06.04.2026
Клинический случай синдрома Миллса
Введение
Синдром Миллса (СМ) - нейродегенеративное заболевание, основным клиническим проявлением которого является прогрессирующий центральный гемипарез без нарушений в сенсорной сфере - [1]. Автор описания синдрома - Чарлз Миллс (1900г.) впервые представил его, как отдельную нозологическую форму восходящего спастического гемипареза - [2], однако позже были описаны еще семь клинических случаев, в одном из которых симптоматика дебютировала с верхней конечности. До настоящего времени не сформировалось единое мнение по поводу нозологической принадлежности СМ. В последние годы, в связи с описанием все новых, «промежуточных» клинических форм нейродегенеративных заболеваний - [3], развитием нейрофизиологических, молекулярно-генетических и нейровизуализационных методов диагностики - [4, 5], СМ все чаще рассматривают как атипичный гемиплегический вариант болезни двигательного нейрона, особую форму первичного бокового склероза, характеризующийся прогрессирующей спастической гемиплегией при интактности лицевой и бульбарной мускулатуры - [6, 7, 8]. В связи с этим, частота СМ достоверно неизвестна. В зарубежной и отечественной литературе описаны лишь немногочисленные случаи этого синдрома - [9, 10, 11].
Чаще заболевание дебютирует после 40 лет. Гендерных различий встречаемости не отмечается. Этиологические факторы развития СМ не известны.
Клиническая особенность СМ — это наличие спастичности и доминирование ее над парезом, причем с длительной сохранностью брюшных рефлексов.
Распространение гемисимптоматики может происходить как в восходящем, так и, в единичных случаях, в нисходящем направлении. Динамику клинических симптомов определяет первичная локализация поражения отдельных мышечных групп, согласно соматотопической проекции в прецентральной извилине.
Нарушений чувствительности, дисфункции тазовых органов, когнитивных расстройств, бульбарного синдрома в клинической картине не наблюдается.
Клинических рекомендаций по диагностике и лечению СМ в настоящее время не разработано. На сегодняшний день лабораторные маркеры этой патологии неизвестны, поэтому диагностика СМ основывается на анализе клинической картины и характера прогрессирования заболевания. Применяемые нейровизуализационные методы (компьютерная томография, магнитно-резонансная томография, магнитно-резонансная трактография) лишь подтверждают диагноз. Выявляется асимметричный локальный атрофический процесс, который затрагивает моторную кору и/или пирамидный путь (рис.1, 2, 3).
В 2019 г Jaiser SR и соавт. разработали и представили диагностические (основные, поддерживающие, исключающие) критерии СМ, основным из которых является прогрессирующий восходящий гемипарез в течение четырех и более лет.
Представляем собственный клинический случай пациентки с синдромом Миллса.
Клинический случай. Пациентка, 40 лет, поступила в неврологическое отделение НИИ-ККБ№1 им. профессора С.В. Очаповского в октябре 2023 г. с жалобами на слабость и скованность в левых конечностях.Первые признаки заболевания появились в 36 лет, когда стала отмечать возникшую и постепенно нарастающую неловкость и скованность в левой руке. Выявленные при МРТ головного мозга изменения в правом полушарии были расценены как постишемические. Повторная курсовая нейрометаболическая терапия не оказывала положительного эффекта. В течение последующих лет на фоне прогрессирования спастичности и слабости в левой руке, присоединилась скованность и неловкость в левой ноге. Стала испытывать трудности при ходьбе, выполнении бытовой работы.
МРТ-исследование головного мозга, выполненное в динамике в 2023 году, вновь выявило структурные изменения в правом полушарии головного мозга неясного генеза. Не исключалась церебральная пролиферативная ангиопатия. МРТ шейного отдела спинного мозга патологии не выявила.
Пациентка продолжала наблюдаться неврологом по месту жительства с диагнозом: "Энцефалопатия неуточненная со структурными изменениями в правом полушарии головного мозга неясного генеза (по данным МРТ).
Левосторонний спастический гемипарез". Назначение миорелаксантов, ботулинотерапия ожидаемого эффекта не оказали. Неоднократно проведенные на догоспитальном этапе за период болезни лабораторные исследования общеклинических, биохимических показателей крови и мочи в пределах референсных значений. Анализ крови на АТ-GAD, АТ к нейрональным рецепторам и синаптическим белкам, антинейрональная панель, полиморфизм в генах протромбина, фактор Лейдена, фолатный цикл патологии не выявили.
Соматические заболевания, травмы, оперативные вмешательства пациентка отрицала. Наследственный анамнез не отягощен.
Объективно при поступлении: общее состояние удовлетворительное. Рост 164 см. Вес: 64 кг. ИМТ 23,8 (нормо-стеническое телосложение). АД 125/70 мм.рт.ст., ЧСС 70 уд./мин, ЧДД 17 в мин., Т - 36,6 С. Сердечно-сосудистая, дыхательная, пищеварительная и мочевыделительная системы без отклонений.
