11.04.2026
Нейрофиброма легких
Новообразования легких были выявлены при плановой флюорографии и верифицированы при морфологическом исследовании операционного материала
Доброкачественные опухоли легких представляют собой обширную группу новообразований. Среди них выделяют эпителиальные, мезенхимные (соединительнотканные, мышечные, сосудистые, мезотелиальные и др.), неврогенные опухоли, гамартомы и тератомы. Доброкачественные опухоли легких встречаются гораздо реже, чем рак, и составляют около 7-10% всех первичных новообразований легких. Чаще всего они наблюдаются у лиц в возрасте до 50 лет. С учетом локализации все доброкачественные опухоли легких классифицируют на центральные и периферические. К центральным относятся опухоли, исходящие из главных, долевых и сегментарных бронхов [1, 2, 3].
Среди всех доброкачественных опухолей легких наиболее часто (в 60-65%) встречаются аденомы.
Неврогенные опухоли выявляются редко, составляя около 2% от всех случаев доброкачественных новообразований легких.
Они могут развиваться из оболочек нервов (невринома, нейрофиброма), из элементов вегетативной нервной системы (ганглионеврома, хемодектома). Неврогенные опухоли могут встречаться в любом возрасте, одинаково часто как в правом, так и в левом легком. Растут неврогенные опухоли обычно медленно, длительно могут не давать никаких симптомов и в редких случаях могут достигать больших размеров. Макроскопически они представляют собой округлые плотные инкапсулированные узлы серовато-желтого цвета на разрезе. В большинстве случаев опухоль имеет периферическое расположение. Центральные опухоли с эндобронхиальной локализацией представляют большую редкость. Невриномы и нейрофибромы иногда наблюдаются одновременно в обоих легких. Множественные нейрофибромы легких могут быть проявлением нейрофиб- роматоза - болезни Реклингаузена [1, 3].
В 2012 году в отделении торакальной хирургии УЗ "Гродненская областная клиническая больница" было прооперировано 2 больных по поводу нейрофибромы легких.
Приводим описание этих наблюдений. Оба пациента поступили в отделение торакальной хирургии для дообследования и лечения в связи с тем, что при плановой флюорографии было выявлено узловатое образование в легком.
При поступлении в стационар больные жалоб не предъявляли.
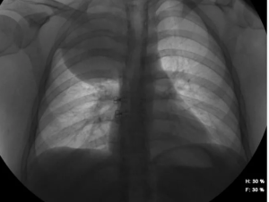
Установлено, что у больной Б-н, 47 лет, предыдущее рентгенологическое обследование органов грудной клетки проводилось 3 года тому назад и патологии со стороны легких не отмечалось. В торакальном отделении ей проведена рентгенография легких и установлено, что в 10 сегменте левого легкого определяется округлой формы тень, средней степени интенсивности, с нечеткими контурами, размером 3,6х3,3см. Корни и средостение не расширены.
Другие легочные поля обычные. Дважды была проведена бронхоскопия и установлено, что левый нижний долевой бронх сужен опухолевидным образованием, содержит слизь, слизистая оболочка сохранена. МСКТ грудной клетки: в нижней доле левого легкого определяется округлое образование 35х32 мм, не отграниченное от корня; 8 и 9 сегментарные бронхи сужены (рис.1). Заключение: КТ -картина рака нижней доли левого легкого. Цитологическое исследование бронхоальвеолярного смыва: слизь, группы клеток призматического эпителия; раковые клетки не выявлены; общее количество клеток в смыве 0,05х10х6/л: лимфоциты - 4%, нейтрофилы - 74%, альвеолярные макрофаги - 22%.
Выделена микрофлора: Rhodotornla mucilaginosa и Kocuria rosea - 103 микробных тел. Анализ мочи, общий и биохимический анализы крови - без особенностей. На 13 день после госпитализации осуществлена торакотомия и нижняя левосторонняя лобэктомия с лимфодиссекцией. Послеоперационный период протекал без осложнений и больная выписана через 13 суток в удовлетворительном состоянии.
Больной Б-ш, 29 лет, флюорографическое обследование органов грудной клетки проходил год тому назад - патологии со стороны легких не выявлено. В стационаре больному были проведена рентгенография легких, МСКТ грудной клетки и бронхоскопия. Установлено, что в первом сегменте правого легкого имеется опухолевидное образование размером 1,4 х 1,3 см. Цитологическое исследование промывных вод бронхов: в мазках содержатся эритроциты, небольшие группы клеток призматического эпителия, макрофаги, обилие мелких относительно мономорфных клеток "неэпителиального" генеза, местами дистрофически измененных. Анализ мочи, общий и биохимический анализы крови, ЭКГ, УЗИ органов брюшной полости и почек - без особенностей.
