22.10.2025
Валидация системы поддержки принятия решений по определению степени тяжести сколиотической деформации позвоночника при анализе рентгенограмм
Отечественная КП после дообучения улучшила точность измерения в целом по дугам и типам сколиоза, превышая по средней абсолютной ошибке показатели ВРБО почти в два раза
Измерение угла Cobb используют для определения тяжести сколиотической деформации позвоночника и для принятия обоснованных врачебных решений по тактике лечения.Именно поэтому высокая надежность определения величин данного угла имеет решающее значение. Однако известно, что измерение угла Cobb при сколиотическом позвоночнике в клинических условиях подвержено колебаниям у разных наблюдателей. Так, Srinivasalu et al. [1] указывают, что при использовании традиционной методики измерения по Cobb вариабельность результатов у одного исследователя составляет 2,8-4,9°, а вариабельность результатов у разных исследователей - 6,3-7,2°. Ряд авторов [2, 3] считают, что пределом клинической приемлемости при измерении угла Cobb является величина <5°.
Для повышения точности измерений зарубежные ученые предлагают определять угол Cobb и диагностировать степень тяжести сколиоза на рентгенограммах грудной клетки автоматизированным компьютерным методом [4, 5]. Появляются и отечественные попытки создания автоматических систем определения углов сколиотической деформации позвоночника [6], однако они не апробированы в клинической практике. В 2020 г. за счет средств гранта Фонда содействия инновациям в России сделан реальный шаг к созданию современного отечественного инновационного продукта «Система поддержки принятия решений по определению степени тяжести сколиотической деформации позвоночника при анализе рентгенограмм», использующего технологии глубоких нейронных сетей в части распознавания 2D-изображений позвоночника и автоматического измерения углов Cobb, подтвержденного свидетельством о регистрации в Федеральной службе по интеллектуальной собственности [7]. Компьютерная программа (КП) с целью дообучения модели, уточнения и оптимизации детерминированных алгоритмов с 2021 г. встроена в медицинскую систему протезно-ортопедического центра «Сколиолоджик.ру».
Цель исследования - доказать возможность использования в клинической практике отечественной КП по определению угла Cobb путем сравнительного анализа полученных автоматизированных данных с данными ручного измерения специалистами.
Проведенное в 2023-2024 гг. исследование ее работоспособности на 411 рентгеновских снимках показало, что она обладает хорошей надежностью и ее использование может быть рекомендовано для автоматизированного определения угла Cobb, особенно для начинающих врачей-травматологов-ортопе- дов, не имеющих опыта в вертеброло- гии [8]. В соответствии с выявленными ошибками в работе КП было продолжено ее дообучение на дополнительном объеме датасета, после чего проведено повторное автоматическое измерение тех же 411 рентгенограмм. Таким образом, данное исследование является продолжением работы авторов, начатой в 2020 г. [7, 8].
Материал и методы
Протокол исследования одобрен комитетом по этике протезно-ортопедического центра «Сколиолоджик.ру» (протокол № 4 от 1 августа 2024 г.). В статье приведены результаты исследований без идентификации личности пациентов, которые не противоречат этическим стандартам Хельсинкской декларации Всемирной медицинской ассоциации «Этические принципы проведения научных исследований с участием человека» с поправками 2000 г. и «Правилами клинической практики в Российской Федерации», утвержденными Приказом Минздрава России от 19.06.2003 г. № 266. Участники исследования и их законные представители были информированы о целях, методах, ожидаемой пользе исследования и сопряженных с участием в исследовании риске и неудобствах.
Для сравнительного анализа из медицинской базы протезно-ортопедического центра «Сколиолоджик.ру» отобраны 411 цифровых рентгенограмм позвоночника детей и подростков, проходящих лечение по поводу идиопатического сколиоза II-IV степени корсетами типа Риго - Шено, смоделированными в компьютерной среде Rodin4D NEO и изготовленными c применением CAD/CAM-технологии.
