20.11.2025
Переломы пяточной кости
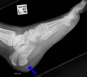
Переломы пяточной кости чаще возникают при высокоэнергетической травме
Список сокращений
БОС - биологическая обратная связь
ДТП - дорожно-транспортное происшествие
КТ - компьютерная томография.
ЛФК - лечебная физическая культура.
Н/к - нижняя конечность.
НПВП - нестероидные противовоспалительные и противоревматические препараты (АТХ код M01A)
ОАК - Общий (клинический) анализ крови.
ОАМ - Общий (клинический) анализ мочи.
Ортез - внешнее ортопедическое приспособление, предназначенное для разгрузки заднего отдела стопы и удерживающее стопу в нейтральном опорном положении.
ФРМ - физическая и реабилитационная медицина
ХАП - хирургическая антибактериальная профилактика.
AO/OTA - AO (arbeitsgemeinschaftfur osteosynthesefragen) - рабочая группа по изучению вопросов остеосинтеза, OTA - (Orthopaedic Trauma Association) Американская ассоциация травматологов-ортопедов.
MRSA - Methicillin-resistant Staphylococcus aureus, метициллин-резистентный золотистый стафилококк.
Термины и определения
Языкообразный перелом: для "языкообразных" переломов характерно образование фрагмента, включающего часть верхней поверхности пяточного бугра, заднюю таранно-пяточную суставную поверхность.
Импресионные переломы: характеризуются тем, что вторичные линии перелома проходят непосредственно кзади от суставной поверхности заднего таранно-пяточного сустава. Суставная поверхность пяточной кости, формирующая подтаранный сустав, вдавливается в губчатое вещество пяточной кости.
Перелом пяточной кости без смещения: - правильные взаимоотношения суставных поверхностей, правильная форма пяточной кости.
Антибактериальные препараты, антибиотики: «Антибактериальные препараты системного действия (АТХ-код: J01).
Нестероидные противовоспалительные препараты: нестероидные противовоспалительные препараты из группы нестероидные противовоспалительные и противоревматические препараты (АТХ-код: M01A).
1. Краткая информация по заболеванию или состоянию (группе заболеваний или состояний)
1.1. Определение заболевания или состояния (группы заболеваний или состояний)
Перелом пяточной кости - это нарушение целостности костной ткани пяточной кости, возникающее при воздействии сил различного вектора, превышающих потенциал прочности кости.
1.2. Этиология и патогенез заболевания или состояния (группы заболеваний или состояний)
Переломы пяточной кости чаще возникают при высокоэнергетической травме, например, при падении с высоты или ДТП [ 1].
Комментарий: Ведущую роль в формировании перелома пяточной кости оказывает воздействие аксиальной силы, при котором таранная кость «внедряется» в пяточную кость, вызывая перелом пяточной кости [2].
При воздействии аксиальной силы на внешнюю часть стопы возникает импрессия и варусная деформация пяточной кости. При действии того же усилия на внутреннюю часть стопы возникает импрессия с вальгусной деформацией пяточной кости. При резком воздействии такой же силы на носок возможна импрессия на уровне пяточно-кубовидного сустава. За счет отрывного механизма возможны отрывы пяточного бугра и краевые переломы пяточной кости [33, 36].
Особенности детского возраста: переломы пяточной кости у детей до 3 лет могут возникать при воздействии умеренной травмирующей силы. У детей до 7 лет чаще встречаются экстраартикулярные переломы пяточной кости, в большинстве случаев - это переломы бугра пяточной кости. У подростков паттерны переломов пяточной кости не имеют существенных отличий от переломов у взрослых [77, 78].
Переломы пяточной кости составляют 60% от всех переломов костей стопы и 1 -2% от повреждений всех костей скелета. 75% переломов пяточной кости - внутрисуставные [3, 4].
Особенности детского возраста: переломы пяточной кости у детей встречаются редко и составляют в среднем от 0,05% до 0,15% от всех переломов [79].
1.4. Особенности кодирования заболевания или состояния (группы заболеваний или состояний) по Международной статистической классификации болезней и проблем, связанных со здоровьем
S92.0 Перелом пяточной кости.
Существует много классификаций, однако, наиболее актуальными в клинической практике следует признать:
В 1952 году P. Essex-Lopresti на основании особенности механизма травмы выделил два типа переломов: «языкообразные» и «вдавленные». Эта классификация базируется на данных рентгенологического исследования [6].
Классификация Essex-Lopresti [6] (в зависимости от выхода вторичной линии перелома):
«вдавление суставной поверхности».
«языкообразный тип перелома».
В 1992 году Sanders предложил классификацию, которая базируется на данных КТ- исследования, а именно на коронарной проекции. Тип перелома соответствует характеру костных отломков, количеству линий перелома [7, 8].
КТ-классификация Sanders (в зависимости от количества отломков и их локализации при внутрисуставных переломах в коронарной проекции:
Переломы без смещения костных отломков.
Двухоскольчатые переломы задней фасетки, разделены на подтипы IIA, IIB, IIC в зависимости от расположения линии перелома.
Трёхоскольчатые переломы с наличием центрального импрессированного костного фрагмента. Разделяется на подтипы: IIIA, IIIB, IIIC.
Многооскольчатые переломы с выраженным смещением костных отломков.
КлассификацияАО/ОТА (Fracture and dislocation compendium - 2018) [5].
82 - Calcaneus
82A - Внесуставные переломы:
82А1 - Отрывной перелом пяточного бугорка или внесуставной «языкообразный перелом».
82А2 - Перелом тела пяточной кости.
82В - «Языкообразный» перелом задней фасетки.
82В1- «языкообразный» простой перелом.
82В3 - «языкообразный» мноогооскольчатый перелом.
82С - Полный внутрисуставной вдавленный перелом.
82С1 - Двухфрагментарные переломы.
