Вправление вывиха лодыжек через 23 дня после травмы
18.10.2018
Вправление вывиха лодыжек через 23 дня после травмы
Ж 78, 130 кг. 4 инсульта в анамнезе.Травма 25.09.2018. Доставлена в 36 ГКБ г. Москвы, где произведено вправление подвывиха стопы, наложена U-образная гипсовая повязка со стопой. На контрольной рентгенограмме подвывих стопы был вправлен. При выписке рентгенконтроля не делали, отправили с лонгетной временной гипсовой повязкой. На контрольной рентгенограмме в травмпункте 08.10.2018 видно смещение отломков, значительный подвывих стопы кнаружи. От госпитализации пациентка отказалась.
Снимок в наложенном гипсе в прямой проекции. Красными стрелками показаны движения голени и стопы, в результате которых произошел подвывих. Ходить на такой стопе было бы невозможно - стопа при нагрузке будет уезжать кнаружи.

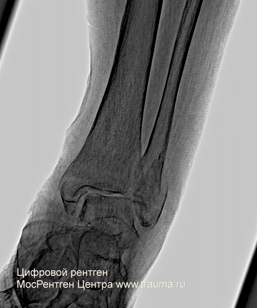
На рентгенограмме в гипсовой повязке: перелом лодыжек, фрагмента заднего края большеберцовой кости, повывих стопы кнаружи слева. Костная плотность снижена.
На боковой проекции, к счастью, подвывиха кзади нет.

Произведено: гипс снят. Без гипса произведена попытка вправления с рентгенконтролем. Была доказана возможность устранения подвывиха.

Проведена 2-х кратная попытка устранения подвывиха с рентгенконтролем.
При первой попытке подвывих вправить не удалось.

Гипс снят, проведена повторная попытка устранить подвывих. Сначала сделали попытку без гипса,

потом с пластиковым гипсом. Для вправления подвывиха стопа зафиксирована в положении супинации.

На контрольной рентгенограмме сохраняется подвывих 3 мм. С учетом остеопороза от дальнейших попыток решено воздержаться.

Оперативное лечение сомнительно ввиду веса пациентки 130 кг, остеопороза и сопутствующих заболеваний (4 инсульта).
Диагноз: Закрытые переломы лодыжек, фрагмента заднего края большеберцовой кости, повывих стопы кнаружи слева. Тяжелый остеопороз.
Лечение: решение вопроса о госпитализаци. Запись на консультацию в Московский клинический научный центр, шоссе Энтузиастов дом 86, телефоны 8-495-304-30-40, 8-495-304-30-99 к доктору Шаховцову Максиму Геннадьевичу.
Следить за гипсом. При возникновении отека пальцев и сильной боли положить ногу на подушку выше уровня тела и проконсультироваться с врачом.
Рекомендации (необходимые будут помечены):
1. Рентгенконтроль 13 декабря 2018 года.
2. Думать о хорошем, у оптимистов перелом срастается быстрее.
3. Обезболивание:
внутрь в таблетках
- кеторол 10 мг х 3 раза в день после еды в течение 7-ми дней.
4. При задержке стула принять слабительное - магния сульфат 25 г (растворить в воде) или жидкий йогурт Активия с черносливом 290 г.
5. На больную ногу не наступать до рентгенологически подтвержденного сращения перелома!
6. Днем не спать! В кровати нужно 1 раз в час приподнимать таз, ворочаться с боку на бок. Использовать противопролежневый матрас.
7. Сидеть в кровати не свешивая ноги.
8. Сидеть в кровати свесив ноги, приподнимать таз с упором на руки и здоровую ногу с 25-ого октября.
9. Стоять возле кровати при помощи ходунков или спинок двух поставленных по бокам стульев без опоры на больную ногу каждый час по 5 минут.
10. Ходить при помощи алюминиевых костылей с подмышечной фиксацией или с помощью ходунков без опоры на больную ног.
11. Надувать воздушный шарик (тренировка легких) 4 раза в день.
12. Пить через узкую трубочку (тренировка легких).
13. Следить за кожными покровами ягодиц: смазывать детским кремом 1 раз в сутки, регулярно менять постельное белье.
14. Кальциевая диета (все молочные продукты, мясо, рыба, холодец).
15. Денситометрия (исследование плотности костной ткани) в плановом порядке, консультация эндокринолога.
16. Лечение остеопороза, курс на 6 месяцев: форстео 20 мкг в сутки в течение 3-х месяцев.
17. Кальцимин адванс 1 таблетка утром и вечером в течении 3-х месяцев.
18. Занятия на велотренажере 1 раз в час по 5-15 минут после сращения перелома. В случае несращения перелома занятия начать через 3 месяца с момента травмы.
Ссылка на статьи: Как снять пластиковый гипс? / Пластиковый гипс Скотчкаст / Сколько держать лед при сильном ушибе? / Рентген на дому 8 495 22 555 6 8 / Перелом шейки бедра / Повреждение синдесмоза
Похожие статьи
Как снять пластиковый гипс?Пластиковый гипс Скотчкаст
Сколько держать лед при сильном ушибе?
Рентген на дому 8 495 22 555 6 8
Перелом шейки бедра
Повреждение синдесмоза


