01.10.2025
Редкий случай парапареза нижних конечностей вследствие подагры грудного отдела позвоночника: клинический случай
Представленный нами клинический случай подчеркивает необходимость учитывать вероятность образования подагрических тофусов в позвонках при дифференциальной диагностики у пациентов, страдающих подагрой
Введение
Подагра — это метаболическое заболевание, возникающее в результате отложения кристаллов урата натрия в тканях, которое при отсутствии лечения прогрессирует до разрушения суставов с образованием тофусов [1]. Возникновение подагры в позвоночнике встречается редко, в литературе описано чуть более 70 случаев. Не все уровни позвоночника одинаково подвержены поражению. Один обзор литературы показал, что чаще всего поражается поясничный отдел позвоночника (56% случаев), за ним следуют шейный и грудной отделы позвоночника, которые поражаются в 22% случаев [2]. Из этих случаев наиболее распространенными симптомами были неспецифический парапарез (39,0%), радикулопатия (27,0%) и боли в спине (18,0%) [3]. Биопсия является золотым стандартом в подтверждении диагноза. Гистологические данные показывают гранулематозный инфильтрат многоядерных гигантских клеток, гистиоцитов и фибробластов. Кроме того, на образцах, исследованных под микроскопией поляризованного света, демонстрируются характерные игольчатые кристаллы с отрицательным двулучепреломлением подагры [4].
Цель данной работы: показать особенности клинических проявлений подагры с локализацией тофусов в позвоночнике.
Для достижения цели необходимо выполнить следующие задачи:проанализировать научную литературу по данной теме изучить медицинскую документацию пациентки
Методы и материалы исследования
Мы представляем случай пациентки 36 лет с развитием парапареза нижних конечностей с результате образования тофуса в грудном отделе позвоночника.
Обсуждение и результаты
Больная М., 36 лет, поступила в ревматологическое отделение ПККБ №1 25.02.2025 г. С жалобами на боли смешанного ритма в левом коленном суставе, проксимальных межфаланговых суставах (ПМФС) обеих кистей, правом голеностопном суставе, плюснефаланговых суставах (ПлФС) левой стопы, припухлость и ограничение объема движений в них, онемение I-III пальцев левой кисти, слабость в нижних конечностях. Считает себя больной с 2019г., когда впервые остро развился артрит с поражением I ПлФС правой стопы, с последующими рецидивами артрита с частотой 1 раз в 6 месяцев. Пациентка за медицинской помощью не обращалась. В 2020 г во время беременности и в послеродовом периоде рецидивов артрита не было. В 2021 г. перенесла COVID-19, после чего стала отмечать учащение приступов артрита 1 раз в месяц с вовлечением в процесс голеностопных суставов, ПМФС.
Осенью 2024 г. развился парапарез нижних конечностей, в связи с чем пациентка была госпитализирована в неврологическое отделение ПККБ .№1. При обследовании выявлено образование области Th6- Th7. По результатам лабораторных исследований регистрировался повышенный уровень мочевой кислоты - 700 мкмоль\л. Выполнено оперативное лечение: лямэктомия Th6-Th7, костотрансверзэкто- мия в сегментах Th6-Th7 с обеих сторон , субтотальная резекция объемного образования с декомпрессией спинного мозга, корешков. Гистологическое исследование образования выявило бесструктурные эозинофильные массы с гранулематозным воспалением с наличием гигантских клеток, что характерно для подагрического тофуса с периокальным гранулематозным воспалением.
После выписки из стационара пациентка была консультирована ревматологом по месту жительства, назначена лекарственная терапия подагры - фебуксостат 120 мг в сутки.
Пациентка принимала препарат 1 месяц, после чего самостоятельно отменила. В феврале 2025 г. больная консультирована ревматологом ПККБ №1 и была направлена на госпитализацию в ревматологическое отделение ПККБ №1.
Вирусные гепатиты, ВИЧ, туберкулез, сахарный диабет, кожно-венерические заболевания, псориаз отрицала. Аллергологический анамнез не отягощен. Наследственность не отягощена. Оперативные вмешательства: трое родов путем кесарева сечения. Вредные привычки отрицала.
Состояние при поступлении удовлетворительное. Сознание ясное. Доступна контакту. При ходьбе хромает, передвигается с трудом при помощи трости. Число дыхательных движений 16 в минуту. Тоны сердца ясные, ритмичные, шумы не выслушивались. Число сердечных сокращений 72 в минуту, пульс - 72 уд.\мин., удовлетворительных качеств, правильный. Артериальное давление 140\90 мм.рт.ст. Живот правильной формы, при пальпации мягкий, безболезненный. Печень пальпировалась по краю реберной дуги.
При осмотре обращала на себя внимание дефигурация левого коленного сустава, ПМФС кистей, правого голеностопного сустава за счет экссудативных проявлений, множественные тофусы периарти- кулярных тканей (Рис.1).
Болевой синдром по ВАШ 65-70 мм.