Рентгенограммы выполнены в переднезадней проекции, с визуализацией позвоночника от С7 хирургия позвоночника 2025. Т. 22. № 2. С. 104-in | RUSSIAN JOURNAL OF SPINE SURGERY (KHIRURGIYA POZVONOCHNIKA)2025;22(2):104-111 га леин и др. валидация системы поддержки принятия решений по определению степени тяжести сколиотической деформации ga lein et al. validation of a decision support system for determining the severity of scoliotic spinal deformity до Sj, ребер, грудной и брюшной полости, а также с захватом костей таза. Все рентгенограммы для определения угла Cobb имеющихся дуг деформации последовательно измерены ручным способом двумя специалистами - сертифицированным врачом-рентгенологом (ВР), описавшим более 30 000 рентгенограмм позвоночника, сертифицированным врачом-рентгенологом без опыта в вертебрологии (ВРБО), а также автоматической КП «Система поддержки принятия решений по определению степени тяжести сколиотической деформации при анализе рентгенограмм», причем показатели КП сравнивали с эталоном дважды - первоначально (КП1) и после дообучения (КП2). Дуги деформации для исследования обозначены по принципу «сверху вниз» как дуга 1, дуга 2, дуга 3, дуга 4. В качестве эталонного теста, как и в зарубежных исследованиях, использовали ручную процедуру, произведенную ВР [1].
Сравнивали среднюю абсолютную ошибку в процентах (MAPE - Mean Absolute Percentage Error) и среднее абсолютное отклонение в градусах (MAD - Mean Absolute Deviation) результатов измерения угла Cobb эталонных данных с показателями, полученными ВРБО, КП1 и КП2 в целом, а также при различных типах сколиоза по классификации Rigo et al. [9], где тип A определяется как сколиоз в три дуги, тип В - в четыре дуги, тип С - не три и не четыре дуги, тип Е - изолированная дуга (рис. 1). Выбор данной классификации обусловлен тем, что авторы не занимаются хирургическим лечением идиопатических сколиозов, а классификация Rigo специально разработана для корсетного лечения сколиоза и представлена в национальных клинических рекомендациях «Идиопатический сколиоз» (2024), принятых ассоциацией травма- тологов-ортопедов России и утвержденных Минздравом России [10].
Кроме того, сравнивали MAPE по всем дугам исследователей ВРБО, КП1 и КП2 при доверительном интервале разницы измерений угла Cobb в 1, 3, и 5°.
Для оценки надежности измерений рассчитали внутриклассовый коэффициент корреляции (ICC - Intraclass Correlation Coefficient) замеров ВРБО, КП1 и КП2 от эталонного значения величины основной дуги сколиоза, имеющего ведущую роль при определении его степени. Расчет MAD и MAPE вели и в зависимости от величины основной дуги в группах 20-30°, 31-40°, 41-50° и больше 50°. ICC рассчитывали для ВРБО, КП1 и КП2 на всю совокупность основных дуг, показатель которого оценивали по методике Koo и Li [11]: меньше 0,5 - низкая надежность; от 0,5 до 0,75 - умеренная надежность; между 0,75 и 0,9 - хорошая надежность; больше 0,9 - отличная надежность.
Для подтверждения параллельной валидности оценивали коэффициент корреляции Пирсона, сравнивали ВР-ВРБО; ВР-КП1; ВР-КП2; ВРБО-КП1; ВРБО-КП2. Оценку критерия Пирсона проводили по шкале Chaddock [12]: менее 0,3 - корреляционная связь слабая; от 0,3 до 0,5 - умеренная; от 0,5 до 0,7 - заметная; от 0,7 до 0,9 - высокая; более 0,9 - весьма высокая.
Результаты
Для оценки качества измерений исследовали MAPE и MAD у ВРБО, КП1 и КП2 от эталонного измерения (табл. 1).
Анализ данных показывает, что в КП2 по сравнению с КП1 улучшилась точность измерений в целом по всем дугам и типам сколиоза. Так, в целом MAPE КП1 составляла 23,9 %, MAD - 4,2°. КП2 продемонстрировала снижение уровня средней абсолютной ошибки почти в два раза - 12,8 %, а MAD определена в 3,2°. Показательно снижение MAPE КП2 по уровням дуг. Первоначальное исследование работоспособности КП1 показало, что при исследовании рентгенограмм позвоночника со сколиозом типа В на дугу 4 не обращали должного внимания, а величину поясничной (пояснично-крестцовой) дуги не определяли, что следует квалифицировать как диагностический недостаток [8]. Для его устранения проведено доучивание программы (КП2). Если по дугам 1, 2, 3 КП2 повысила точность измерений на 10,1, 2,6 и 3,9 % соответственно, то по дуге 4 - на 27,9 % Точность КП2 по сравнению с эталоном на дуге 4 повысилась при типе сколиоза В: В1 - на 63,0 %; В2 - на 68,5 %. Отметим, что и показатель MAD дуги 4 снизился при типе В1 с 10,1° до 2,7°, а при типе В2 - с 11,8° до 2,8°.
