03.03.2026
Хирургическое лечение хронической продольной лучелоктевой диссоциации предплечья (повреждение Эссекс-Лопрести)
Повреждение Эссекс-Лопрести представляет собой перелом головки лучевой кости и разрыв межкостной мембраны предплечья, и приводит к нарушению продольного взаимоотношения лучевой и локтевой костей и возникновению продольной лучелоктевой диссоциации.
ВВЕДЕНИЕ
Повреждение Эссекс-Лопрести, или продольная лучелоктевая диссоциация, характеризуется повреждением головки лучевой кости, межкостной мембраны и дистального лучелоктевого сочленения, причиной повреждения является высокоэнергетическая травма [1]. Повреждение Эссекс-Лопрести встречается довольно редко среди травм опорно-двигательного аппарата, — не более 1 % от всех переломов головки лучевой кости [1, 2], но является одним из наиболее тяжелых повреждений предплечья.
Стабилизация предплечья в норме обеспечивается целостностью костных и мягкотканных стабилизаторов в области локтевого сустава и дистального лучелоктевого сочленения, а также межкостной мембраной между лучевой и локтевой костями. Если повреждения этих структур вовремя не диагностировать, появляются продольная нестабильность предплечья или продольная лучелоктевая диссоциация [1]. Повреждение Эссекс-Лопрести возникает в результате осевой нагрузки на предплечье, вызванной падением на вытянутую руку, при которой механическая сила передается от запястья через кости предплечья к области локтевого сустава [2].
Данное повреждение впервые упомянуто в 1946 г. в работе J.F. Curr и W.A. Coe [3], а в 1951 г. хирург Эссекс-Лопрести описал данную травму, как перелом головки лучевой кости, разрыв межкостной мембраны и треугольного фиброзно-хрящевого комплекса [4, 5]. Однако повреждение Эссекс-Лопрести не всегда диагностируют на начальной стадии в связи с незнанием данной патологии в медицинском сообществе [6], что приводит к неудовлетворительным результатам хирургических вмешательств в 80 % случаев [7].
Цель работы — продемонстрировать и проанализировать результаты первого применения многокомпонентного хирургического лечения пациента с хроническим повреждением Эссекс-Лопрести в сочетании с варусной нестабильностью локтевого сустава.
Для лечения пациентов с повреждениями Эссекс-Лопрести используют ряд оперативных вмешательств, среди которых: эндопротезирование головки лучевой кости [8, 9, 10]; реконструкция межкостной мембраны [11-15]; укорачивающая остеотомия локтевой кости совместно с пластикой дистального лучелоктевого сочленения [16, 17]. Однако в настоящее время не существует стандартизированного подхода к лечению пациентов с данным видом травмы.
МАТЕРИАЛЫ И МЕТОДЫ
В июне 2024 г. в отделение травматологии и ортопедии Волгоградской областной клинической больницы № 1 обратился 26-летний мужчина с жалобами на боль и ограничение движений в левой верхней конечности.
Из анамнеза: в январе 2024 г. травма левого предплечья в результате падения с высоты 2-3 м. Сразу после травмы поступил в травмпункт, где была выполнена рентгенография левого локтевого сустава, выявлен переломовывих головки левой лучевой кости. После наложения гипсовой лонгеты пострадавший направлен в стационарное отделение травматологии и ортопедии. После осмотра специалистами отделения рекомендована консервативная терапия. В течение последующих четырех месяцев пациент обращался к различным специалистам в других клиниках, где ему было рекомендовано лечение, включающее лечебную физкультуру (ЛФК), физиотерапию и удаление головки лучевой кости без каких-либо реконструктивных вмешательств.
При осмотре в отделении у пациента болевой синдром был оценен по визуально-аналоговой шкале (ВАШ), значение составило 5 баллов. Локальный статус левой верхней конечности: сгибание предплечья — 120°, разгибание предплечья — 140°, пронация — 45°, супинация — 50°, разгибание кисти — 45°, сгибание кисти — 20° (рис. 1).
На компьютерной томографии костей обоих предплечий — выявлен оскольчатый консолидированный переломовывих головки левой лучевой кости, вывих головки левой локтевой кости относительно дистального конца левой лучевой кости на 7 мм (ulna «+») (рис. 2).
На основании вышеописанных жалоб, локального статуса и данных рентгенологических исследований впервые поставлен диагноз повреждения Эссекс-Лопрести [3]. Пациенту даны рекомендации о проведении комбинированной операции в объеме протезирования головки лучевой кости, восстановления дистального лучелоктевого сочленения, корригирующей остеотомии локтевой кости и пластики межкостной мембраны. Также разъяснены все возможные последствия, осложнения и получено согласие на оперативное лечение.
