25.02.2026
Эндопротезирование тазобедренного сустава у пациента с трансплантированным сердцем. Клинический случай
Трансплантация солидных органов считается наиболее эффективным методом лечения терминальных стадий заболеваний сердца, легких, поджелудочной железы, печени и почек.
Трансплантация органов считается наиболее эффективным методом лечения терминальных стадий заболеваний сердца, легких, поджелудочной железы, печени и почек.
Ежегодно в Европе и США пересаживается ~28 тыс. солидных органов, а в 2023г в России провели 3056 операций по пересадке донорских органов [1]. Увеличение числа трансплантаций и долгосрочная выживаемость реципиентов приводит к повышенному риску развития сопутствующей патологии, не связанной с трансплантатом. У реципиентов могут развиться заболевания, требующие оперативного лечения хирургами общей практики, травматологами, онкологами и другими специалистами.
При предоперационной оценке следует учитывать, что пациенты, перенесшие трансплантацию, находятся на постоянной иммуносупрессии, и, хотя многие из них достигают высокой функциональной способности и могут жить нормальной продуктивной жизнью, они остаются в группе повышенного риска
Ключевые моменты
Пациенты после трансплантации сердца подвержены высокому риску осложнений при внесердечных хирургических манипуляциях.
Иммуносупрессивная терапия — фактор риска остеонекроза.
Клинический случай демонстрирует успешное эндопротезирование тазобедренного сустава у пациента с трансплантированным сердцем на фоне проводимой иммуносупрессии.любых хирургических осложнений, особенно инфекционных. Более того, клиническая картина многих заболеваний может отличаться от общей популяции, что иногда приводит к ошибочному диагнозу или недооценке тяжести заболевания. Еще одним важным вопросом является потенциальное влияние любого оперативного вмешательства на функциональные возможности трансплантированного органа, который имеет меньший клинический резерв по сравнению с нативным органом. Даже умеренные интраоперационные нарушения, такие как гипотония, могут отрицательно повлиять на трансплантированный орган, и поэтому, когда доступно несколько вариантов, у этих пациентов следует отдавать предпочтение наиболее осторожному, консервативному, минимально инвазивному и стандартизированному хирургическому подходу [2].
Принимая во внимание распространенность общехирургических проблем и постоянно растущую группу пациентов, перенесших трансплантацию, живущих и функционирующих в условиях хронической иммуносупрессии, становится очевидным, что все хирурги общего профиля, особенно за пределами центров трансплантации, должны быть знакомы с факторами, которые влияют на результаты хирургического вмешательства у этой конкретной группы пациентов, а также на проблемы, которые могут повлиять на оптимальные сроки операции и послеоперационный уход [3].
В данной статье описывается случай успешного эндопротезирования тазобедренного сустава у пациента с трансплантированным сердцем. Целью представления данного клинического случая является описание адекватного, эффективного подхода в ведении пациентов с трансплантированным сердцем при внесердечных хирургических вмешательствах, в частности эндопротезирования тазобедренного сустава.
Клинический случай
В 2019г пациенту М. 1977 года рождения была проведена ортотопическая трансплантация сердца по бикавальной методике по поводу терминальной стадии дилатационной кардиомиопатии с фракцией выброса левого желудочка 11%. Смена стандартной схемы иммуносупрессивной терапии с мофетила микофенолат на эверолимус была проведена через год после трансплантации по поводу значимого прироста азотистых шлаков крови и снижения скорости клубочковой фильтрации до 41 мл/мин. Через 3 года после трансплантации у пациента появились выраженные боли в правом тазобедренном суставе, нарушение двигательной функции и неэффективность консервативной терапии (хондропротекторные препараты и нестероидные противовоспалительные). В октябре 2023г пациент госпитализирован в отделение травматологии ГБУЗ "НИИ — ККБ1 им. проф. С. В. Очаповского" с диагнозом: Основное заболевания: Состояние после ортотопической трансплантации сердца от 13.12.2019 (Дилатационная кардиомиопатия).