Следует обратить внимание, что при наиболее редко встречающемся типе E КП2 не показала значительного улучшения работы по сравнению с КП1. Произошло снижение MAPE при типе Е1 на 2,4 %, при типе Е2 - лишь на 1,0 %. При этом среднее абсолютное отклонение КП2 увеличилось до ±6,0° при типе Е1 (КП1 ±3,8°) и до ±6,8° - при типе Е2 (КП1 ±3,9°). Отметим повышение MAD КП2 по сравнению с КП1 на всех дугах типов Е1 и Е2. Анализ этой ситуации показал, что по типу сколиоза Е необходимо еще одно дообучение КП2.
Сравнение показателей MAPE и MAD ВРБО и КП2 как валидируемой программы подтверждает ее работоспособность. В целом MAPE КП2 снижен, по сравнению с показателями ВРБО, почти в два раза (12,8 против 21,8 %). По разным типам сколиоза этот показатель уменьшается от 5,5 до 13,1 %. В то же время МАРЕ КП1 составляет 23,9 %, что на 2,1 % выше, чем показатели ВРБО. Среднее абсолютное отклонение КП2 меньше ВРБО на 2°, КП1 - на 1°. Обратим внимание на показатели при типе сколиоза В. Здесь лучше работает КП2, которая снижает MAPE по сравнению с ВРБО на 10,2 % (тип В1) и 7,9 % (тип В2). КП1 работает хуже: MAPE повышается на 10,1 % (тип В1) и на 16,1 % (тип В2). Особенно разница заметна на дуге 4 сколиоза типа В. Сопоставление данных MAPE ВРБО с КП1 и КП2 убедительно доказывает, что величину дуги 4 КП2 определяет значительно лучше, чем КП1.
Так, КП2 при сколиозе В1 увеличивает точность на 15,5 %, при типе В2 - на 6,1 %. В отличие от КП2, КП1 при сколиозе В1 уменьшает точность на 48,2 %, при сколиозе В2 - на 62,4 %. Это еще раз доказывает, что недостаток КП2 по отношению к точности определения дуги 4 полностью устранен.
Величины MAD и MAPE при различной величине основной дуги сколиоза представлены в табл. 2.
Данные таблицы показывают, что КП2 по всем основным дугам дает среднее абсолютное отклонение в ±4,0°, причем наименьшее отклонение в ±2,7° при величине дуги от 20 до 30°, программа ошибается в 10,6 % случаев. Меньше всего КП2 ошибается при величине дуги 31-40° (8,7 %). Средняя абсолютная ошибка КП2 по всем основным дугам определена в 9,8 %, что идентично КП1, но более чем в два раза ниже чем у исследователя ВРБО (17,5 %). Что касается дуг с 41° и выше, то КП2 по точности незначительно уступает КП1 - на 1,8 % (при дуге 41—50°) и на 2,3 % (при дуге >50°), однако превосходит точность ВРБО на 5 % и более.
Параллельную валидность результатов, полученных ВРБО и двумя вариантами КП (КП1 и КП2), по сравнению с эталоном (ВР), оценивали на основании расчета коэффициента корреляции Пирсона (R).
Сравнивали между собой ВР-ВРБО, ВР-КП1, ВР-КП2, ВРБО-КП1, ВРБО-КП2. Сопоставление данных с эталоном выявляет весьма высокую корреляционную связь:
ВР-ВРБО (R = 0,91); ВР-КП1 (R = 0,92); ВР-КП2 (R = 0,94), причем самую высокую корреляционную связь с эталоном демонстрирует после обучения КП2. Что касается корреляционной связи между ВРБО и КП1, то она определена как высокая (R = 0,84), а связь между ВРБО и КП2 как весьма высокая (R = 0,93).