82С2 - Трехфрагментарные переломы.
82С3 - Четырехфрагментарные переломы.
Особенности детского возраста: классификация Wiley и Proft учитывает особенности пяточной кости в детском возрасте [80]. По этой классификации выделают:
Экстраартикулярные переломы.
А - авульсивный перелом бугра пяточной кости,
B - вертикальный перелом тела пяточной кости,
С - горизонтальный перелом тела пяточной кости,
D - авульсивный перелом медиального отростка,
В, А - авульсивные переломы переднего отростка.
Интраартикулярные переломы.
A - без смещения,
B - языкообразный перелом,
С - передне-латеральный перелом со смещением,
D - перелом sustentaculum tali,
E - многооскольчатый перелом.
С целью выбора способа минимально-инвазивной репозиции перелома пяточной Атманский И.А. и Купитман М.Е. делят переломы пяточной кости на 2 типа [33]:
тип: с ротационным смещением фрагментов суставной поверхности,
тип: с вертикальным компрессионным смещением хотя бы одного фрагмента суставной поверхности.
При 1 типе возможна малоинвазивная репозиция каждого фрагмента шилом без использования дистрактора.
При 2 типе показано обязательное использование дистрактора и репозиция суставной поверхности снизу вверх толкателем и дополнительная репозиция части фрагментов шилом.
Для оценки состояния кожных покровов области пяточной кости и определения показаний к накостному остеосинтезу используется «ABCDEF-шкала оценки риска развития хирургических осложнений при оперативном лечении внутрисуставных переломов пяточной кости со смещением» [35].
Пациент жалуется на боль, нарушение опорно-двигательной функции нижней конечности, а также на возможный отек и деформацию с наличием гематом. Также возможны жалобы на наличие ран в пяточной области. Пациент в состоянии шока и с нарушенным сознанием жалоб не предъявляет. Визуально определяется деформация и дефигурация пяточной области и стопы, уплощение продольного свода, отек, экхимоз в области подошвы, пяточной кости и голеностопного сустава в сочетании с исчезновением естественного углубления с обеих сторон от ахиллова сухожилия из-за развивающегося отека мягких тканей [9, 10].
Особенности детского возраста: учитывая особенности строения костей у детей, переломы пяточной кости могут не сопровождаться такой яркой клинической картиной, как у взрослых [77].
2. Диагностика заболевания или состояния (группы заболеваний или состояний), медицинские показания и противопоказания к применению методов диагностики
Критерии установления диагноза/состояния: диагноз перелома пяточной кости устанавливается на основании следующего перечня исследований [9, 10]:
сбора анамнестических данных за травматическое повреждение;
физикального обследования: наличия данных за болезненность в зоне травмы, нарушения функции нижней конечности, локальный отек, деформацию, патологическую подвижность (визуальное исследование костной системы, пальпация костной системы, перкуссия костной системы);
инструментального обследования: данных рентгенографии стопы в одной проекции/двух проекциях с применением специальных укладок или компьютерной томографии нижней конечности;
лабораторных диагностических исследований (выполняются при госпитализации в рамках планирования дальнейшего лечения, в том числе оперативного).
Рекомендуется при лечении пациентов всех групп сбор анамнеза и жалоб при патологии костной системы с целью выявления обстоятельств травмы, механизма повреждения, времени, прошедшего с момента получения травмы, выявления
хронических заболеваний и факта приема лекарственных препаратов (см. также п.1.6 «Клиническая картина») [9, 10].
Уровень убедительности рекомендаций C (уровень достоверности доказательств - 5) Комментарии: наряду с механическим воздействием на мягкие ткани и реакцию окружающих тканей на повреждение важно учитывать наличие хронических заболеваний, влияющих на трофику тканей, таких, как сахарный диабет, сосудистая патология, курение, прием глюкокортикоидов [4]. Важно выяснить факт приема пациентом препаратов, влияющих на свертывающую систему крови. Прием данных препаратов, наряду с состоянием мягких тканей, влияют на время проведения оперативного вмешательства.
2.2. Физикальное обследование
Рекомендуется всем пациентам с переломами пяточной кости проводить физикальный осмотр (визуальное исследование костной системы), оценку состояния кожных покровов, нейротрофического статуса нижних конечностей. Осуществляется прием (осмотр, консультация) врача-травматолога-ортопеда первичный [11, 12].
Уровень убедительности рекомендаций С (уровень достоверности доказательств - 5) Комментарии: Важнейшим аспектом в выборе тактики лечения пациентов с переломами пяточной кости является состояние мягких тканей, окружающих пяточную кость [11].
При значительном смещении костных отломков возможно давление на мягкие ткани, особенно при переломах по типу «утиного клюва» и «языкообразных» переломах. Смещение костных отломков может вызывать натяжение мягких тканей с последующим развитием пузырей.
Оценка кровообращения в нижних конечностях при переломах костей в острый период травмы и в разные сроки послеоперационного периода является важной задачей, поскольку показатели циркуляции отражают тяжесть травмы и определяют динамику репаративных процессов [12].
2.3. Лабораторные диагностические исследования
Рекомендовано выполнение общего (клинического) анализа крови всем пациентам, которым поставлен диагноз перелома пяточной кости и планируется оперативное лечение, для определения степени анемии, исключения инфекционных заболеваний [20].
Уровень убедительности рекомендаций C (уровень достоверности доказательств - 5)
Рекомендовано определение основных групп по системе AB0 и определение антигена D системы Резус (резус-фактор) всем пациентам, которым поставлен диагноз перелома пяточной кости и планируется оперативное лечение, с целью заготовки компонентов крови и возможного переливания компонентов крови [37].
Уровень убедительности рекомендаций C (уровень достоверности доказательств - 5)
Рекомендовано исследование уровня креатинина в крови, всем пациентам, которым поставлен диагноз перелома пяточной и планируется оперативное лечение для оценки функции почек [37].
