Остеосинтез перелома костей предплечья спицами у ребенка.
 15.06.2025
				15.06.2025
				Остеосинтез перелома костей предплечья спицами у ребенка.
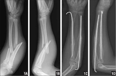
Переломы лучевой и локтевой кости в средней трети могут не срастись. Поэтому приходится под ЭОПом провести спицы через дистальный и проксимальный отломки, загнутый кончик погрузить под мягкие ткани, чтобы они не мешали при движениях. После сращения спицы желательно удалить.Ссылка на статьи: Рентген на дому 8 495 22 555 6 8 / Перелом шейки бедра / Рентген на дому в Москве / Компьютерная томография в Москве
Похожие статьи
Рентген на дому 8 495 22 555 6 8Перелом шейки бедра
Рентген на дому в Москве
МРТ 3 Тесла в Москве 84952255568
Компьютерная томография в Москве

 
				