Гипертоническая болезнь II стадии. Контролируемая. Риск 3 (высокий). Целевое артериальное давление 120-129/70- 79 мм рт.ст. Скорость клубочковой фильтрации 72,7 мл/мин/1,73 м2.
Конкурирующее заболевание: Правосторонний идиопатический коксартроз 3 ст. Стойкий болевой синдром справа.
На момент госпитализации физикальные параметры, показатели эхокардиографии (размеры и функции камер сердца) и лабораторные данные были в пределах нормативных значений. Схема иммуносупрессии включала: метилпреднизолон 4 мг утром, такролимус 1 мг утром и вечером, эверолимус 1 мг утром и 0,75 мг вечером. Кроме того, пациент получал гипотензивную терапию препаратами пе- риндоприл 5 мг в утром и амлодипин 5 мг вечером, розувастатин 20 мг вечером, препараты кальция, магния, фолиевой кислоты. При поступлении концентрация такролимуса крови составляла 5,2 нг/мл (целевое значение 4-6 нг/мл), концентрация эверо- лимуса крови составляла 4,8 нг/мл (целевые значения 3-8 нг/мл). В анамнезе у пациента не было случаев отторжения трансплантата, что контролировалось с помощью эндомиокардиальной биопсии.
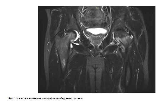
В травматологическом отделении выполнен рентгеновский снимок обоих тазобедренных суставов, выявлен асептический некроз головки бедренной кости.
С целью дообследования выполнена магнитнорезонансная томография тазобедренных суставов (рис. 1).
Учитывая клинические проявления (болевой синдром, нарушение функции правой нижней конечности, отсутствие опорности из-за выраженного болевого синдрома), рентгенологические данные (асептический некроз головки бедренной кости справа) выставлен диагноз правосторонний асептический некроз головки бедренной кости, что является показанием к оперативному лечению.
04.10.2023 выполнено оперативное лечение — тотальное эндопротезирование правого тазобедренного сустава имплантатом Aesculap TRJ.
При подготовке к оперативному лечению была проведена модификация иммуносупрессивной терапии: утром в день операции пациент не получил такролимус и эверолимус. В качестве антибиотикопрофилактики получил цефазолин по 2,0 гр внутривенно однократно, в качестве профилактики тромбоэмболических осложнений — надропарин кальция 0,4 подкожно 1 раз/сут. на весь период госпитализации. Анестезиологическое пособие (эндотрахеальный наркоз + искусственная вентиляция легких) прошло без особенностей. Кровопотеря за время операции 400 мл, компенсирована кровезаменителями. Пациент пришел в сознание через 2 ч поле оперативного лечения и вечером получил полный объем подобранной ранее дозы иммуносупрессивных препаратов.
Через сутки после оперативного лечения выполнен рентген правого тазобедренного сустава (рис. 2). Состояние всех компонентов эндопротеза удовлетворительное.
Пациент выписан из стационара на 8 сутки после оперативного лечения в удовлетворительном состоянии для продолжения реабилитации по месту жительства. Рекомендовано динамическое наблюдение кардиолога и травматолога ГБУЗ "НИИ — ККБ1". Продолжить антикоагулянтную терапию препаратом ривароксабан 10 мг/сут. в течение 5 нед., иммуносупрессивную терапию в прежнем режиме, под контролем концентрации такролимуса и эвероли- муса (метилпреднизолон отменен), гипотензивную терапию.
Возобновить прием статинов, препаратов кальция, магния, фолиевой кислоты и витамина D. Рекомендована ходьба на костылях с дозированной нагрузкой на правую нижнюю конечность 1,5 мес., затем ходьба при помощи одного костыля — 2 нед., после чего перейти на палочку. Эластическое бинтование нижних конечностей до 4-6 нед.
Обсуждение
В доступной нам литературе имеются немногочисленные описания клинических случаев внесердечных операций, таких как эндопротезирования тазобедренного сустава у пациента с трансплантированным сердцем.