Уровень убедительности рекомендаций C (уровень достоверности доказательств - 5)
Рекомендовано исследование уровня глюкозы в крови, всем пациентам, которым поставлен диагноз перелома пяточной кости и планируется оперативное лечение, для исключения сахарного диабета [37].
Уровень убедительности рекомендаций C (уровень достоверности доказательств - 5)
Рекомендовано определение активности аланинаминотрансферазы в крови (АЛТ), определение активности аспартатаминотрансферазы в крови (АСТ) всем пациентам, которым поставлен диагноз перелома пяточной кости и планируется оперативное лечение, для определения функции печени [37].
Уровень убедительности рекомендаций C (уровень достоверности доказательств - 5)
Всем пациентам, которым поставлен диагноз перелома пяточной кости и планируется оперативное лечение, рекомендуется определение антител к бледной трепонеме (Treponema pallidum) в крови для определения инфицированности пациента в анамнезе [37].
Уровень убедительности рекомендаций C (уровень достоверности доказательств - 5)
Всем пациентам, которым поставлен диагноз перелома пяточной кости и планируется оперативное лечение, рекомендуется определение антитела класса M, G (IgM, IgG) к HBSAg Hepatitis B virus для определения инфицированности пациента вирусом гепатита В в анамнезе [37].
Уровень убедительности рекомендаций C (уровень достоверности доказательств - 5)
Всем пациентам, которым поставлен диагноз перелома пяточной кости и планируется оперативное лечение, рекомендуется определение антитела класса M, G (IgM, IgG) к Hepatitis С virus для определения инфицированности пациента вирусом гепатита С в анамнезе [37].
Уровень убедительности рекомендаций C (уровень достоверности доказательств - 5)
Всем пациентам, которым поставлен диагноз перелома пяточной кости и планируется оперативное лечение, рекомендуется исследование уровня антител классов M, G (IgM, IgG) к вирусу иммунодефицита человека ВИЧ-1/2 и антигена p24 (Human immunodeficiency virus HIV 1/2 + Agp24) в крови для определения инфицированности пациента ВИЧ в анамнезе [37].
Уровень убедительности рекомендаций C (уровень достоверности доказательств - 5) Комментарии: Данные лабораторных исследований не являются определяющими для постановки диагноза, но необходимы для планирования оперативного вмешательства и тактики дальнейшего лечения, осуществления послеоперационного лабораторного контроля. Дополнительные методы обследования должны быть применены при наличии у пациента сопутствующих заболеваний.
Особенности детского возраста: не рекомендуются лабораторные исследования при переломах пяточной кости без смещения и импрессионных переломах, требующих консервативного лечения и при отсутствии значимых повреждений других отделов опорнодвигательного аппарата [81].
Уровень убедительности рекомендаций C (уровень достоверности доказательств - 5).
Рекомендовано проводить рентгенографию стопы в одной проекции/двух проекциях в боковой проекции и при необходимости в дополнительных проекциях всем пациентам, которым поставлен диагноз перелома пяточной кости, с целью определения положения костных отломков и определения дальнейшей тактики лечения [49].
Уровень убедительности рекомендаций С (уровень достоверности доказательств - 4) Комментарий. Боковая проекция является обязательной. При недостаточности информации о характере перелома необходимо выполнять дополнительные проекции и КТ исследование пяточных костей (компьютерную томографию кости), [3, 13, 40].
Рекомендовано пациентам, для которых недостаточно информации о характере перелома по данным рентгенографии стопы в одной проекции (в боковой), выполнять компьютерную томографию кости (пяточной кости) при наличии возможности, с целью определения положения костных отломков и определения дальнейшей тактики лечения [9].
Уровень убедительности рекомендаций С (уровень достоверности доказательств - 5)
Рекомендовано у пациентов, для которых недостаточно информации о характере перелома по данным рентгенографии стопы в боковой проекции, при невозможности выполнения компьютерной томографии кости (пяточной кости) — использовать дополнительные проекции при рентгенографии стопы с целью определения положения костных отломков и определения дальнейшей тактики лечения [14].
Уровень убедительности рекомендаций С (уровень достоверности доказательств - 4) Комментарий. Аксиальная проекция по Харрису - дополнительная проекция. Рентгенограмму (рентгенография стопы) по Харрису получают при тыльном сгибании в голеностопному суставе, луч направляют под косым углом к подошвенной части пяточной области. Этот снимок позволяет определить масштаб внутрисуставной травмы и степени импрессии фрагментов перелома.
Проекция Бродена - дополнительная проекция. Положение пациента лежа на спине, стопа ротирована кнутри так, чтобы лодыжки были параллельны кассете. Стопа располагается на кассете, которая располагается в поперечном направлении, по отношении к нижней конечности. Пучок рентгеновского излучения центрируется на область подтаранного сустава и наклоняется в краниальном направлении, под углом 30°. Проекция Бродена выполняется c целью визуализации характера перелома затрагивающих задние отделы суставной фасетки подтаранно-пяточного сустава [3, 9, 13, 40].
2.5. Иные диагностические исследования
Не требуются.
3. Лечение, включая медикаментозную и немедикаментозную терапии, диетотерапию, обезболивание, медицинские показания и противопоказания к применению методов лечения
3.1. Консервативное лечение
Рекомендуется консервативное лечение пациентам с переломами пяточной кости без смещения и с допустимым смещением костных отломков, с целью начала раннего функционального лечения [2, 4, 36].
Уровень убедительности рекомендаций С (уровень достоверности доказательств - 5) Комментарий: Консервативная терапия также применима у пациентов, отказавшихся от оперативного лечения и имеющих противопоказания к оперативному лечению. Степень допустимости смещения на настоящий момент точно не определена и зависит от индивидуальных клинических и рентгенологических данных [2, 4, 36].