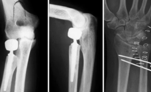
Операция проведена в плановом порядке 11.07.2024. Первым этапом выполнен хирургический доступ по Кохеру к головке лучевой кости. При доступе обнаружено застарелое повреждение локтевой латеральной коллатеральной связки локтевого сустава с дегенеративным изменением волокон. Головка лучевой кости удалена. Установлены примерочные компоненты головки и ножки эндопротеза для компенсации длины потерянной костной ткани. Импактирована цементная ножка протеза с модульной головкой 24-12 мм (ChM, Warsaw, Poland) (рис. 3). Следующим этапом выполнен рентгенологический контроль лучезапястного сустава (рис. 4, а), проведены доступ в нижней трети предплечья, укорачивающая корригирующая остеотомия локтевой кости с фиксацией титановой пластиной АО LCP, пластика дистального лучелоктевого сочленения плетеной нитью FiberWire (Arthrex, Naples, FL, USA) по Адамсу - Бергеру (рис. 4, б) [17, 18]. Дополнительно дистальное лучелоктевое сочленение фиксировано спицей Киршнера.
Затем выполнен доступ к средней трети лучевой кости. Через лучевую и локтевую кости проведены по одной спице Киршнера таким образом, чтобы после формирования отверстий для проведения трансплантата угол относительно длинной оси локтевой кости составил примерно 21°, что соответствует вектору силы центрального пучка межкостной мембраны.
Места выхода спиц из кортикальных слоёв, обращенных к межкостной мембране, располагались на 35 % длины локтевой кости и на 55 % длины лучевой кости от их шиловидных отростков, что соответствует анатомии центральной части межкостной мембраны [11]. Через спицы канюлированным сверлом созданы костные туннели. Установлен искусственный трансплантат с пуговицами TightRope (Arthrex) в нейтральном положении предплечья (рис. 5).

Последний этап — аутопластика локтевой латеральной коллатеральной связки с помощью фрагмента апоневроза трехглавой мышцы плеча с фиксацией титановыми анкерами Corkscrew (Arthrex) к плечевой и локтевой костям (рис. 6). Проведен рентгенологический контроль (рис. 7). После операции наложена гипсовая иммобилизация от верхней трети плеча до головок пястных костей в положении в локтевом суставе 90° и разгибания кисти 15°.

РЕЗУЛЬТАТЫ
Послеоперационный период проходил без осложнений.
На 12-е сутки сняли швы с ран. Через две недели назначили ЛФК локтевого сустава. На шестой неделе удалили спицу Киршнера и начали ЛФК кистевого сустава.
После хирургического вмешательства пациент проходил реабилитацию на протяжении шести месяцев. Контрольные рентгенограммы и компьютерная томография выполнили через полгода с момента операции. На рентгенограммах предплечья отметили срастающийся перелом локтевой кости (рис. 8).
При осмотре выраженность боли составила 1 балл по ВАШ.
По шкале Мейо, описывающей функцию запястья, результат оценен как «хороший» [19]. Отмечено увеличение объема движений в левой руке: сгибание предплечья — 160°, разгибание предплечья — 170°, пронация — 85°, супинация — 75°, разгибание кисти — 65°, сгибание кисти — 45° (рис. 9). Пациент полностью адаптировался к бытовой жизни и вернулся к профессиональной деятельности мастера тентового производства.
ОБСУЖДЕНИЕ
Восстановление стабильности предплечья после повреждения Эссекс-Лопрести является сложной и полностью не решенной задачей, так как на сегодняшний день не существует окончательной стратегии лечения [5]. Невозможно предсказать результат недиагностированной травмы Эссекс-Лопрести в каждом индивидуальном случае, что связанно с редкой встречаемостью, малой осведомлённостью врачами и невыполнением дополнительных методов исследования (компьютерной томографии, рентгенография соседних суставов).
Представленное клиническое наблюдение демонстрирует успешный подход к лечению хронической, ранее не диагностированной травмы Эссекс-Лопрести, развившейся вследствие неадекватной первоначальной тактики.
Ключевым элементом предложенного хирургического подхода является одномоментное выполнение пяти взаимодополняющих друг друга вмешательств:
восстановление конгруэнтности в проксимальном лучелоктевом сочленении, что было достигнуто путем протезирования головки лучевой кости [8-10];
реконструкция межкостной мембраны [11-15];
пластика дистального лучелоктевого сочленения по Адамсу - Бергеру [16,17];остеотомия локтевой кости [16,17];
аутопластика латеральной локтевой коллатеральной связки [20].