Больному произведена видео-ассистированная торакоскопия и резекция первого сегмента правого легкого с опухолью. Послеоперационный период протекал без осложнений и больной выписан через 8 суток в удовлетворительном состоянии.
Случай из практики
Патогистологическое исследование операционного материала. Установлено, что в обоих случаях опухоль имела однотипное строение и локализовалась в стенке бронха и перибронхиально. При микроскопическом исследовании гистологических срезов, окрашенных гематоксилином и эозином, а также пикрофуксином по Ван- Гизону, выявлено, что опухоль состоит из волнообразно или лентовидно расположенных пучков соединительнотканных волокон, которые окрасились пикрофуксином в красный цвет. Местами волокна образуют "вихревые" структуры. Между волокнами располагается большое количество клеток вытянутой формы с овальными бледно окрашивающимися ядрами. Клеточный атипизм в опухоли не выявлен. Опухоль в просвет бронха не прорастает, а сдавливает бронх и вызывает компрессионный ателектаз легочной ткани (рис. 2). Тяжи и пучки клеток опухоли местами формируют ритмичные или палисадные структуры, а также тельца Верокаи (рис. 3), что характерно для опухолей нейрогенного происхождения.
С целью верификации диагноза было проведено ИГХ- исследование. Изучена экспрессия гладкомышечного актина (маркера цитоплазматического актина клеток гладкомышечной дифференцировки), десмина (маркера белка промежуточных филаментов цитоскелета клеток мышечного происхождения), CD117 (маркера тирозин-ки- назного трансмембранного рецептора стволовых и тучных клеток, маркера фактора роста стволовых клеток) и S-100 (маркера низкомолекулярного кальций-связывающего белка клеток, характерного для нейрогенных опухолей). В результате исследования установлено, что имеет место положительная реакция с антителами к S-100 (рис. 4) и отрицательная - к CD 117, десмину и гладкомышечному актину (рис. 5), что в совокупности типично для нейрогенной опухоли и позволяет исключить мезенхимальное происхождение новообразования.
С учетом патогистологических и ИГХ данных выставлен диагноз: нейрофиброма легкого.
Таким образом, нейрофиброма легких может быть выявлена в ранней стадии болезни при флюорографии, рентгеноскопии или рентгенографии. В вышеописанных случаях опухоль была выявлена при флюорографии в стадии начальной клинической симптоматики в виде частичного бронхиального стеноза. Детальная оценка структуры опухоли возможна при компьютерной томографии. Она позволяет достаточно надежно проводить дифференциальную диагностику доброкачественных опухолей легких с раком, метастазами рака, туберкуле- мой и др. [2]. При центральной локализации опухоли важным методом диагностики является бронхоскопия. При ее выполнении проводится биопсия, позволяющая уточнить характер патологического процесса, а в случае выявления опухоли - ее гистогенез, клинико-морфологические особенности и степень злокачественности.
Литература
Патологоанатомическая диагностика опухолей человека: Руководство в 2 томах. Т.2 / Под ред. Н.А.Краевского, А.В.Смоль- янникова, Д.С.Саркисова. - 4- е изд., перераб. и доп. - М.: Медицина, 1993. - 688 с.
Хоружик, С.А. Компьютер-ассистированная диагностика узловых образований в легких / С.А.Хоружик, Е.В.Богушевич, М.В.Спринджук, Э.В.Снежко, В.А.Ковалев, А.В.Тузиков // Вопросы онкологии. - 2011. - Т. 57. - №1. - С. 25 - 35
Diagnostic histopathology of tumors / Edited by Christofer D. M. Fletcher. - Second edition. - Edinburg, 2000. - 930 p.
Авторы:
Прокопчик Н.И.- " Гродненский государственный медицинский университет", Гродно, Беларусь
Сушко А.А. - " Гродненская областная клиническая больница", Гродно, Беларусь
Шока,А.И , Жигулич С.П. - "Гродненское областное патологоанатомическое бюро", Гродно, Беларусь
Теги: легкие
234567 Начало активности (дата): 11.04.2026
234567 Кем создан (ID): 989
234567 Ключевые слова: нейрофиброма, легкие
12354567899
Похожие статьи
КТ 12.05.2023Рентген на дому 8 495 22 555 6 8
Как ксенон помогает увидеть легкие
Почему родился рентген на дому?
Примерные эффективные дозы облучения при рентгене.


