих лакун связано с наличием выраженного коллатерального кровотока за счет поясничных вен и кровотока из почечных вен, если они не сдавлены основным массивом опухоли, а также надпочечниковых и гонадных вен (рис. 3, 4).

При эластографии и эластометрии можно хорошо визуализировать эти лакуны из-за разности жесткости опухолевого тромба и практически во всех случаях определить спиралевидный рост в просвете НПВ (рис. 5, 6).
В В-режиме всегда тяжело дифференцировать истинную нижнюю границу опухолевого тромба, так как при полной окклюзии могут формироваться окклюзирующие или пристеночные кроветворные тромботические массы, что хорошо дифференцируется на фоне эластографии и эластометрии и еще лучше дифференцируется на фоне применения ультразвукового контраста. Контрастное ультразвуковое усиление практически во всех случаях определяет верхнюю и нижнюю границу опухолевого тромба, где чувствительность и точность составили 100%, а также определяет инвазию опухолевого тромба в стенку НПВ и флотацию головки опухолевого тромба, где показатели информативности были высоки как при полной окклюзии могут формироваться окклюзирующие или пристеночные кроветворные тромботические массы, что хорошо дифференцируется на фоне эластографии и эластометрии и еще лучше дифференцируется на фоне применения ультразвукового контраста. Контрастное ультразвуковое усиление практически во всех случаях определяет верхнюю и нижнюю границу опухолевого тромба, где чувствительность и точность составили 100%, а также определяет инвазию опухолевого тромба в стенку НПВ и флотацию головки опухолевого тромба, где показатели информативности были высокими — 100% и наличие геморрагического тромбоза на уровне нижнего края опухолевого тромба, где специфичность и точность составили 100% (рис. 7).
Также при ультразвуковом контрастировании лейомисаркома НПВ имеет выраженное накопление контрастного вещества в периферических отделах и незначительное накопление в центральной части, что является особенностью в дифференциальной диагностике с неорганными опухолями забрюшинного пространства. Время продолжительности и пик накопления и вымывания контраста в опухоли соответствует времени продолжительности и пику накоплению и вымыванию контраста в опухолевом тромбозе. Хотелось бы отметить, что нижняя граница тромба была практически во всех случаях на уровне основного массива опухоли лейомиосаркомы НПВ.
По данным сдвиговой импульсно-волновой эластографии оценка эластичности опухолевого тромба совпадала с данными при эластометрии, где была определена структура опухолевого тромба и выявлены участки повышенной жесткости. В большинстве случаев опухолевый тромб имел жесткие участки в центральной части на всем протяжении и отдельные жесткие участки в области фиксации к стенке НПВ, а в области лакун или где не было фиксации к стенке НПВ — преимущественно мягкой консистенции.
В данном исследовании используется анализ индекса Юдена для выбора оптимальных диагностических порогов для эластометрии опухолевых тромбозов, где результаты сравнительного анализа опухолевых тромбозов в дооперационном периоде и в сопоставлении с данными исследуемого макропрепарата (рис. 8), были определены следующие значения количественного показателя: 1) мягкий, рыхлый тип консистенции, где <7, 5кПа и 1,6 м/сек; 2) смешанный тип консистенции, где >7,5 кПа и 1,6 м/сек и <12,0 кПа и 2,0 м/сек; 3) жесткий, эластичный тип консистенции, где >12,0 кПа и 2,0 м/сек. В предварительной оценке при сопоставлении данных комплексной ультразвуковой диагностики (B-режим, сдвиговая импульсно-волновая эластография и эластометрия) лейомиосаркомы НПВ с опухолевым тромбозом и в сопоставлении с данными исследования макропрепарата — опухоли и опухолевого тромбоза, было полное совпадение, p<0,05. Это говорит о том, что полученные результаты статистически значимы.
Обсуждение.