У пациентов с пересаженными солидными органами может потребоваться как экстренное, так и плановое хирургическое лечение. Экстренные операции после трансплантации по поводу острых заболеваний, не связанных с трансплантатом, наблюдаются у 2,5% больных, при этом основными причинами являются заболевания желчного пузыря, перфорации желудочно-кишечного тракта, осложненный дивер- тикулит, тонкокишечная непроходимость и аппендицит. В целом хирургическое лечение у данной когорты пациентов ассоциируется с высокими показателями смертности (до 17,5%), что подчеркивает особенно сложную хирургическую тактику лечения пациентов с трансплантированными трансплантатами [4].
Несомненно, одним из важнейших факторов, обусловливающих высокую смертность трансплантированных пациентов, которым выполнялись хирургические вмешательства, является применение нескольких схем иммуносупрессии, чаще всего состоящих из тройной лекарственной комбинации: ингибиторов кальциневрина, антипролиферативных средств и кортикостероидов [5]. В целом иммуносупрессивная терапия предрасполагает пациентов, перенесших трансплантацию, к различным желудочно-кишечным заболеваниям, лимфопролиферативным заболеваниям, инфекционным осложнениям (например, цито- мегаловирус, Clostridium difficile и т.д.) и могут маскировать имеющиеся признаки и симптомы многих болезненных процессов. Более того, известно, что иммуносупрессия мешает лечению пациентов при хирургических процедурах, не связанных с трансплантацией, с точки зрения риска лекарственного взаимодействия, побочных эффектов, заживления ран и послеоперационных осложнений [6].
В соответствии с рекомендациями Минздрава России назначение иммуносупрессивных препаратов при предоперационной подготовке у пациентов с пересаженным сердцем не должно меняться без согласования с врачами-трансплантологами. Отмена ингибиторов кальциневрина возможна в утро перед оперативным вмешательством в связи с повышенным риском развития почечной недостаточности на фоне периоперационной дегидратации.
Впоследствии назначение иммуносупрессивных препаратов должно быть продолжено1. В соответствии с данной тактикой ведения проводилась терапия пациента, представленного в конкретном клиническом примере. Учитывая гладкое течение анестезиологического пособия и раннего послеоперационного периода, медикаментозная тактика была выбрана верно.
Остеонекроз (аваскулярный некроз, асептический некроз или ишемический некроз кости) — это дегенеративное заболевание костей, характеризующееся гибелью клеточных компонентов кости вследствие нарушения субхондрального кровоснабжения [7]. Одной из возможных причин остеонекроза является длительный прием глюкокортикостероидных препаратов, что и имело место быть у нашего пациента. Глюкокортикоиды, используемые в высоких дозах и в течение длительного времени, могут вызывать остеонекроз посредством апоптоза остеоцитов. Апоптоз разрушает лакунарноканикулярную систему. Таким образом, остеоциты не заменяются. Этот процесс приводит к плохому ремоделированию кости и остеосклерозу. Другие факторы риска развития: злоупотребление алкоголем, нарушения крови, аутоиммунные заболевания, такие как волчанка, молодой возраст и т.д. Однако причина нарушения кровотока остается неизвестной для 25% людей с асептическими некрозами [8].
К частым послеоперационным осложнениям (после эндопротезирования сустава) остеонекроза относятся инфекции в области хирургического вмешательства, неисправности протезов и сосудистонервные нарушения [9].
Высокая частота неудач наблюдается, поскольку заболевание продолжает прогрессировать, несмотря на хирургическое вмешательство. Поэтому нашему пациенту с целью снижения риска возможного прогрессирования заболевания даже после оперативного лечения была модифицирована схема иммуносупрессивной терапии, а именно отменен метилпреднизолон, рекомендован полный отказ от алкоголя и табакокурения, рекомендовано избегать повторяющихся действий, вызывающих нагрузку на суставы. Пациент активно наблюдается в нашем центре для оценки его клинического состояния в динамике.