В дополнение проведено исследование точности измерений всех дуг сколиоза при погрешности в 1,3 и 5° (рис. 2).
Частота совпадений результатов измерений ВРБО, КП1 и КП2 всех дуг сколиоза при допустимой величине расхождений в 1, 3 и 5°: ВРБО - врач-рентгенолог без опыта в вертебрологии; КП1- компьютерная программа первоначальная; КП2 - компьютерная программа после дообучения хирургия позвоночника 2025. Т. 22. № 2. С. 104-111 | RUSSIAN JOURNAL OF SPINE SURGERY (KHIRURGIYA POZVONOCHNIKA)2025;22(2):104-111 га леин и др. валидация системы поддержки принятия решений по определению степени тяжести сколиотической деформации ga lein et al. validation of a decision support system for determining the severity of scoliotic spinal deformity
Так, по всем дугам сколиоза доля совпадений КП2 при погрешности в 3° возрастает до 70 %, при погрешности в 5° (клиническая приемлемость [2, 3]) — 84 %. При этом доля совпадений КП1 при погрешности в 5° определена в 75 %, а ВРБО — в 66 %.
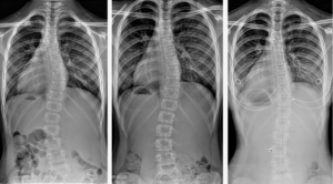
В заключение приведем пример работы КП2 по сравнению с эталонными измерениями и измерениями ВРБО (рис. 3).
Измерения ВРБО существенно отличались от эталона — от 4 до 12°. Программа правильно определила и оценила все имеющиеся дуги деформации, разница между эталонным и автоматическим измерением угла Cobb составила 1—2° и определена как несущественная.
Обсуждение
Среднее абсолютное отклонение результатов измерения угла Cobb, полученное зарубежными исследователями, составляет ±3,19° [13]; ±3,3° [14]; ±3,52° [15]; ±5° — в 88,7 % случаев [16]; менее 5° — в 95,9 % случаев [17].
Таким образом, отечественная КП, показавшая по всем дугам среднее абсолютное отклонение в ±3,2°, а по основной дуге — в ±4,0°, практически не уступает зарубежным аналогам.
Полученное значение ICC отечественной КП сравнивалось c зарубежными данными, приведенными различными авторами, а также с данными отечественной КП до дообучения (табл. 3).
Если показатель КП1 по внутриклассовому коэффициенту корреляции по основной дуге входил в диапазон хорошей надежности (ICC = 0,9), то КП2 продемонстрировала отличную надежность, сравнимую с последними зарубежными исследованиями [17, 19, 20]. Отметим, что подсчет указанного коэффициента КП2 по всем дугам также подтверждает отличную надежность программы: ICC = 0,97.
Проведенное исследование показало, что отечественная КП после дообучения улучшила точность измерения в целом по дугам и типам сколиоза, превышая по показателю MAPE врача- рентгенолога без опыта в вертебрологии в 2 раза. В ней устранен ранее выявленный недостаток по измерению величины поясничной (пояснично-крестцовой) дуги. Показатели КП2 имеют самую высокую корреляционную связь как с эталоном (R = 0,94), так и с показателями ВРБО (R = 0,93). Доказана отличная степень надежности программы (ICC = 0,95 по основной дуге и 0,97 по всем дугам), сравнимая с зарубежными аналогами, а также подтверждено, что среднее абсолютное отклонение в ±3,2°, а по основной дуге в ±4,0° практически не уступает зарубежным аналогам и входит в диапазон клинической приемлемости [2, 3].
Демонстрация работы компьютерной программы после дообучения (КП2): а, г — эталонные ручные измерения; б, д — измерения врача-рентгенолога без опыта в вертебрологии; в, е — автоматические измерения КП2
По выявленным недостаткам КП2 при редко встречающемся сколиозе типа Е будет проведено дополнительное дообучение программы.
Заключение
На основании изучения работоспособности и уровня надежности отечественной Кп «Система поддержки принятия решений по определению степени тяжести сколиотической деформации позвоночника при анализе рентгенограмм» можно сделать вывод о возможности ее валидации в клинической практике. Использование КП может быть рекомендовано для автоматизированного определения угла Cobb, так как доказано, что действующий алгоритм КП дает достаточно высокую клиническую точность по сравнению с эталонным измерением на уровне специалиста- рентгенолога с опытом в вертеброло- гии и несколько превосходит по точности врача-рентгенолога без опыта. Для широкого клинического использования валидированная КП размещена на сайте протезно-ортопедического центра «Сколиолоджикру».
