Пациента с онкологией полгода лечили от пневмонии

Пациента с онкологией полгода лечили от пневмонии
Неправильный диагноз привел к тому, что пациента с онкологическим заболеванием долгое время лечили от пневмонии.
ОТ АВТОРА: о тяжелобольном Илдусе Зайногабдинове я узнала из соцсети «ВКонтакте», где отец тяжелобольного 39-летнего сына жаловался на сложную ситуацию. 27 сентября я связалась с папой Илдуса и узнала о том, что с ним произошло.
Когда я позвонила Тагиру Зайногабдинову, он только приехал из областного центра и был очень уставшим. Ему 63 года, но он продолжает работать, поскольку помочь его больному сыну больше некому. Он попросил набрать его номер попозже, потому что собирался выгонять скотину в поле. Через пару часов мы обо всем поговорили, а фотографии и справки он прислал в редакцию по почте.
- Мы обычная сельская семья. Живем в селе Зеркло Шарлыкского района с 1982 года. До этого времени жили в селе Мустафино, а потом меня направили работать сюда, и так мы здесь и остались. Построили дом, вырастили с супругой сына Илдуса и дочь Лилию, - дружелюбно начал рассказывать мой собеседник. – Все было хорошо, вели хозяйство, выращивали овощи.
Ильдус отучился десять классов в местной школе, после чего поступил в аграрный университет на ветеринара. Поначалу он успешно трудился, но потом в клинике начались финансовые проблемы и штат распустили.
- Ильдус не отчаялся, когда остался без работы, а вернулся в село и продолжил работать со скотиной, составлять график прививок, – продолжил Тагир Оксанович. – Здесь он познакомился со своей будущей сожительницей, Инной.
Детей у Илдуса нет, хотя он всегда хотел стать отцом. По какой именно причине мужчина не обзавелся малышом, его отец точно не знает.
- Первое время Инна была заботливой и понимающей. Вежливо к нам относилась, но полгода спустя непонятно что с ней произошло. Илдус часто жаловался мне, как его любимая куда-то убегает по вечерам, а дома при этом нечего покушать. Уставший сын приходил домой и заваривал себе лапшу быстрого приготовления, зато зарплату Инна требовала отдавать ей полностью и вовремя, - вспомнил собеседник.
Спустя какое-то время Илдус стал подозревать, что сожительница завела любовника. Как-то он пришел с работы раньше времени и, зайдя во двор, услышал голос Инны. Женщина громко разговаривала по телефону с молодым человеком с соседней улицы.
- Угораздило ее сойтись с каким-то пацаном. Он моложе ее лет на пять, - вздохнул Тагир. – Сын пытался закрыть на это глаза и просил Инну прекратить встречаться с Мироном, но она как с ума сошла. По дому вообще перестала что-либо делать. В общем, терпел-терпел Илдус все это безобразие, а потом ушел от нее.
Парень стал снова жить с родителями. Помогал им по хозяйству. Со здоровьем у Илдуса все было в порядке. Нам он ни на что не жаловался, был веселым и жизнерадостным, старался быть в форме.
Однако в марте 2016 года Илдус занемог. Температура повысилась до сорока, стали мучить приступы сухого кашля.
- Работу и дом он забросил, - вспомнил собеседник. – Мы вместе с супругой пытались помочь ему народными средствами и разными лекарствами, думали, может, простыл, но состояние не улучшалось.
Вскоре родным пришлось обратиться в районную больницу. Илдус уже так закашливался, что задыхался. Участковый врач сначала заподозрила астму, а потом решила, что у Илдуса все-таки пневмония.
- Нам выписали препараты и предложили лечь в больницу, но мы отказались в надежде на то, что после курса медикаментов станет лучше, - рассказывает пенсионер. – Лучше, конечно, не стало. За ночь случалось до десяти приступов, и мы вызвали «скорую».
Медики единогласно решили, что Илдуса следует срочно отправлять в областную больницу. Отец довез сына туда сам, но попасть на прием сразу не вышло.
- Мы бились то в одну дверь, то в другую, но нас везде отправляли в лабораторию для сдачи анализов. Без их результатов Илдусу отказывали в коечном режиме, - пожаловался собеседник.
Очередь в лабораторию оказалась слишком длинной. Ждать своего времени для Илдуса было невыносимо. Его отец рассказал, что сын тогда был похож на живого мертвеца, похудел на 20 килограммов и едва не падал в обморок, поскольку не мог нормально питаться из-за кашля.
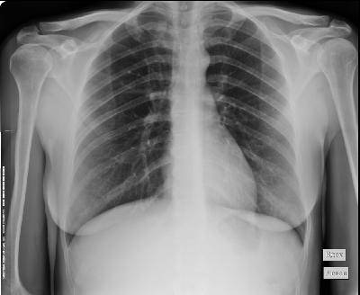
- Деваться было некуда. За быструю сдачу и результаты анализов пришлось заплатить приличную сумму. А когда принесли терапевту заключение, она поморщилась и сразу же отправила нас на рентген, - вздыхая, вспомнил Тагир Оксанович. – Снимок показал затемнение в легких, и поэтому терапевт подтвердила поставленный нам в районной больнице диагноз – пневмония.
