8-495-22-555-6-8
1@trauma.ru
Прайслист
Контакты
WhatsApp
Telegram
Дзен
YouTube
FAQ
Отзывы
Раскладка: Русская
МосРентген Центр
Первая помощь при переломе шейки бедра
Услуги
МРТ 3 Тесла
Трехмерная компьютерная томография
Лицензирование рентгеновских кабинетов
Товары
Цифровой рентген
Аппараты для цифрового рентгена
Оцифровщики
Дигитайзеры
Аналоговый рентген
Рентгеновская пленка
Рентгеновские кассеты
Хим. реактивы
Статьи
Травматология
Рентгенология
Блог
МЕНЮ
ЗАКРЫТЬ
назад
МосРентген Центр
/
x2
/
Пономаренко
10.03.2026 18:38:23
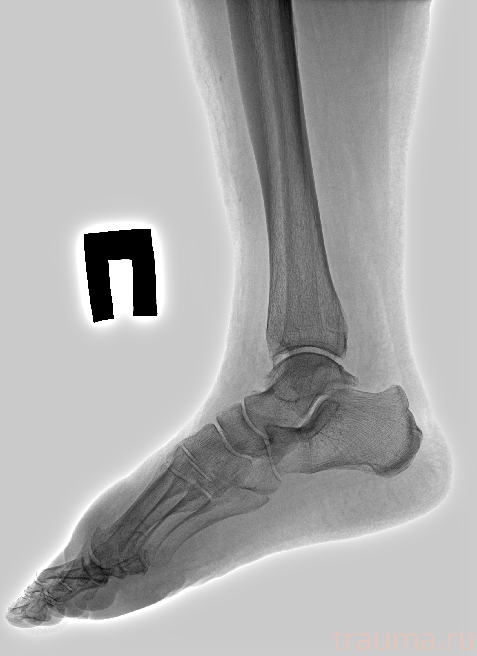