Заключение
Учитывая растущее число трансплантаций в год и долгосрочную выживаемость реципиентов, хирургические вмешательства, не связанные с трансплантатом, у данной когорты больных, не является редким явлением. Следует отметить, что даже плановые хирургические вмешательства у данной категории больных связаны со значительной заболеваемостью и смертностью. Поэтому хирурги, лечащие пациентов с пересаженными органами, должны быть готовы к периоперационным осложнениям и понимать особенности пациентов с денервированным сердцем, находящихся на иммуносупрессивной терапии. Возможно, в конкретной клинической ситуации, длительный прием кортикостероидов у молодого пациента мог привести к остеосклерозу. С целью снижения риска прогрессирования заболевания рекомендовано по возможности проводить минимизацию иммуносупрессии с отменой кортикостероидов через год после трансплантации при условии отсутствия факторов риска криза отторжения.
Литература
Gautier SV, Khomyakov SM. Organ donation and transplantation in the Russian Federation in 2022. 15th Report from the Registry of the Russian Transplant Society. Russian Journal of Transplantology and Artificial Organs. 2023;25(3):8-30. (In Russ.) Готье С. В., Хомяков С. М. Донорство и трансплантация органов в Российской Федерации в 2022 году. XV сообщение регистра Российского трансплантологиче- ского общества. Вестник трансплантологии и искусственных органов. 2023 ;25(3):8- 30
de'Angelis N, Esposito F, Memeo R, et al. Emergency abdominal surgery after solid organ transplantation: a systematic review. World J Emerg Surg. 2016;11(1):43.
Mancuso J, Dalia T, Goyal A, et al. Cytomegalovirus infection in heart transplant patient presenting as appendicitis. J Cardiol Cases. 2023;28(3): 113-5. doi: 10.1016/ j.jccase.2023.04.013.
Cho MJ, Lee J, Hu JY, et al. Cytomegalovirus appendicitis with concurrent bacteremia after chemotherapy for acute leukemia. Korean J Intern Med. 2014;29(5):675-8.
Asleh R, Vucicevic D, Petterson TM, et al. Sirolimus-Based Immunosuppression Is Associated with Decreased Incidence of Post-Transplant Lymphoproliferative Disorder after Heart Transplantation: A Double-Center Study. J Clin Med. 2022;11(2):322. doi:10.3390/jcm11020322.
Shah HA, Faulkes R, Coldham C, et al. Effects of transplantation-related immunosuppression on co-existent neuroendocrine tumours. QJM. 2022;115(10):661-4. doi:10.1093/qjmed/hcac036.
Lespasio MJ, Sodhi N, Mont MA. Osteonecrosis of the Hip: A Primer. Perm J. 2019;23: 18-100.
Weinstein RS. Glucocorticoid-induced osteonecrosis. Endocrine. 2012 Apr;41(2):183-90.
Franceschi F, Franceschetti E, Paciotti M, et al. Surgical management of osteonecrosis of the humeral head: a systematic review. Knee Surg Sports Traumatol Arthrosc. 2017; 25(10):3270-8.
Теги: трансплантация
234567 Начало активности (дата): 25.02.2026
234567 Кем создан (ID): 989
234567 Ключевые слова: трансплантация сердца, иммуносупрессия, эндопротезирование тазобедренного сустава
12354567899
Похожие статьи
Микрохирургическая аутотрансплантация малоберцовой кости как оптимальный метод закрытия обширных костных дефектов у детей с нейрофиброматозомПриказ Министерства здравоохранения Российской Федерации от 31 октября 2012 г. № 567н"Об утверждении Порядка оказания медицинской помощи по профилю "хирургия (трансплантация органов и (или) тканей человека)”
АУТОТРАНСПЛАНТАЦИЯ АНТЕРОЛАТЕРАЛЬНОГО БЕДРЕННОГО ЛОСКУТА — МЕТОД ВЫБОРА В НЕОТЛОЖНОЙ РЕКОНСТРУКТИВНОЙ ХИРУРГИИ НИЖНЕЙ КОНЕЧНОСТИ
Трансплантация аутологичного костного мозга для стимуляции костеобразования при удлинении конечности