Не рекомендуется консервативное лечение у пациентов с переломами пяточной кости со значительным смещением отломков, когда имеется угроза сдавления тканей, угроза перфорации кожи [4, 23, 35].
Для взрослой популяции Уровень убедительности рекомендаций А (уровень достоверности доказательств - 2)
Для детской популяции Уровень убедительности рекомендаций С (уровень достоверности доказательств - 5)
Комментарии: Основой консервативного лечения является ранняя функциональная терапия, направленная на активизацию пациента. Данный тип лечения применим у пациентов с переломами пяточной кости без смещения отломков и с допустимым смещением отломков, а также у пациентов с высоким риском инфекционных осложнений со стороны мягких тканей [16, 21, 22, 36].
В первые 1-3 суток (пока нарастает отек мягких тканей) показан покой, возвышенное положение конечности, местное охлаждение (гипотермия локальная), при выраженном болевом синдроме - назначение препаратов из группы НПВП [23]. Необходимость наложения гипсовой повязки при переломах костей или фиксации сегмента другими средствами иммобилизации определяется индивидуально. Уровень наложения повязки до верхней трети голени. При наличии фликтен и выраженного отека стопы выполняется контроль состояния мягких тканей и устранение возможного сдавления повязкой. Возвышенное положение конечности и назначение комплекса упражнений (лечебной физкультуры) способствует нормализации местного кровообращения и регрессу отёка. После уменьшения отека и снижения болевого синдрома возможна дозированная нагрузка с использованием средств внешней иммобилизации (гипс, ортез, брейс, индивидуальные съемные повязки - внешние ортопедические приспособления, предназначенные для разгрузки заднего отдела стопы и удерживающее стопу в нейтральном опорном положении).
Использование индивидуальных съемных фиксирующих изделий позволяет пациентам заниматься лечебной физкультурой, начать раннюю нагрузку на поврежденную конечность, оценить состояние мягких тканей. Объем ЛФК включает укрепление мышц нижних конечностей и разработку движений в голеностопном суставе и суставах стопы. Разработка протоколов нагрузки требует индивидуального подхода и нуждается в дополнительных исследованиях [24, 23].
Пациентам детского возраста рекомендуется гипсовая иммобилизация на 4-6 недель с последующим рентгенологическим контролем для исключения вторичного смещения детям с переломами пяточной кости без смещения [82].
Уровень убедительности рекомендаций С (уровень достоверности доказательств - 5).
Рекомендуется оперативное лечение взрослым пациентам, которым поставлен диагноз перелома пяточной кости, со значительным смещением костных отломков, с целью устранения смещения костных отломков и достижения лучших функциональных результатов [24].
Уровень убедительности рекомендаций А (уровень достоверности доказательств - 2)
Рекомендуется всем-пациентам с переломами пяточной кости со значительным смещением отломков с целью улучшения анатомических и функциональных результатов лечения применять хирургические методы лечения, позволяющие устранить значительные смещения и добиться фиксации отломков на время сращения перелома. С этой целью может применяться открытая репозиция и внутренняя фиксация перелома медицинскими изделиями, закрытая и минимально инвазивная и инструментально-ассистированная (репозиция отломков костей при переломах), в том числе под артроскопическим контролем, репозиция отломков с последующей фиксацией погружными конструкциями (пластины, винты), возможно использование наружных фиксаторов, в качестве как этапного, так и окончательного метода фиксации отломков [22, 23, 25, 27-36].
Для взрослых пациентов Уровень убедительности рекомендаций С (уровень достоверности доказательств - 4)
Для детей Уровень убедительности рекомендаций С (уровень достоверности доказательств - 5)
Комментарий: При остеосинтезе пяточной кости используются следующие имплантаты: пластина накостная для фиксации переломов винтами, нерассасывающаяся, стерильная***, пластина накостная для фиксации переломов винтами, нерассасывающаяся, нестерильная***, винт костный ортопедический, нерассасывающийся, стерильный***, винт костный ортопедический, нерассасывающийся, нестерильный***, проволока костная ортопедическая***.
Цели оперативного лечения:
о Стремиться к достижению репозиции фрагментов с межфрагментарным контактом костных отломков, восстановлением суставной фасетки и рентгенологических критериев восстановления анатомии пяточной кости.
о Достичь стабильной фиксации отломков, позволяющей проводить раннюю разработку движений в смежных суставах.
о Восполнение межотломковых костных дефектов, при наличии больших костных дефектов, создающих риск вторичного смещения костных отломков. Дефекты могут быть восполнены ауто- или аллокостью, преимущественно губчатого или кортикально-губчатого характера
о Соответствие расположения элементов металлоконструкции предписанному медицинской технологией.
о Достижение надежного металлокостного соединения всех элементов без механического или термического повреждения инструментами и фиксатором костной ткани.
о Отсутствие полостей при ушивании раны.
о Установка дренажа (при остеосинтезе пластиной — через L-образный доступ), обеспечение полноценного оттока раневого отделяемого в первые сутки после операции.
о Проводятся перевязки с растворами из группы «Антисептики и дезинфицирующие средства» (АТХкод: D08A), удаление дренажа на следующий день после операции.
о Учитывая сложную анатомию пяточной кости и характер переломов, в ряде случаев не удается полностью восстановить анатомию кости.
Не рекомендуется оперативное лечение низкокомплаентным пациентам, пациентам в состоянии декомпенсации сахарного диабета и пациентам с трофическими нарушениями мягких тканей нижних конечностей, сопряженных с высоким риском развития послеоперационных инфекционных осложнений, с целью профилактики послеоперационных осложнений [25, 39].
