
Симптом воздушного полумесяца
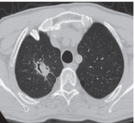
Щелевидная полость в виде полумесяца или серпа
Air crescent sign (син.: симптом серповидной полоски воздуха)Семиотика. Рентген, КТ
Щелевидная полость в виде полумесяца или серпа, представляет собой патологическое скопление воздуха, отделяющее содержимое полости тканевой плотности от стенок самой полости.
Симптом серповидной полоски воздуха является признаком мицетомы (обычно аспергиллеза), возникшей в какой-либо ранее существовавшей полости. Примером могут служить эмфизематозные буллы (см.), остаточные полости после абсцесса, туберкулезные каверны и пр. При этом часто наблюдается смещение мицетомы внутри полости при изменении положения тела. Также этот симптом наблюдается в полостях различного генеза при их частичном опорожнении от содержимого, в частности при ангиоинвазивном аспергиллезе, туберкулезной пневмонии и туберкулеме, микроскопическом полиангиите, внутриполостном кровоизлиянии и распадающейся опухоли.
Теги: мицетома
234567 Начало активности (дата): 29.03.2024 23:55:00
234567 Кем создан (ID): 989
234567 Ключевые слова: мицетома, щеловидная полость, легкие
12354567899
Похожие статьи
Септическая эмбологенная пневмония при инфекционном эндокардите правых отделов сердца: лучевая диагностикаРентген на дому 8 495 22 555 6 8
Экстракорпоральная ударно-волновая терапия лигаментопатии связок пояснично-крестцового отдела позвоночника и таза
Роль ультразвука в диагностике внебольничной пневмонии
Выживаемость несвязанных керамических эндопротезов лучезапястного сустава