В неврологическом статусе: в сознании, ориентирована в месте, времени, собственной личности правильно. MoCa тест = 29 баллов из 30. Менингеальных знаков нет. Инструкции понимает, выполняет правильно. Речь не нарушена. Праксис, гнозис не нарушены. Глазные щели S=D. Зрачки круглые D=S, d=3 мм., прямая и содружественная реакция зрачков на свет живая, равная. Движения глазных яблок в полном объёме. Нистагма нет. Лицо симметричное. Слух, глотание и фонация не нарушены. Глоточный и небный рефлексы сохранены. Девиации языка нет. Рефлексы орального автоматизма слабоположительные.
Походка гемипаретическая. Активные движения ограничены в левых конечностях. Мышечный тонус в них повышен по спастическому типу. Легкая гипотрофия мышц предплечья и плеча слева. Мышечная сила по шкале MRC (Medical Research Council Weakness Scale) в левой верхней конечности 4 балла, в левой нижней конечности проксимально 5 баллов, дистально 4 балла, в правых конечностях 5 баллов. Фасцикуляций в мышцах конечностей и языка не выявлено. Глубокие рефлексы S>D, оживлены, в левых конечностях вызываются с расширенных рефлексогенных зон. Патологические кистевые и стопные знаки слева. Все виды чувствительности сохранены. Расстройств в координаторной сфере не выявлено. Функции тазовых органов не нарушены. По результатам лабораторных исследований показатели функции печени и почек в норме, электролитных нарушений не выявлено, данные о системной воспалительной реакции отсутствуют. Волчаночный антикоагулянт не обнаружен, система гемостаза в норме. КСР крови - ИФА, РМП отрицательно, ИФА -ВИЧ: АГ/AT ВИЧ не обнаружено.
По данным клинического анализа спинномозговой жидкости (СМЖ) - цитоз 5,00*106 /л, содержание белка - 0,47 г/л. ПЦР СМЖ Mycobacteruim tuberculosis, Candida albicans, Herpes simplex virus 1,2 типов, Cytomegalovirus, Epstein-Barr virus, Varicella Zoster virus отрицательный. Олигоклональные АТ не обнаружены.
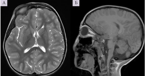
По данным проведения МРТ (рис.4,5) головного мозга в правой лобно-подкорковой области, теле мозолистого тела определяется зона умеренно повышенного сигнала на FLAIR, изо-, гипоинтенсивного сигнала на Т1-ВИ, к которой слегка подтянут правый боковой желудочек (кистозно-глиозные изменения). Очагов патологического контрастирования не выявлено. МР-картина изменений головного мозга соответствует нейродегенеративному процессу.
По результатам проведения МРТ шейного отдела спинного мозга: спинной мозг обычной ширины, контуры его ровные, патологических изменений сигнала от его паренхимы нет.По данным электронейромиографии (ЭНМГ) убедительных данных за нейрональный процесс не получено.
К сожалению, результаты проведенного ранее МРТ - исследования, пациентка для динамики не предоставила.
Обсуждение
Таким образом, анализируя оригинальный клинический случай, следует подчеркнуть, что описанные симптомы соответствуют основным признакам синдрома Миллса: медленно прогрессирующий спастический гемипарез, начавшийся со слабости в левой верхней конечности с распространением на ипсилатеральную нижнюю конечность, без нарушения когнитивных, чувствительных и тазовых функций. При этом у наблюдаемой пациентки спастическое повышение мышечного тонуса в левых конечностях преобладало над выраженностью пареза, сопровождалось сохранением брюшных рефлексов в сочетании с легкой гипотрофией мышц предплечья и плеча левой руки с отсутствием фасцикуляций.
На данном диагностическом этапе были исключены заболевания, входящие в «дифференциально-диагностический круг» синдрома Миллса: классическая форма бокового амиотрофического склероза, односторонний РС, менинговаскулярный нейросифилис, диффузные болезни соединительной ткани и др. Поскольку при первичном обращении пациентки МРТ изменения расценены, как постишемические, уже на догоспитальном этапе был проведен объем обследований в рамках программы «Инсульт в молодом возрасте».
В дальнейшем, учитывая постепенное распространение пареза в нисходящем направлении, необходимо было также исключать объемный процесс головного мозга, а поскольку не наблюдалось вовлечения черепной иннервации - то и объемный процесс спинного мозга. Что и было выполнено при повторных МРТ - исследованиях.
По данным МРТ головного мозга, выявленный асимметричный патологический процесс, локализованный преимущественно в правой лобно-подкорковой области и теле мозолистого тела, расценен как нейродегенеративный. Интересно, что при описании изменений в мозолистом теле, характерных клинических симптомов выявлено не было.
Исключительно односторонняя пирамидная моносимптоматика с постепенным распространением «по-вертикали», проведенная дифференциальная диагностика, указывали нам на синдром Миллса.
В нашем случае у пациентки, по данным МРТ, отсутствовали изменения в спинном мозге, транскраниальная магнитная стимуляция не проводилась, что не соответствует ранее разработанным поддерживающим параклиническим критериям.