Уровень убедительности рекомендаций С (уровень достоверности доказательств - 5)
Не рекомендуется проведение открытой репозиции и накостного остеосинтеза пациентам с переломами пяточной кости со смещением при наличии пузырей, фликтен, выраженного отека нижних конечностей, нарушениях целостности кожных покровов, а также относящихся к красной зоне по шкале ABCDEF (Приложение Г3). Таким пациентам рекомендуется закрытая малоинвазивная репозиция при отсутствии абсолютных противопоказаний к операции с целью профилактики послеоперационных осложнений [3, 4, 30-31].
Уровень убедительности рекомендаций С (уровень достоверности доказательств - 5) Комментарии: Оперативное лечение пациентам, относящимся к желтой и красной зонам по шкале ABCDEF, должно быть отложено до заживления кожных покровов и регресса отека мягких тканей [34, 36]. При выраженном отеке мягких тканей открытое оперативное вмешательство целесообразно отложить на 7-21 сутки до регресса посттравматического отека и заживления кожных покровов. Появление морщинистости кожи - признак, позволяющий судить о готовности мягких тканей к операции. Если заживление кожных покровов превышает эти сроки, целесообразно поднимать вопрос о консервативном лечении перелома [26].
Рекомендовано всем взрослым пациентам в послеоперационном периоде всем пациентам с переломами пяточной кости, которым выполнялось оперативное лечение, проводить рентгенографию стопы в прямой, боковой и при необходимости в дополнительных проекциях или выполнять компьютерную томографию стопы (компьютерную томографию кости) с целью контроля эффективности оперативного лечения [44].
Уровень убедительности рекомендаций С (уровень достоверности доказательств - 4)
Пациентам детского возраста рекомендована анатомическая репозиция и стабилизация для предотвращения дегенеративных изменений в подтаранном суставе, вторичных деформаций и развития болевых синдромов у детей с интраартикулярными переломами пяточной кости со значительным смещением [78].
Уровень убедительности рекомендаций С (уровень достоверности доказательств - 5).
Рекомендовано отдавать предпочтение минимально инвазивной репозиции у детей с переломами пяточной кости для избегания трофических нарушений при наличии технической возможности [78, 81].
Уровень убедительности рекомендаций С (уровень достоверности доказательств - 5).
3.3. Обезболивание
Специальные алгоритмы для обезболивания при переломах пяточной кости не разработаны и в литературе не описаны.
Рекомендовано обезболивание НПВП из группы АТХ M01A «Нестероидные противовоспалительные и противоревматические препараты», в соответствии с утвержденными порядками их применения, соответствующими дозировками и сведениями аллергоанамнеза пациента всем пациентам с переломами пяточной кости, с целью купирования болевого синдрома [43].
Уровень убедительности рекомендаций С (уровень достоверности доказательств - 5)
Рекомендовано использование НПВП из группы АТХ M01A «Нестероидные противовоспалительные и противоревматические препараты» детям с переломами пяточной кости с учетом возрастных ограничений и противопоказаний, а также наличия или отсутствия аллергических реакций с целью уменьшения или купирования болевого синдрома [84].
Уровень убедительности рекомендаций С (уровень достоверности доказательств - 5) Комментарий: Режим дозирования обезболивающих препаратов для детей представлен в приложении А3.1.
3.4. Диетотерапия
Рекомендовано назначение общей восстановительной диеты всем пациентам, которым поставлен диагноз перелом пяточной кости, за исключением пациентов с сопутствующими заболеваниями терапевтического профиля, требующими коррекции диеты, с целью восстановления организма после травмы и дополнительного стимулирования консолидации перелома [48].
Уровень убедительности рекомендаций С (уровень достоверности доказательств - 5)
3.5. Иное лечение
Хирургическая антибактериальная профилактика
При хирургическом лечении пациентов с переломами пяточной кости рекомендуется проводить хирургическую антибиотикопрофилактику (ХАП) инфекции области хирургического вмешательства однократным предоперационным введением антибактериального препарата системного действия с целью снижения риска развития инфекционных осложнений [85, 86].
Уровень убедительности рекомендации C (уровень достоверности доказательств - 5).
Комментарии. В соответствии с международными клиническими руководствами по профилактике инфекций области хирургического вмешательства [85, 87] задачей ХАП является создание бактерицидных концентраций антибактериального препарата системного действия в тканях, подвергающихся микробной контаминации во время операции для профилактики инфекций области хирургического вмешательства. Необходимость проведения ХАП определяется классом хирургической раны предстоящей операции: ХАП не требуется для «чистых» операционных ран, не связанных с установкой имплантатов ортопедических и металлических конструкций. ХАП следует проводить: для условно-чистых и контаминированных операционных ран; для «чистых» операционных ран, при которых устанавливаются импланты ортопедические и металлические конструкции. При инфицированных («грязных») ранах ХАП не показана, проводится антибиотикотерапия.
У пациентов с переломами пяточной кости рекомендуется использовать в качестве основных препаратов с целью хирургической антибиотикопрофилактики при проведении оперативных вмешательств в травматологии и ортопедии цефалоспорины первого и второго поколения (I и II поколения, АТХ J01DB, J01DC) (цефазолин**, цефуроксим**), в качестве альтернативы при непереносимости бета- лактамных антибактериальных препаратов - антибактериальные препараты гликопептидной структуры (ванкомицин**), линкозамиды (#клиндамицин**) [85] с учетом возрастных ограничений в инструкциях по медицинскому применению. Уровень убедительности рекомендации С (уровень достоверности доказательств - 5).