Ультразвуковое исследование опухолевых тромбов лейомиосаркомы нижней полой вены проводится только на аппаратах экспертного класса, помимо хорошего В-режима, оснащенных дополнительными методиками исследований: допплерографией, сдвиговой импульсно-волновой эластографией и эластометрией, и УЗ-контрастированием. Доппле - ро графия дает нам возможность оценки кровотока в пораженных опухолью сосудах и в сформированных коллатеральных системах, можно оценить скорость кровотока, а также наличие пристеночного кровотока, для оценки инвазии опухоли в стенку НПВ и наличие пристеночного тромбоза. Эластография и эластометрия дают нам качественные и количественные характеристики опухолевого тромбоза, по результатам которых можно сказать какой опухолевый тромб — мягкий — рыхлый, жесткий — эластичный, или смешанный тип. Ультразвуковые контрасты хорошо позволяют дифференцировать опухолевый тромб НПВ и геморрагическим тромбоз, также дифференцировать леймиосаркому нижней полой вены от неорганных опухолей забрюшинного пространства или экстраорганных опухолей, исходящих из правой почки, надпочечника и печени.
Заключение.
При помощи комплексной УЗ-диагностики можно оценить распространенность лейомиосаркомы НПВ; в В-режиме оценить наличие опухолевого тромбоза и определить верхние и нижние границы опухолевого тромба.
В режиме реального времени и при допплерографии оценить УЗ-признаки опухолевого тромбоза (окклюзирующий, с признаками флотации, есть ли подпаянность к сосудистой стенке). Оценить распространение опухолевого тромбоза в другие сосуды (в печеночные, в почечные, в поясничные, в подвздошные вены, гонадные вены) или в полости сердца, при высоких опухолевых тромбозах лейомиосаркомы НПВ. По данным эластографии и эластометрии определить структуру опухолевого тромба (дать качественную и количественную оценку эластичности — мягкий, рыхлый, плотный, смешанный) и проводить дифференциальную диагностику опухолевого тромбоза и кроветворного.
Комплексная УЗ-диагностика может оценить развитие синдрома Бадда–Киари, дать четкие критерии, которые могут повлиять на тактику хирургического вмешательства (показания и противопоказания к операции). УЗ-контрастирование позволяет нам проводить дифференциальную диагностику между лейомисаркомой НПВ и неорганными опухолями забрюшинного пространства и дифференциальная диагностика между опухолевыми и неопухолевыми тромбозами. УЗконтроль в послеоперационном периоде помогает в выявлении послеоперационных осложнений (свертков в зоне резекции НПВ, а также тромбозов в подвздошных венах, вен нижних конечностей и наличие послеоперационных гематом и свободной жидкости).
Сведения об авторах:
Бердников Сергей Николаевич — кандидат медицинских наук, заведующий отделением ультразвуковой диагностики федерального государственного бюджетного учреждения «Национальный медицинский исследовательский центр онкологии имени Н. Н. Блохина» Министерства здравоохранения Российской Федерации; 115478, Москва, Каширское шоссе, д. 23
Абгарян Микаэл Грантович — кандидат медицинских наук, старший научный сотрудник, врач-онколог федерального государственного бюджетного учреждения «Национальный медицинский исследовательский центр онкологии имени Н. Н. Блохина» Министерства здравоохранения Российской Федерации; 115478, Москва, Каширское шоссе, д. 23
Шолохов Владимир Николаевич — доктор медицинских наук, профессор, врач отделения ультразвуковой диагностики федерального государственного бюджетного учреждения «Национальный медицинский исследовательский центр онкологии имени Н. Н. Блохина» Министерства здравоохранения Российской Федерации; 115478, Москва, Каширское шоссе, д. 23
Махотина Мария Сергеевна — кандидат медицинских наук, врач отделения ультразвуковой диагностики федерального государственного бюджетного учреждения «Национальный медицинский исследовательский центр онкологии имени Н. Н. Блохина» Министерства здравоохранения Российской Федерации; 115478, Москва, Каширское шоссе, д. 23
Калинин Алексей Евгеньевич — кандидат медицинских наук, заведующий отделением абдоминальной онкологии № 2 (опухолей гепатопанкреатобилиарной зоны) федерального государственного бюджетного учреждения «Национальный медицинский исследовательский центр онкологии имени Н. Н. Блохина» Министерства здравоохранения Российской Федерации; 115478, Москва, Каширское шоссе, д. 23
Тихонова Елена Валерьевна — врач отделения ультразвуковой диагностики федерального государственного бюджетного учреждения «Национальный медицинский исследовательский центр онкологии имени Н. Н. Блохина» Министерства здравоохранения Российской Федерации; 115478, Москва, Каширское шоссе, д. 23
ЛИТЕРАТУРА
1. Стилиди И.С., Абгарян М.Г., Калинин А.Е. и др. Хирургическое лечение больных с лейомиосаркомой нижней полой вены // Хирургия. Журнал им. Н. И. Пирогова. 2017. № 10. С. 4–12. [Stilidi I.S., Abgarian M.G., Kalinin A.E. et al. Surgical treatment of patients with leiomyosarcoma of inferior vena cava. Pirogov Russian Journal of Surgery, 2017, No. 10, рр. 4–12 (In Russ.)].