Литература
1. Srinivasalu S, Modi HN, Smehta S, Suh SW, Chen T, Murun T. Cobb angle measurement of scoliosis using computer measurement of digitally acquired radiographs- intraobserver and interobserver variability. Asian Spine J. 2008;2:90-93.
2. Kuklo TR, Potter BK, Shroeder TM, O’Brien MF. Comparison of manual and digital measurements in adolescent idiopathic scoliosis. Spine. 2006;31:1240-1246. DOI: 10.1097/01.brs.0000217774.13433.a7
3. Wong JC, Reformat MZ, Parent EC, Stampe KP, Southon Hryniuk SC, Lou EH. Validation of an artificial intelligence-based method to automate Cobb angle measurement on spinal radiographs of children with adolescent idiopathic scoliosis. Eur J Phys Rehabil Med. 2023;59:535-542. DOI: 10.23736/S1973-9087.23.08091-7
4. Zhang J, Lou E, Hill DL, Raso JV, Wang Y, Le LH, Shi X. Computer-aided assessment of scoliosis on posteroanterior radiographs. Med Biol Eng Comput 2010;48:185- 195. DOI: 10.1007/s11517-009-0556-7
5. Langensiepen S, Semler O, Sobottke R, Fricke O, Franklin J, Schonau E, Eysel P. Measuring procedures to determine the Cobb angle in idiopathic scoliosis: a systematic review. Eur Spine J. 2013;22:2360-2371. DOI: 10.1007/s00586-013-2693-9
6. Падалко М.А., Орлов С.В., Наумов А.М. Назариков С.И., Лушников А.А. Автоматическая система определения углов сколиотической деформации позвоночника человека // Вестник Балтийского федерального университета им. И. Канта. Серия: Физико-математические и технические науки. 2019. № 3. С. 55-68. [Padalko MA, Orlov SV, Naumov AM, Nazarikov SI, Lushnikov AA. Automatic system for determining the angles of scoliotic deformity of the human spine. Vestnik IKBFU. Physics, Mathematics, and Technology. 2019;(3):55-68].
7. Леин Г.А., Нечаева Н.С., Мамедова Г.М., Смирнов А.А., Стаценко М.М. Автоматизация анализа рентгенограмм позвоночника для объективизации оценки степени тяжести сколиотической деформации при идиопатическом сколиозе (предварительное сообщение) // Ортопедия, травматология и восстановительная хирургия детского возраста. 2020. Т. 8, № 3. С. 317-326. [Lein GA, Nechaeva NS, Mamedova GM, Smirnov AA, Statsenko ММ. Automation analysis X-ray of the spine to objectify the assessment of the severity of scoliotic deformity in idiopathic scoliosis: A preliminary report. Pediatric Traumatology, Orthopaedics and Reconstructive Surgery. 2020;8(3):317-326]. DOI: 10.17816/PTORS34150
8. Леин Г.А., Нечаева Н.С., Демченко М.О., Коч Н.С., Левыкин А.Г. Исследование работоспособности системы поддержки принятия решений по определению степени тяжести сколиотической деформации позвоночника при анализе рентгенограмм // Ортопедия, травматология и восстановительная хирургия детского возраста. 2024. Т. 12, № 3. С. 307-316. [Lein GA, Nechaeva NS, Demchenko MO, Koch NS, Levykin AG. Efficiency of the decision support system for determining the severity of scoliotic spinal deformity by the analysis of radiographs. Pediatric Traumatology, Orthopaedics and Reconstructive Surgery. 2024;12(3):307- 316]. DOI: 10.17816/PTORS629748
9. Rigo MD, Villagrasa M, Gallo D. A specific scoliosis classification correlating with brace treatment: description and reliability. Scoliosis. 2010;5:1. DOI: 10.1186/1748-7161-5-1
10. Национальные клинические рекомендации «Идиопатический сколиоз» (одобрены Минздравом России). М., 2024. [Idiopathic Scoliosis: National Clinical Guidelines (approved by the Ministry of Health of Russia). Moscow, 2024].