Комментарии. Для пациентов с неотягощенным аллергоанамнезом и без значимых факторов риска носительства метициллин-резистентных стафилококков для профилактики ХАП используются цефалоспорины первого и второго (I и II поколения) (цефазолин**, цефуроксим**), которые вводятся внутривенно в интервале от 30 до 60 минут до разреза кожи. При непереносимости бета- лактамных антибактериальных препаратов следует назначить ванкомицин**, который вводится в течение минимум 60 мин с началом внутривенной инфузии за 2 ч до разреза, либо #клиндамицин**. При значимых факторах риска носительства метициллин-резистентных стафилококков (MRS) схема ХАП должна включать антибактериальные препараты системного действия (АТХ: J01) с анти-MRS- активностью (ванкомицин**). В большинстве случаев для эффективной профилактики достаточно одной предоперационной дозы антибактериального препарата системного действия. При длительных вмешательствах (более 3 ч) или массивной кровопотере следует назначать дополнительную интраоперационную дозу антибактериального препарата системного действия (АТХ: J01) (ориентировочный срок интраоперационного введения - через 2 периода полувыведения после предоперационной дозы). Введение антибактериальных препаратов системного действия (АТХ: J01) после закрытия раны в операционной нецелесообразно даже при наличии установленных дренажей.
В проспективном рандомизированном клиническом исследовании показано, что введение антибактериального препарата с целью ХАП через 1 минуту после наложения жгута продемонстрировало статистически значимое преимущество в плане снижения частоты ИОХВ, времени заживления ран и общей удовлетворенностью пациентов в сравнении с введением антибиотика до наложения жгута [88].
Разовые дозы основных антибактериальных препаратов системного действия для ХАП при оперативных вмешательствах в травматологии и ортопедии у взрослых: цефазолин** 2 г (при весе пациента >120 кг — 3 г), цефуроксим** 1,5 г, #клиндамицин** 900 мг, ванкомицин** по 15 мг/кг в виде медленной в/в инфузии. Разовые дозы для детей следует рассчитывать по фактическому весу: цефазолин** 30 мг/кг, цефуроксим** 50 мг/кг, #клиндамицин** 10 мг/кг, ванкомицин** 15 мг/кг, применение фторхинолонов (АТХ: J01MA) в период формирования костно-суставной системы противопоказано в связи с риском развития артропатии.
Рекомендуется пациентам с открытыми переломами пяточной кости проведение антибактериальной терапии продолжительностью не более 72 часов после закрытия раны [89].
Уровень убедительности рекомендации A (уровень достоверности доказательств - 2).
Комментарии. В случае открытых переломов профилактическое введение антибиотиков эффективно для предупреждения ранней инфекции, при этом препарат следует вводить как можно скорее после травмы.
Антибиотиком выбора является цефазолин**, однако пациентам с открытыми высокоэнергетическими переломами, повреждением магистральных сосудов, при сильно загрязненных ранах целесообразно расширение спектра назначаемых антибиотиков за счет грамотрицательных возбудителей. В таких случаях для взрослых пациентов возможно рассматривать добавление к цефазолину** #гентамицина**(в дозе 6 мг/кг 1 раз в сутки) [90, 91]. Альтернативой указанной комбинации для взрослых пациентов может быть #ампициллин+сульбактам** (в дозе 3,0 г каждые 8 часов в/в в течение 3 суток) [92], последний, особенно актуален в случае риска развития клостридиальной инфекции. По мнению большинства исследователей при открытых переломах III типа по Gustilo и Anderson антибиотики не следует продолжать более 72 часов после закрытия мягкотканной раны [93].
Возможна пролонгация сроков антибактериальной терапии в зависимости от сроков поступления пациента с момента оказания первичной медицинской помощи до момента оказания специализированной помощи.
При хирургическом лечении пациентов с переломами пяточной кости рекомендуется проводить антибиотикопрофилактику инфекции области хирургического вмешательства продолжительностью не более 24 часов [94].
Уровень убедительности рекомендации C (уровень достоверности доказательств - 5).
Комментарии: В соответствии с действующей в РФ нормативной документацией (СанПиН 3.3686-21) и клиническими рекомендациями [94] с целью достижения эффективной концентрации антибактериального препарата в тканях и сыворотке крови в момент разреза кожи, антибиотики для профилактики инфекции области хирургического вмешательства следует вводить внутривенно в интервале от 30 до 60 минут до разреза кожи, при применении ванкомицина** в течение 2 часов до разреза. Максимальная продолжительность профилактического введения антибактериального препарата системного действия не должна превышать 24 часов после окончания операции. В большинстве случаев для эффективной профилактики достаточно одной дозы антибактериального препарата системного действия. Дополнительные дозы следует вводить при длительных операциях, когда от момента предоперационного введения антибактериального препарата системного действия проходит время периода полувыведения примененного антибактериального препарата системного действия и возникает риск снижения концентрации антибактериального препарата системного действия ниже бактерицидной и повышение риска ИОХВ.
4. Медицинская реабилитация и санаторно-курортное лечение, медицинские показания и противопоказания к применению методов реабилитации, в том числе основанных на использовании природных лечебных факторов
Перелом пяточной кости — это сложная травма, надолго лишающая пациента двигательной активности и влияющая на опороспособность нижней конечности, что диктует необходимость в длительной реабилитации.
Следует отметить, что принципиальной разницы в реабилитации при консервативном и оперативном лечении переломов пяточной кости нет. Во всех случаях целью реабилитации является сохранение повседневной двигательной активности и восстановление опороспособности конечности [50, 56, 67]
Рекомендуется при консервативном лечении переломов пяточной кости домашняя реабилитация по программе периода иммобилизации, которая составляется врачом ФРМ с целью профилактики осложнений в результате длительной иммобилизации сустава и уменьшения отрицательного воздействия гипокинезии на организм пациента с целью улучшения результатов лечения [53, 58, 65, 69]
Уровень убедительности рекомендации C (уровень достоверности доказательств - 5) Комментарии: в период кратковременного пребывания пациента в стационаре для уменьшения боли, отека области стопы и голени, поврежденной конечности придается возвышенное положение, проводится криотерапия локальная (холодовые пакеты) по назначению врача ФРМ [50, 51, 53].
