19.03.2024
Нарушение архитектоники (легочной ткани)
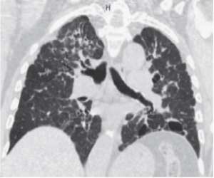
Под этим термином подразумевается изменение нормального расположения видимых структур легких: в первую очередь легочных сосудов, бронхов и листков междолевой плевры
Architectural distortionСемиотика. Рентген, КТ
Под этим термином подразумевается изменение нормального расположения видимых структур легких: в первую очередь легочных сосудов, бронхов и листков междолевой плевры. Нарушение легочной архитектоники определяется в виде необычного (патологического) расположения бронхов, сосудов, щелей или перегородок в результате их перемещения в легочной ткани. Эти изменения обычно вызваны диффузным или локальным поражением паренхимы легких (см.), например при хронических инфекциях, интерстициальных заболеваниях, аномалиях и пороках развития и т.д.
Измененный участок уменьшается (фиброз, ателектаз - см.) или увеличивается (вздутие) в объеме, что приводит к перераспределению элементов легочного рисунка на рентгеновских снимках или к нарушению нормального хода сосудов и бронхов при КТ.
Теги: междолевая плевра
234567 Начало активности (дата): 19.03.2024 02:00:00
234567 Кем создан (ID): 989
234567 Ключевые слова: междолевая плевра, доли, структуры легких
12354567899
Похожие статьи
Инфильтрация (легочной ткани)Рентген на дому 8 495 22 555 6 8
Расчет индекса коморбидности как фактора риска рецидива перипротезной инфекции после установки спейсера коленного сустава
Жировая эмболия как осложнение при операциях на трубчатых костях нижних конечностей
Профилактика, диагностика и лечение тромбоэмболических осложнений в травматологии и ортопедии: методические рекомендации