Важно отметить, что комбинация всех пяти компонентов в рамках одной операции в доступной литературе ранее не описывалась, что подчеркивает новизну представленного случая.
Одним из ключевых аспектов лечения пациентов с повреждением Эссекс-Лопрести является восстановление межкостной мембраны, поскольку она ответственна за продольную стабильность предплечья. В литературе предлагаются разнообразные методики восстановления межкостной мембраны: одно- или двухпучковая техника с помощью нитей [12], использование аллотрансплантата широкой фасции [13], аутопластика из хамстрингов при невозможности использования аллотранстплантата [14], использование трансплантата сухожилия надколенника по типу BTB (англ.: bone-tendo-bone) [15]. В нашем случае мы использовали искусственный трансплантат с пуговицами TightRope (Arthrex). Важно учитывать сопутствующие повреждения связочных стабилизаторов локтевого сустава, в случае повреждения необходимо их восстановление [20, 21]. В данном клиническом наблюдении пациенту выполнили аутопластику латеральной локтевой коллатеральной связки. Комплексное восстановление всех основных стабилизаторов предплечья предотвращает рецидив нестабильности и является важным фактором, препятствующим развитию посттравматического артроза [22].
Результаты шестимесячного наблюдения показали значительное увеличение объема движения, уменьшение выраженности болевого синдрома и возвращение пациента к повседневной деятельности без значительных ограничений в работе и быту, что подтверждает эффективность примененного комплексного подхода.
Несмотря на ограничения, связанные с форматом единичного наблюдения, полученные результаты обнадеживают и указывают на потенциальную ценность данного комплексного подхода к лечению пациентов в подобных сложных случаях. В свою очередь операционная бригада должна быть готовой к возможному расширению оперативного вмешательства для реконструкции наибольшего количества стабилизаторов предплечья.
ЗАКЛЮЧЕНИЕ
Настоящее клиническое наблюдение впервые демонстрирует возможность и эффективность одномоментного многокомпонентного хирургического вмешательства при лечении пациента с хроническим повреждением Эссекс-Лопрести. Уникальность подхода заключается в синергичном сочетании протезирования головки лучевой кости, реконструкции межкостной мембраны искусственным трансплантатом, пластики дистального лучелоктевого сочленения по Адамсу - Бергеру, остеотомии локтевой кости и аутопластики локтевой латеральной коллатеральной связки.
Примененная тактика привела к значительному функциональному улучшению у конкретного пациента, обеспечив стабильность предплечья и купирование болевого синдрома.
СПИСОК ИСТОЧНИКОВ
Ратьев А.П., Егиазарян К.А., Жаворонков Е.А., Масленникова А.А. Оперативное лечение повреждений Эссекс-Лопрести. Хирургическая практика. 2014;(1):89-93.
Wegmann K, Dargel J, Burkhart Kj, et al. The Essex-Lopresti lesion. Strategies Trauma Limb Reconstr. 2012;7(3):131-139. doi: 10.1007/ S11751-012-0149-0.
Curr JF, Coe WA. Dislocation of the inferior radio-ulnar joint. Br J Surg. 1946;34:74-77. doi: 10.1002/bjs.18003413312.
Essex-Lopresti P. Fractures of the radial head with distal radio-ulnar dislocation; report of two cases. J Bone Joint Surg Br. 1951;33B(2):244-247.
Dodds SD, Yeh PC, Slade JF 3rd. Essex-lopresti injuries. Hand Clin. 2008;24(1):125-137. doi: 10.1016/j.hcl.2007.11.009.
Artiaco S, Fusini F, Colzani G, Masse A, Battiston B. Chronic Essex-Lopresti injury: a systematic review of current treatment options. Int Orthop. 2019;43(6):1413-1420. doi: 10.1007/s00264-018-3888-9.
Ruch DS, Chang DS, Koman LA. Reconstruction of longitudinal stability of the forearm after disruption of interosseous ligament and radial head excision (Essex-Lopresti lesion). J South Orthop Assoc. 1999;8(1):47-52.
Jungbluth P, Frangen TM, Arens S, et al. The undiagnosed Essex-Lopresti injury. J Bone Joint Surg Br. 2006;88(12):1629-1633. doi: 10.1302/0301-620X.88B12.17780.
Barret H, Favard L, Mansat P, et al. Results of radial head prostheses implanted during Essex-Lopresti syndrome in multicentric study. Int Orthop. 2021;45(6):1549-1557. doi: 10.1007/s00264-021-04987-6.