2. Бердников С.Н., Шолохов В.Н., Патютко Ю.И. и др. Сравнение показателей эластографии и эластометрии объемных образований печени с данными, полученными при исследовании удаленного макропрепарата // Анналы хирургической гепатологии. 2013. Т. 18, № 3. С. 54–60. [Berdnikov S.N., Sholokhov V.N., Patyutko Yu.I. et al. Comparsion of elastography and elastometry data of liver focal lesions and of resected tissue. Annals of Surgical Hepatology, 2013, Vol. 18, No. 3, рр. 54–60 (In Russ.)].
3. Цвелодуб С.В., Стилиди И.С. Лейомиосаркома нижней полой вены: обзор литературы. Часть 2 // Анналы хирургии. 2013. № 2. С. 29–35. [Tsvelodub S.V., Stilidi I.S. Leiomyosarcoma of the inferior vena cava: a literature review. Part 2. Annals of Surgery, 2013, No. 2, рр. 29–35 (In Russ.)].
4. Терешин О.С., Важенин А.В., Зотов С.П. и др. Лейомиосаркома нижней полой вены // Сибирский онкологический журнал. 2012. № 6. С. 84–88. [Tereshin O.S., Vazhenin A.V., Zotov S.P. et al. Leiomyosarcoma of the inferior vena cava. Siberian oncology journal, 2012, Vol. 6, рр. 84–88 (In Russ.)].
5. Пышкин С.А., Зотов С.П., Терешин О.С. Лейомиосаркома нижней полой вены, симулирующая опухоль печени // Анналы хирургической гепатологии. 2011. № 4. С. 104–107. [Pyshkin S.A., Zotov S.P., Tereshin O.S. Inferior vena cava leiomyosarcoma simulating a tumor of the liver. Annals of Surgical Hepatology, 2011, No. 4, рр. 104–107 (In Russ.)].
6. Стилиди И.С., Губина Г.И., Бохян В.Ю. и др. Резекция и пластика нижней полой вены при опухолях забрюшинной локализации // Анналы хирургии. 2011. № 6. С. 36–43. [Stilidi I.S., Gubina G.I., Bokhyan V.Yu. et al. Resection and plastic of inferior vena cava in the case of retroperitoneal tumor localization. Annals of Surgery, 2011, Vol. 6, рр. 36–43 (In Russ.)].
Теги: УЗ-диагностика
234567 Начало активности (дата): 22.02.2026
234567 Кем создан (ID): 989
234567 Ключевые слова: лейомиосаркома, нижняя полая вена, мультипараметрическая УЗ-диагностика, опухолевый тромбоз, геморрагический тромбоз, эластография, эластометрия
12354567899
Похожие статьи
МРТ и УЗИ-параллели в оценке внутрисуставных структур у больных с закрытыми повреждениями коленного суставаРентген на дому 8 495 22 555 6 8
Инфузионно - трансфузионная терапия в нейроанестезиологии
УЗИ на дому
Роль МРТ и УЗИ в оценке структур коленного сустава при внутрисуставных переломах