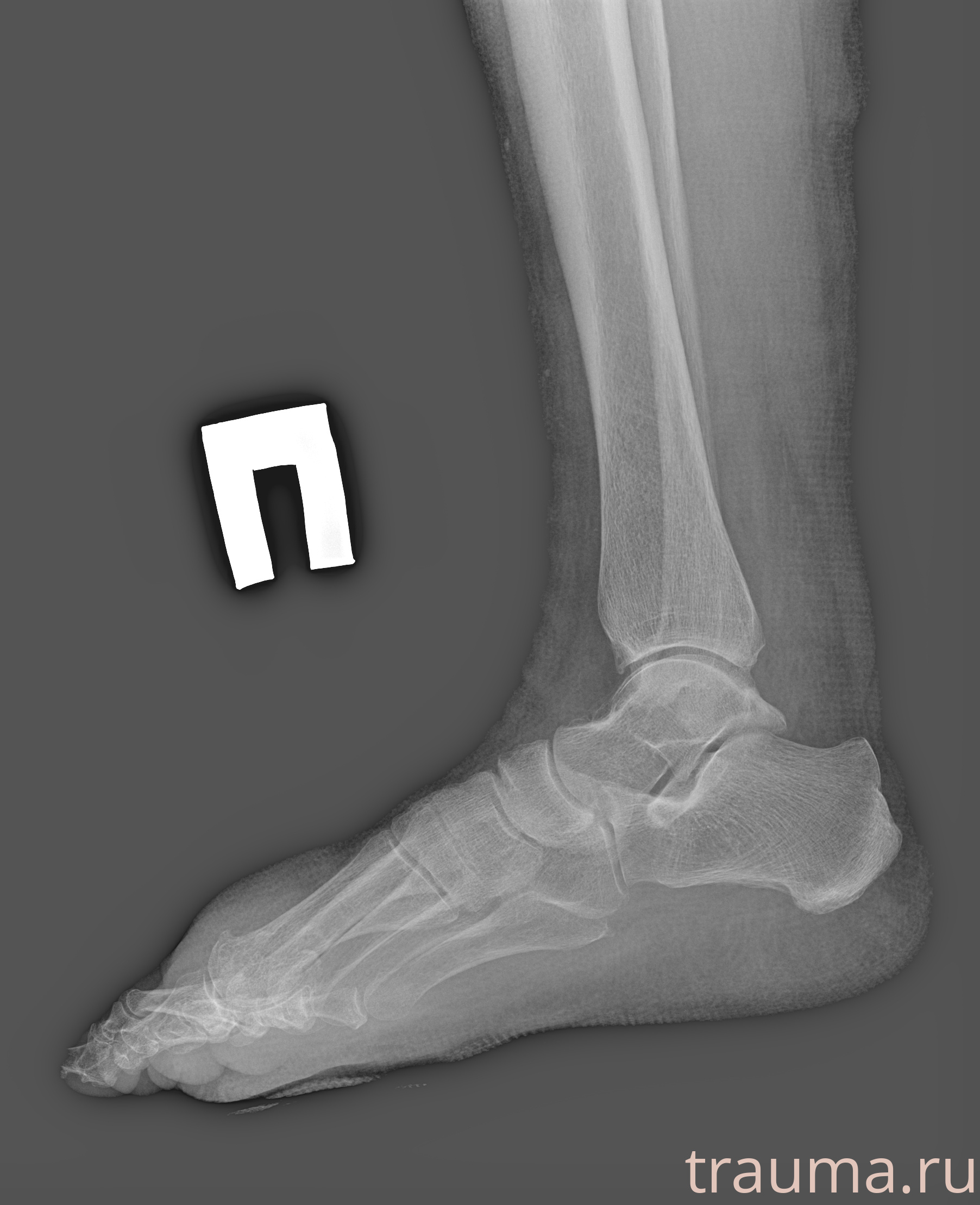
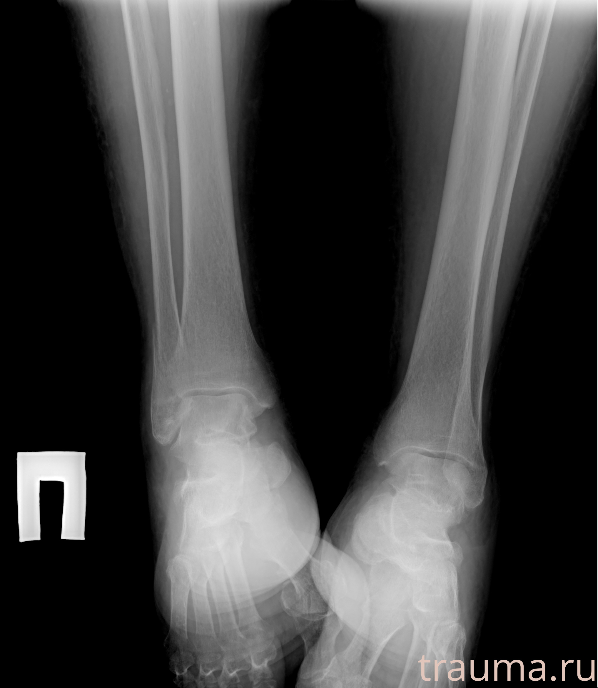
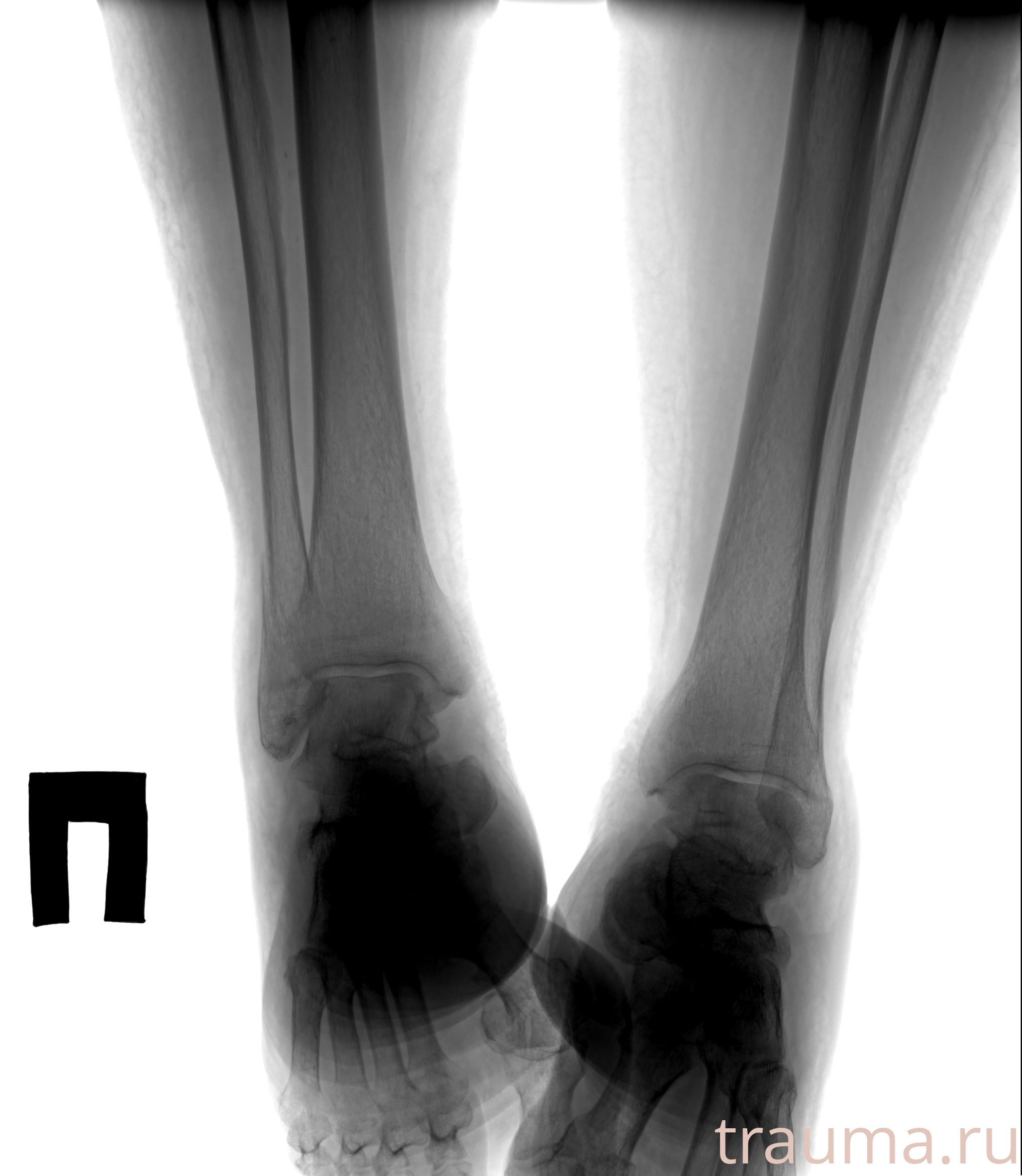
Рентгенограммы
10.03.2026 18:38:23
Сравнить:
Яркость:
1
Контраст:
1
Инвертировать:
0
Увеличение:
1
Сбросить
Инвертировать
Отзеркалить
↻
↺
Перетаскивайте мышь вверх/вниз для контраста, влево/право для яркости. Прокрутка колесом изменяет масштаб. Нажмите Сбросить для возврата к исходному изображению. При увеличении держите мышь в той области, которую хотите рассмотреть.
Купить
МосРентген Центр
10.03.2026 18:38:23
Купить
МосРентген Центр
Популярные в разделе
10.03.2026 18:38:23
МосРентген Центр
10.03.2026 18:38:23
МосРентген Центр
10.03.2026 18:38:23
МосРентген Центр
10.04.2026 20:30:51
МосРентген Центр
Просматривали
© 1999–2026.
Сайт Александра Дидковского
8-495-22-555-6-8
1@trauma.ru
Прайслист
Контакты
WhatsApp
ЦИФРОВОЙ РЕНТГЕН НА ДОМУ
8-495-22-555-6-8
при переломе шейки бедра и пневмонии от компании МосРентген Центр - партнера Института имени Склифосовского
подробно
РЕНТГЕН ПОД КЛЮЧ
Лицензирование рентгеновских кабинетов
подробно
Продажа цифрового рентгена
Рентген дигитайзер AGFA CR12-X - оцифровщик рентгеновских снимков
подробно