Илдуса 8 июля 2016 года поместили в палату, стали снова лечить пневмонию, только теперь ежедневными уколами, капельницами и строжайшим режимом.
Пациент беспрекословно соблюдал все назначения. К тому же ему придавало силы то, что Инна спустя несколько лет все-таки вернулась к нему и попросила прощения.
Конечно, Илдус простил ее. Ведь он до сих пор не мог забыть ее и часто хотел позвонить ей сам, но был тяжко болен и стеснялся сделать первый шаг.
Ирина навещала и навещает его и морально поддерживает в этой ситуации.
Но лечение, увы, не помогало. Приступы не прекращались, а напротив, стали мучить все чаще и чаще.
- Как-то я приехал к Илдусу, а он совсем отчаявшийся был, чуть не плакал и руками разводил, - вспомнил собеседник. – Жалко его стало, думал, все, потеряю сына! Успокоил его немного, а сам поехал в Зеркло. Весь в слезах приехал, стал супруге рассказывать, что Илдус совсем плохой.
Лечение оплачивал и продолжает оплачивать только Тагир Оксанович. Пенсия у него небольшая, но он продолжает держать скот и занимается продажей молока.
- Столько денег ушло на лечение, а все будто впустую, - чуть не плача, пожаловался Тагир Оксанович. – Утратив всякую надежду, Илдус распил прямо в палате с приятелем бутылку водки, за что был сразу же выгнан.
Тяжелобольной не знал, куда ему идти. Ехать снова в село в таком состоянии он не мог, да и боялся остаться без какой-либо медицинской помощи. Благо, в Оренбурге живет его сестра, которая и приютила брата на несколько дней, после чего отец все-таки привез Илдуса обратно.
- Мы подумали, что дома-то легче, тем более от лечения никакого толка нет, - признался мой собеседник. – Но через три дня Илдусу пришлось снова вызывать «скорую». Из горла при кашле стала идти кровь.
Медики снова направили тяжелобольного в другой город, но уже не в Оренбург, а в Челябинск.
- По дороге много раз мне казалось, что Илдус уже умер, потому что он терял сознание от бессилия и нескончаемых приступов, - вспомнил собеседник.
В Челябинске хирурги осмотрели Илдуса и решили оперировать. Тагир и Илдус не стали спорить.
При операции оказалось, что случай с пациентом совершенно уникальный. Проблема с легкими – вторичная, а виной ежедневному ухудшению состояния изъян левого желудочка сердца.
- Операция прошла успешно. Хирурги, когда Илдус пришел в сознание после наркоза, сказали, что у него на сердце была опухоль и они ее удалили, но она могла дать метастазы, ему следует наблюдаться в онкологическом диспансере, - продолжал Тагир Оксанович.
Илдус 23 августа 2016 года был выписан с неутешительным диагнозом – саркома левого предсердия третьей стадии.
На руках у мужчины было направление в областной онкодиспансер. Семья надеялась на то, что здесь попасть на прием к врачу не станет для них пыткой, но в онкологии оказалось огромное количество пациентов.
- Нам пришлось стоять в большой очереди сначала у регистратуры за номерком, а потом у кабинетов. Лечащий врач, отвечающий за больных из Шарлыкского района, был в отпуске. В соседнем кабинете нас принять отказались, нагрубив, что таких, как мы, у них целая больница, - тревожно рассказал пенсионер.
А между тем номерок на прием был только на 6 сентября. Онкобольной снова остался без помощи, хотя ему рекомендовали незамедлительную лучевую и химиотерапию.
- Илдус поступил к нам в очень тяжелом состоянии. Потребовалось срочное хирургическое вмешательство, иначе все могло бы плохо кончиться. Документы на выписку я готовила лично. В них указано, что ему необходимо пройти лучевую и химическую терапию, причем откладывать эти процедуры ни в коем случае нельзя, поскольку это грозит появлением метастазов, - сказала мне Светлана ДЕРКСЕН, лечащий врач ФГБУ «Федеральный центр сердечно-сосудистой хирургии Минздрава РФ» Челябинска. Ее телефон дал мне Тагир Оксанович, и я позвонила ей после разговора с ним.
Только после 9 сентября пациента направили на курс лучевой и химиотерапии.
Несколько дней назад отец снял Илдусу в Москве квартиру, чтобы он мог получить лечение в клинике им. С.П. Боткина. Оплату перелета и питание Илдуса пенсионер полностью взял на себя.
– Недавно Илдусу оформили инвалидность. Теперь у него хоть будут деньги на мелкие личные расходы, - добавил собеседник.
Сколько еще предстоит пройти испытаний Илдусу, неизвестно. Врачи не дают никаких прогнозов. Сейчас он чувствует себя значительно лучше, но лечение нельзя прерывать ни в коем случае.
Тагир Оксанович влез в очень большие долги, а в скором времени он продаст последних коров и быков. Если вы хотите помочь этой семье, то можете связаться с Тагиром по телефону 8-987-874-90-83 или перечислить денежные средства на банковский счет Илдуса.
Номер счета: 42307 810 2 4611 8008 358
Банк получателя: подразделение № 8623/00197 Сбербанка России с. Шарлык
Получатель: Зайногабдинов Илдус Тагирович.
Светлана ДАВЫДОВА, Шарлыкский район