После фиксации перелома гипсовой повязкой врач ФРМ составляет индивидуальную программу реабилитации в форме памятки для пациента. Учитывая сложность перелома, период иммобилизации гипсовой повязкой длительный- до 6-8 недель, программа реабилитации направлена на улучшение кровообращения в конечности, профилактику развития мышечной гипотрофии и тугоподвижности в суставах, а также обучение ходьбе без опоры на поврежденную конечность с дополнительными средствами опоры [49, 50, 52, 57, 66]
Программа состоит из:
покоя и возвышенного положения конечности первые 2 недели;
ЛГ с назначением изометрических упражнений для мышц бедра и голени, идеомоторных упражнений для голеностопного сустава, облегченных движений в коленном суставе, динамических упражнений для тазобедренного сустава на стороне перелома и суставов здоровых конечностей в чередовании с дыхательными упражнениями;
ходьбы с помощью опоры на ходунки или костыли без опоры на поврежденную ногу.
Рекомендуется при консервативном лечении переломов пяточной кости амбулаторная реабилитация (услуги по медицинской реабилитации пациента, перенесшего травму опорно-двигательной системы) (дневной стационар) по программе постиммобилизационного периода, под наблюдением специалистов мультидисциплинарной реабилитационной бригады с целью восстановления функции суставов конечности, мышечной силы и опороспособности ноги с целью улучшения результатов лечения [49, 50, 52, 57, 58, 65, 66].
Уровень убедительности рекомендации C (уровень достоверности доказательств - 4)
Комментарии. После снятия гипсовой повязки врач ФРМ основываясь на состоянии кожи области стопы и голени, степени контрактуры голеностопного сустава и суставов стопы, степени гипотрофии мышц голени и бедра, составляет индивидуальную программу реабилитации с назначением средств ЛФК и физиотерапии[52, 57, 66, 70, 71, 72, 73, 74, 75]:
для улучшения состояния кожи и кровообращения в конечности - лазеротерапия (низкоинтенсивное лазерное облучение кожи), криотерапия локальная, магнитотерапия (воздействие магнитными полями при костной патологии), прессотерапия (баровоздействие - прессотерапия конечностей, пневмокомпрессия);
для улучшения подвижности суставов и мышечного тонуса - облегченные, пассивно-активные упражнения для голеностопного сустава, лечение положением, простейшая и пассивная механотерапия, физические упражнения в воде, аппаратный массаж и/или подводный душ-массаж лечебный и/или массаж при переломе костей и/или стопы и голени и/или массаж голеностопного сустава электротерапия чрескожная короткоимпульсная электростимуляция (ЧЭНС), ультразвуковая терапия, микроволновая терапия (воздействие сверхвысокочастотным электромагнитным полем, воздействие электрическим полемультравысокой частоты (ЭП УВЧ)).
для профилактики развития постравматического плоскостопия- специальные упражнения для укрепления мышц стопы и голени, массаж стопы.
Назначается обучение и тренировка в ходьбе с дозированной возрастающей нагрузкой на область пятки и всю стопу в ортопедической обуви.
После контрольной рентгенографии стопы в двух проекциях, подтверждающей наличие консолидации перелома, уменьшения болевого синдрома и улучшения подвижности голеностопного сустава проводится повторная консультация врача ФРМ для коррекции программы реабилитации с назначением для дальнейшего восстановления функции суставов и укрепления мышц стопы и голени резистентных физических упражнений, статических упражнений, активной механотерапии, электростимуляции мышц, массажа нижней конечности медицинского и/или массажа стопы и голени;
для восстановления опороспособности ноги тренировку, равновесия, баланса, проприоцепции с БОС, дозированной ходьбы с возрастающей нагрузкой.
Вопрос о сроках осевой нагрузки на ногу решается индивидуально совместно с врачом-травматологом-ортопедом в зависимости от тяжести перелома и составляет до трех месяцев.
Для поддержки свода стопы применяются различные супинаторы, что обеспечивает поддержание мышц стопы.
Рекомендуется при оперативном лечении переломов пяточной кости независимо от метода фиксации отломков, стационарная реабилитация (услуги по медицинской реабилитации пациента, перенесшего операцию на опорно-двигательной системе) по программе раннего послеоперационного периода, которую составляет врач ФРМ с целью улучшения результатов лечения [49, 50, 65, 76].
Уровень убедительности рекомендации C (уровень достоверности доказательств - 4)
Комментарии. После операции голеностопный сустав фиксируется в сьемном жестком ортезе или гипсовой лонгете, длительность ношения которого и вид определяет оперирующий врач-травматолог-ортопед.
После консультации врача ФРМ составляется программа реабилитации с целью уменьшения боли и отека, улучшения трофики тканей и кровообращения в конечности, активизации пациента и обучения передвижению с помощью костылей без опоры на оперированную ногу
Назначается:
- с первого дня после операции возвышенное положение конечности, криотерапия локальная (аппаратная или холодовые пакеты), магнитотерапия (воздействие переменным магнитным полем (ПеМП), воздействие магнитными полями, воздействие магнитными полями при костной патологии), электроаналгезия (чрескожная короткоимпульсная электростимуляция (ЧЭНС), динамические физические упражнения для здоровых конечностей, дыхательные упражнения.
-со второго для после операции программа реабилитации дополняется изометрическими и идеомоторными упражнениями, свободными динамическими упражнениями в тазобедренном и коленном суставах оперированной конечности. Специалист по физической реабилитации (кинезиоспециалист) проводит обучение ходьбе c помощью костылей без опоры на оперированную конечность.
При повторной консультации врача ФРМ перед выпиской из стационара, пациент получает памятку для продолжения реабилитации дома.
Рекомендуются при оперативном лечении переломов пяточной кости услуги по медицинской реабилитации пациента, перенесшего операцию на опорно-двигательной системе в амбулаторных условиях (дневной стационар) по программе позднего послеоперационного периода, которая проводится мультидисциплинарной реабилитационной бригадой с целью восстановления функции суставов конечности, мышечной силы и опороспособности ноги. [24, 31, 45, 46].