Heifner jJ, Gray RrL. The Essex-Lopresti Injury. J Orthop Trauma. 2024;38(9S):S11-S14. doi: 10.1097/B0T.0000000000002857.
Gaspar MP, Kane PM, Pflug EM, Jacoby SM, Osterman AL, Culp RW. Interosseous membrane reconstruction with a suture-button construct for treatment of chronic forearm instability. J Shoulder Elbow Surg. 2016;25(9):1491-1500.
Hackl M, Andermahr J, Staat M, et al. Suture button reconstruction of the central band of the interosseous membrane in Essex-Lopresti lesions: a comparative biomechanical investigation. J Hand Surg Eur Vol. 2017;42(4):370-376.
Bigazzi P, Marenghi L, Biondi M, et al. Surgical Treatment of Chronic Essex-Lopresti Lesion: Interosseous Membrane Reconstruction and Radial Head Prosthesis. Tech Hand Up Extrem Surg. 2017;21(1):2-7.
Miller AJ, Naik TU, Seigerman DA, Ilyas AM. Anatomic Interosseus Membrane Reconstruction Utilizing the Biceps Button and Screw Tenodesis for Essex-Lopresti Injuries. Tech Hand Up Extrem Surg. 2016;20(1):6-13.
Rubin TA, Gluck MJ, Hausman MR. A Novel Algorithmic Approach to Chronic Forearm Longitudinal Instability. Tech Hand Up Extrem Surg. 2018;22(3):81-88. doi: 10.1097/BTH.0000000000000195.
Trousdale RT, Amadio PC, Cooney WP, Morrey BF. Radio-ulnar dissociation. A review of twenty cases. J Bone Joint Surg Am. 1992;74(10):1486-1497.
Gillis JA, Soreide E, Khouri JS, et al. Outcomes of the Adams-Berger Ligament Reconstruction for the Distal Radioulnar Joint Instability in 95 Consecutive Cases. J Wrist Surg. 2019;8(4):268-275. doi: 10.1055/s-0039-1685235.
Masouros PT, Apergis EP, Babis GC, et al. Essex-Lopresti injuries: an update. EFORT Open Rev. 2019;4(4):143-150. doi: 10.1302/2058- 5241.4.180072.
Yu H, Wang T, Wang Y, Zhu Y. Ulnar shortening osteotomy vs. wafer resection for ulnar impaction syndrome: A systematic review and meta-analysis. Int J Surg. 2022;104:106725. doi: 10.1016/j.ijsu.2022.106725.
Данилов М.А., Ершов Д.С., Лядова М.В. и др. Лечение простой хронической нестабильности локтевого сустава. Хирургическая практика. 2022;(1):14-21. doi: 10.38181/2223-2427-2022-1-14-21.
Егиазарян К.А., Ратьев А. П., Лазишвили Г.Д. и др. Локтевой сустав. Учебное пособие. М.: Медицинское информационное агентство; 2019:464.
Ратьев А.П., Егиазарян К.А., Жаворонков Е.А., Мельников В.С. Лечение остеоартроза локтевого сустава. Вопросы реконструктивной и пластической хирургии. 2014;(2):50-60.
Информация об авторах:
Карен Альбертович Егиазарян — доктор медицинских наук, профессор, заведующий кафедрой, врач — травматолог-ортопед, директор Университетской клиники травматологии и ортопедии,
Андрей Петрович Ратьев — доктор медицинских наук, доцент, профессор кафедры, врач — травматолог-ортопед
Сергей Николаевич Бирюков — кандидат медицинских наук, ассистент кафедры, врач — травматолог-ортопед
Владимир Валерьевич Баранов — ассистент кафедры, врач — травматолог-ортопед
Никита Сергеевич Ершов — ассистент кафедры, врач — травматолог-ортопед
Даниил Сергеевич Власов — аспирант, врач ЛФК и спортивной медицины, физиотерапевт
Карим Канаматович Батчаев — ординатор
Теги: локтевой состав
234567 Начало активности (дата): 03.03.2026
234567 Кем создан (ID): 989
234567 Ключевые слова: нестабильность локтевого сустава, нестабильность предплечья, лучелоктевая диссоциация, пластика межкостной мембраны предплечья, пластика дистального лучелоктевого сочленения, корригирующая остеотомия, повреждение Эссекс-Лопрести
12354567899
Похожие статьи
Жалобы на боль в плечеРентген на дому 8 495 22 555 6 8
Травмы плечевого пояса и верхней конечности
Локтевой сустав в костно-суставной системе детей
Ушиб пальца руки