Однако, следует отметить, что по мере описания новых клинических случаев заболевания, становится очевидным, что указанные критерии должны уточняться и пересматриваться. В частности, рядом авторов ранее уже обсуждалась сомнительная диагностическая ценность данных параклинических критериев [1].
Представленный в данной работе клиническии случаи интересен ранним возрастом дебюта и атипичным течением заболевания в виде нисходящего варианта распространения спастического пареза.
Тем не менее, ввиду "пограничной" длительности заболевания (4 года), согласно временным диагностическим критериям [8], короткого катамнеза, необходимо дальнейшее наблюдение за динамикой клинической картины с проведением электрофизиологических и радиологических методов исследования.
Заключение
Синдром Миллса - редкая и недостаточно изученная до настоящего времени проблема, диагностический алгоритм которой продолжает обсуждаться. В связи с этим, следует уделять особое внимание каждому новому описанию данного синдрома. Надеемся, что представленный клинический случай поможет в разработке или уточнении диагностических критериев и методов лечения.
Список литературы:
Пономарев В.В. Синдром Миллса: описание наблюдения и обзор литературы. //Неврологический журнал. 2013; 1: 23-29.
Mills C.K. A case of unilateral progressive ascendening paralysis probably presenting a new form of degenerative disease //J. Nerv. Ment. Dis.-1900.-Vol.27.-P.195-200.
Ekmekci Hakan, Ozturk Serefnur, Demir Aysegul. Mills' Syndrome - A Clinical Variant -Case Report. //Journal of Neurological Sciences. 2013, 30. 210-218.
Porto F.H., Coutinho A.M., Lucato L.T., Buchpiguel C.A., Nitrini R. Teaching NeuroImages: Mills syndrome: Metabolic and structural neuroimaging aids to the diagnostic. //Neurology. 2016 Aug 2; 87(5): e54. doi: 10.1212/WNL.0000000000002921.
Huynh W., Tu S., Mahoney C.J., Schwartz R., Kiernan M.C. Mills Syndrome: Clinical and Radiologic Asymmetry. //Neurology. 2021 Apr 6; 96(14): 677-678. doi: 10.1212/WNL.0000000000011710.
Бакулин И.С., Закройщикова И.В., Супонева Н.А. и др. Боковой амиотрофический склероз: гетерогенность и подходы к классификации. //Нервно-мышечные болезни. 2017; 7(3): 10-20.
Gastaut J.L., Bartolomei F. Mills,syndrome: ascending (or descending) progressive hemiplegia: a hemiplegic form of primary lateral sclerosis? //J. Neurol. Neurosurg. Psychiatry 1994; 57(10): 1280-1281.
Jaiser S.R., Mitra D., Williams T.L., Baker M.R. Mills, syndrome revisited. //J. Neurol. 2019; 266(3): 667-669.
Тургунхужаев О.Э., Купрейчик В.Л., Бранд П.Я. Брил Е.В. и др. Синдром Миллса. //Журнал неврологии и психиатрии им. С.С. Корсакова. 2022; 122(10): 138-142.
Хабиров Ф.А., Кухнина Т.М., Сюськова А.Р. Синдром Миллса - редкий пирамидный синдром. //Вертеброневрология 2004; 11(1-2): 126-129.
Гулябин К.Р. Синдром Миллса. Клинический случай редкой дегенеративной патологии центральной нервной системы. //Справочник врача общей практики. 2020; 4.
Автор:
Барабанова Марианна Анатольевна - доктор медицинских наук, профессор кафедры неврологии и нейрохирургии ГБОУ ВПО Кубанского государственного медицинского университета, врач высшей категории, заведующая неврологическим отделением, НИИ - ККБ №1, город Краснодар. Российская Федерация.
Стоянова Ольга Викторовна - ассистент кафедры ФГБОУ ВО Кубанский государственный медицинский университет Минздрава России, 350016, город Краснодар. Российская Федерация.
Петропавловская Татьяна Александровна - кандидат медицинских наук, доцент кафедры неврологии и нейрохирургии ГБОУВПО Кубанский государственный медицинский университет Минздрава России, врач высшей категории. город Краснодар. Российская Федерация
Новрадов Одиссей Русланович - студент 4 курса, лечебного факультета Кубанский государственный медицинский университет Минздрава России, Краснодар. город Краснодар. Российская Федерация
Бондаренко Ангелина Игоревна - врач-невролог, НИИ - Краснодарская клиническая больница №1, город Краснодар. Российская Федерация
Теги: синдром Миллса
234567 Описание для анонса:
234567 Начало активности (дата): 06.04.2026
234567 Кем создан (ID): 989
234567 Ключевые слова: синдром Миллса, прогрессирующий гемипарез, диагностика
12354567899
Похожие статьи
Компьютерная томография в диагностике поражения легких и внутригрудных лимфатических узлов при лимфомахРентген на дому 8 495 22 555 6 8
Шаблоны протоколов описаний «Рентгенология» компьютерная томография
Компьютерная томография и магнитно-резонансная томография в диагностике острого нарушения мозгового кровообращения у детей
Компьютерная томография высокого разрешения в диагностике хронической обструктивной болезни легких