При лабораторном исследовании крови макроцитарная гиперхромная анемия с уровнем гемоглобина 83 г\л, лейкопения - 3.18 х 10 9/л, повышение СОЭ - 24 мм\ч, СРБ - 12.83 мг\л. Концентрация в крови мочевины 2.58 ммоль\л, креатинина - 72.5 мкмоль\л, гамма-глутамилтрансферазы - 167.8 Ед\л, мочевой кислоты - 625.8 мкмоль\л, щелочной фосфатазы - 140 Ед\л. Скорость клубочковой фильтрации - 92 мл\мин\1.73 м2. Уровень ферритина был 111.31 нг\мл, витамина В12 - 141 пг\мл. Остальные биохимические показатели крови и общий анализ мочи без особенностей. Электрокардиографически - синусовый ритм с ЧСС 67 в минуту, изменения миокарда. Заключение ЭХО-КГ: полости сердца не расширены, уплотнены створки аортального и митрального клапана, легочная гипертензия 0-1 степени (31+5 мм.рт.ст.), глобальная сократимость левого желудочка хорошая. Ультразвуковое исследование органов брюшной полости и почек не выявило патологии. Рентгенография органов грудной полости без патологии.
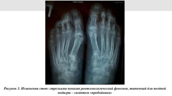
По данным рентгенографии коленных суставов выявлен двусторонний гонартроз II стадии, кистей - рентгенологические признаки артрита II стадии (Рис.2). На рентгенограмме стоп определялся выраженный остеопороз, суставные щели обоих плюсне-фаланговых сочленений равномерно сужены, уплотнены суставные поверхности, в проекции головок плюсневых костей - пробойники, что характерно для подагрического артрита слева II стадии, справа III-IV стадии (Рис.3).
По данным авторов, умеренные рентгенологические изменения суставов возникают в среднем через 9 лет, а более значительные через 10-15 лет и более [5]. У наблюдаемой нами пациентки рентгенологические изменения были выявлены уже через 5 лет от начала заболевания.
На серии МСКТ грудного отдела позвоночника - состояние после ламинэктомия TH6- TH9, парциальной костотрансверзэктомия в сегментах TH6 - Th7 позвонков с двух сторон, субтотальная резекция объемного образования с декомпрессией спинного мозга; ось позвоночного столба изменена, сколиоз, угол открыт влево, усиление физиологического кифоза; на момент исследования определяются участки кистовидной трансформации с четким склеротическим ободком, частично вскрышегосятипа с поражением дуги, поперечного отростка Th4 справа в сочетании поражением с дуго-отросчатого сустава Th4-Th5 справа с признаками артрита; аналогичные изменения в проекции дуги Th10 справа; паравертебрально на уровне тела Th9 справа определяется мягкотканый тофус размерами до 9х10,6 мм; обращает внимание значительный неравномерный субхондральный склероз замыкательных пластин, в сочетании со значительным неравномерным гиперостозом по периметру смежных замыкательных пластин; межпозвонковые диски умеренно равномерно уплощены, без значимых протрузионных изменений, в том числе в сторону СМК и межпозвонковых каналов; патологических изменений в превертебральных мягких тканях не выявлено, неравномерное умеренное уплотнение в зоне оперативного доступа (Рис.4). В последнее время в литературе стали чаще встречаться описания поражения позвоночника вследствие роста тофусов у больных подагрой, в том числе и в молодом возрасте [6,7,8]. Причины образования тофусов в позвоночном столбе не установлены. Изучается значение таких факторов, как вы сокая гиперурикемия, сниженная почечная функция, дли тельность болезни, возраст, количество атак острого артрита [9].
По заключению гистологического исследования биоптата мягких тканей и костной ткани грудного позвонка определялись бесструктурные эозинофильные массы с гранулематозным воспалением и наличием гигантских клеток, что характерно для подагрического тофуса с перифокальным гранулематозным воспалением.

Диагноз: подагра, первично-метаболическая форма, рецидивирующие острые приступы с поражением суставов стоп, кистей, коленных, локтевых, лучезапястных суставов, затянувшееся обострение. Множественные тофусы периартикулярных мягких тканей, гигантский тофус с вовлечением тел Th6 - Th7. ФК 3. Вторичный остеоартроз, полиостеоартроз с преимущественным поражением суставов кистей, стоп, R ст. III, коленных, R ст II. Плоскостопие. Вальгусная деформация голеней и пальцев стоп. ФК 3.
Сопутствующий диагноз: В-12 дефицитная анемия легкой степени тяжести. Дорсопатия. Распространенный остеохондроз. Ламинэктомия TH6-TH 7, парциальная костотрансверзэктомия в сегментах Th6 - Th7 позвонков с двух сторон, субтотальная резекция объемного образования с декомпрессией спинного мозга, корешков. Хроническая компрессионно-ишемическая миелопатия с преимущественным вовлечением шейных сегментов. Компрессионно-ишемическая миелопатия с очаговыми изменениями на уровне ThVI-ThVII. Легкий спастический нижний парапарез.

В отделении ревматологии пациентке было назначено лечение аллопуринолом 100 мг 1 раз в день, колхицин 0.5 мг 1 раз в день, мелоксикам (10 мг\мл) 1.5 мл внутримышечно 1 раз в день, омепра- зол 20 мг 1 раз в день, пентоксифиллин (20 мг\мл) 5 мл внутривенно капельно в разведении с натрия хлоридом 0.9% - 200 мл.