11. Koo TK, Li MY. A guideline of selecting and reporting intraclass correlation coefficients for reliability research. J Chiropr Med. 2016;15:155-163.
12. Chaddock RE. Principles and Methods of Statistics. Boston, New York, [etc.]; 1925.
13. Wang J, Zhang J, Xu R, Chen TG, Zhou KS, Zhang HH. Measurement of scoliosis Cobb angle by end vertebra tilt angle method. J Orthop Surg Res. 2018;13:223. DOI: 10.1186/ s13018-018-0928-5
14. Pan Y, Chen Q, Chen T, Wang H, Zhu X, Fang Z, Lu Y. Evaluation of a computer-aided method for measuring the Cobb angle on chest X-rays. Eur Spine J. 2019;28:3035-3043. DOI: 10.1007/s00586-019-06115-w
15. Zhang K, Xu N, Guo C, Wu J. MPF-net: An effective framework for automated cobb angle estimation. Med Image Anal. 2022;75:102277. DOI: 10.1016/j.media.2021.102277
16. Huang X, Luo M, Liu L, Wu D, You X, Deng Z, Xiu P, Yang X, Zhou C, Feng G, Wang L, Zhou Z, Fan J, He M, Gao Z, Pu L, Wu Z, Zhou Z, Song Y, Huang S. The comparison of convolutional neural networks and the manual measurement of cobb angle in adolescent idiopathic scoliosis. Global Spine J. 2024;14:159-168. DOI: 10.1177/21925682221098672
17. Wang MX, Kim JK, Choi JW, Park D, Chang MC. Deep learning algorithm for automatically measuring Cobb angle in patients with idiopathic scoliosis. Eur Spine J. 2024;33:4155-4163. DOI: 10.1007/s00586-023-08024-5
18. Prestigiacomo FG, Hulsbosch MHHM, Bruls VEJ, Nieuwenhuis JJ. Intra- and inter-observer reliability of Cobb angle measurements in patients with adolescent idiopathic scoliosis. Spine Deform. 2022;10:79-86. DOI: 10.1007/s43390-021-00398-0
19. Caesarendra W, Rahmaniar W, Mathew J., Thien A. Automated Cobb angle measurement for adolescent idiopathic scoliosis using convolutional neural network. Diagnostics (Basel). 2022;12:396. DOI: 10.3390/diagnostics12020396
20. Sun Y, Xing Y, Zhao Z, Meng X, Xu G, Hai Y. Comparison of manual versus automated measurement of Cobb angle in idiopathic scoliosis based on a deep learning keypoint detection technology. Eur Spine J. 2022;31:1969-1978.
Григорий Аркадьевич Леин, канд. мед. наук, врач-травматолог-ортопед, генеральный директор, протезно-ортопедический центр «Сколиолоджик.ру», Россия, 194356, Санкт-Петербург, Выборгское шоссе, 64
Наталья Сергеевна Нечаева, врач-рентгенолог, руководитель рентгенологического отделения, протезно-ортопедический центр «Сколиолоджик.ру», Россия, 194356, Санкт-Петербург, Выборгское шоссе, 64
Михаил Олегович Демченко, канд. экон. наук, советник генерального директора по стратегическим вопросам, протезно-ортопедический центр «Сколиолоджик.ру», Россия, 194356, Санкт-Петербург
Матвей Сергеевич Артамонов, врач-рентгенолог, Северо-Западный научно-практический центр реабилитации и протезирования «Ортетика», Россия, 195253, Санкт-Петербург, ул. Стасовой, 1б
Теги: позвоночник
234567 Начало активности (дата): 22.10.2025
234567 Кем создан (ID): 989
234567 Ключевые слова: позвоночник; идиопатический сколиоз; угол Cobb; компьютерная программа
12354567899
Похожие статьи
Факторы риска нестабильности имплантатов после спондилэктомии у пациентов с опухолями позвоночникаРентген на дому 8 495 22 555 6 8
Ближайшие результаты хирургического лечения пациентов с неосложнёнными переломами грудного и поясничного отделов позвоночника
Цифровая модель хирургической коррекции сколиотического искривления позвоночника у детей раннего возраста
Опыт реабилитации пациентов, перенесших операции в области позвоночника