По рекомендации гематолога к лечению добавлены фолиевая кислота 3 мг 1 раз в день, цианокобаламин (0.5 мг\мл) 2 мл внутримышечно 1 раз в неделю. По решению врачебного консилиума было принято решение назначить пациентке М. по жизненным показаниям генно-инженерный препарат Анакинра (Кинерет) 150 мг /1 мл подкожно (один шприц 0,67 мл) ежедневно.
Заключение
Предоставленный клинический случай описывает редкую локализацию отложения тофусов в грудном отделе позвоночника, которая клинически проявилась парапарезом нижних конечностей. Как уже упоминалось выше, подагра редко поражает позвоночник и еще реже развивается таким агрессивным образом. Тофусы являются хроническим проявлением подагры, их наличие свидетельствует о длительности течения подагры более 5 лет без медикаментозного лечения [1].
При отсутствии ярких клинических симптомов, диагностировать такие редкие локализации тофусов в позвоночнике может быть чрезвычайно трудно. Кроме того, прямой корреляции между болями в спине и ассоциированным с подагрой поражением позвоночника не отмечено, что вкупе с редким использованием КТ и МРТ позвоночника укрепляет предположение о глобальной недооценке возможности поражения позвоночника у таких пациентов [10]. Представленный нами клинический случай подчеркивает необходимость учитывать вероятность образования подагрических то- фусов в позвонках при дифференциальной диагностики у пациентов, страдающих подагрой.
Список литературы:
Duarte-Salazar C, Marin-Arriaga N, Ventura-Rios L, Alpizar-Aguirre A, Pichardo-Bahena R, Arellano Hernandez A. Gota tofacea en la columna lumbar causando radiculopatia. Reumatol Clin. 2020. - 410-412.
Ромеро, А.Б., Джонсон, Э.П. и Киркпатрик, Дж.С. Тофусный подагрический артрит атлантоаксиального сустава: клинический случай. J Med Case Reports 15, 74 (2021).
Чжан С., Гу В., Ло Д. и др. Лечение подагрического стеноза поясничного отдела позвоночника: клинический случай и анализ с помощью биоинформатики. BMC Musculoskelet Disord 26, 61 (2025).
Mithulan Jegapragasan1 Alejandro Calniquer1 William D. Hwang2 Quynh T. Nguyen2 Zachary Child. A Case of Tophaceous Gout in the Lumbar Spine: A Review of the Literature and Treatment Recommendations. Evid Based Spine Care Journal 2014 Apr; 5(1):52-56.
Насонова В.А., Астапенко М.Г. Клиническая ревматология: Руководство для врачей/АМН СССР. - М.: Медицина, 1989; стр.394.
Lu F, Jiang J, Zhang F et al. Lumbar spinal stenosis induced by rare chronic tophaceous gout in a 29-year-old man. Orthopedics. 2012 Oct;35(10):e1571-5. DOI: 10.3928/01477447-20120919-33.
Thornton FJ, Torreggiani WC, Brennan P. Tophaceous gout of the lumbar spine in a renal transplant patient: a case report and litera ture review. Eur J Radiol. 2000 Dec;36(3):123-5.
Hou LC, Hsu AR, Veeravagu A, Boakye M. Spinal gout in a renal transplant patient: a case report and literature review. Surg Neurol. 2007 Jan;67(1):65-73; discussion 73. Epub 2006 Oct 6.
Eliseev, Maksim & Mukagova, M & Smirnov, A & Radenska-Lopovok, Stefka & Bozhyeva, L & Barskova, V. (2013). ATYPICAL GOUT: SPINAL TOPHACEOUS INJURY. Rheumatology Science and Practice. 51. 586. 10.14412/1995-4484-2013-1553.
Елисеев М.С. Поражение позвоночника при подагре. РМЖ. 2016;2:85-89.
Авторы:
Лупач Наталья Михайловна - канд. мед. наук, заведующая ревматологическим отделением Приморской краевой клинической больницы №1, РФ, г. Владивосток
Сюсина Ольга Ивановна - врач-ревматолог ревматологического отделения Приморской краевой клинической больницы №1, РФ, г. Владивосток
Андреева Мария Завеновна - врач-ревматолог ревматологического отделения Приморской краевой клинической больницы №1, РФ, г. Владивосток
Стеценко Алина Викторовна - врач-терапевт, ординатор первого года обучения по специальности ревматология, институт терапии инструментальной диагностики, Тихоокеанский государственный медицинский университет, РФ, г. Владивосток
Теги: позвоночник
234567 Начало активности (дата): 01.10.2025
234567 Кем создан (ID): 989
234567 Ключевые слова: подагра, тофусы, позвоночник, парапарез
12354567899
Похожие статьи
ИИ-модели превосходят людей в тестах, но спрос на сертифицированных рентгенологов достиг рекордаРентген на дому 8 495 22 555 6 8
01.10.2025 13:59:32
Лечебная физическая культура при заболеваниях позвоночника
Особенности повреждений позвоночника и спинного мозга