Для взрослых пациентов Уровень убедительности рекомендации В (уровень достоверности доказательств - 2)
Для детей Уровень убедительности рекомендации С (уровень достоверности доказательств - 5)
Комментарии. Длительность ношения послеоперационный ортеза определяет оперирующий врач-травматолог-ортопед, но на время выполнения лечебных физических упражнений ортез может сниматься. Ходьба на костылях без нагрузки на оперированную конечность продолжаются до момента консолидации перелома в среднем 8 - 12 недель. После контрольной рентгенографии стопы в двух проекциях и приема (осмотра, консультации) врача-травматолога-ортопеда решается вопрос о дозированной осевой нагрузке на ногу. Целью этого периода реабилитации является восстановление функции и опороспособности конечности.
После снятия гипсовой повязки врач ФРМ основываясь на состоянии кожи области стопы и голени, степени контрактуры голеностопного сустава и суставов стопы, степени гипотрофии мышц голени и бедра, составляет индивидуальную программу реабилитации с назначением средств ЛФК и физиотерапии для улучшения состояния кожи и кровообращения в конечности - лазеротерапия, криотерапия локальная, воздействие магнитными полями при костной патологии, баровоздействие - прессотерапия конечностей, пневмокомпрессия.
- для улучшения подвижности суставов и мышечного тонуса - облегченные, пассивно-активные упражнения для голеностопного сустава, лечение положением, простейшая и пассивная механотерапия, физические упражнения в воде, подводный душ- массаж лечебный, массаж при переломе костей, массаж стопы и голени, массаж голеностопного сустава, электротерапия, Чрескожная короткоимпульсная электростимуляция (ЧЭНС), ультразвуковая терапия, микроволновая терапия
- для профилактики развития постравматического плоскостопия- специальные упражнения для укрепления мышц стопы и голени, массаж стопы.
Назначается обучение и тренировка в ходьбе с дозированной возрастающей нагрузкой на область пятки и всю стопу в ортопедической обуви.
После контрольной рентгенографии стопы в двух проекциях, подтверждающей наличие консолидации перелома, уменьшения болевого синдрома и улучшения подвижности голеностопного сустава проводится повторная консультация врача ФРМ для коррекции программы реабилитации с назначением
-для дальнейшего восстановления функции суставов и укрепления мышц стопы и голени резистентных физических упражнений, статических упражнений, активной механотерапии, электростимуляции мышц, массаж нижней конечности медицинский, массаж стопы и голени, массаж голеностопного сустава.
-для восстановления опороспособности ноги тренировку, равновесия, баланса, проприоцепции с БОС, дозированной ходьбы с возрастающей нагрузкой.
Рекомендовано- пациентам с переломами пяточной кости, учитывая особенности строения пяточной кости и сложность ее повреждения строго соблюдать рекомендации по адекватной осевой нагрузки на ногу и профилактику развития посттравматического плоскостопия c ношением ортопедических стелек и/или обуви до 12 месяцев после травмы с целью улучшения результатов лечения [52, 53, 56, 63, 64, 65, 70, 76].
Уровень убедительности рекомендации С (уровень достоверности доказательств - 5)
Рекомендовано, пациентам с переломами пяточной кости, учитывая длительность периода иммобилизации и ограничение повседневной двигательной активности и работоспособности, на всех этапах лечения консультация специалиста по эргореабилитации и медицинского психолога (прием (тестирование, консультация) медицинского психолога) с целью улучшения результатов лечения. [56, 58, 59].
Уровень убедительности рекомендации C (уровень достоверности доказательств - 5)
Рекомендовано реабилитационное лечение (услуги по медицинской реабилитации пациента, перенесшего травму опорно-двигательного аппарата и/или услуги по медицинской реабилитации пациента, перенесшего операцию на опорнодвигательной системе) у детей после лечения по поводу перелома пяточной кости, для восстановления амплитуды движений в суставах, локомоторной функции [82].
Уровень убедительности рекомендаций С (уровень достоверности доказательств - 5)
5. Профилактика и диспансерное наблюдение, медицинские показания и противопоказания к применению методов профилактики
Специальная профилактика для переломов пяточной кости не разработана. Актуальны мероприятия по снижению травматизма, соблюдению техники безопасности в быту и на производстве. Диспансерное наблюдение при переломах пяточной кости не регламентировано.
Рекомендуется пациентам с переломами пяточной кости проведение ортопедических осмотров прием (осмотр, консультация) врача-травматолога- ортопеда первичный) в срок 1-2 месяца, 6 месяцев и 1 год с момента получения травмы либо выполнения оперативного вмешательства, всем пациентам с переломами пяточной кости, с целью динамического контроля за восстановлением пациента и своевременной смены нагрузок [10].
Уровень убедительности рекомендаций С (уровень достоверности доказательств - 5) Комментарий: Физикальные осмотры целесообразно дополнять контрольной рентгенографией стопы в боковой и прямой проекциях.
Рекомендовано динамическое наблюдение (прием (осмотр, консультация) врача травматолога-ортопеда первичный) у детей с переломами пяточной кости после проведенного лечения на сроках 1 -3 месяца, 6 месяцев, 1 год для своевременного выявления анатомических нарушений и определения дальнейшей тактики [81]. Уровень убедительности рекомендаций С (уровень достоверности доказательств - 5)
6. Организация оказания медицинской помощи
Показания для госпитализации в медицинскую организацию:
Выраженный болевой синдром, выраженный посттравматический отек и другие изменения м/т (мягких тканей), угроза развития сдавления мягких тканей, необходимость дообследования и оперативного лечения.
Показания к выписке пациента из медицинской организации:
Регрессирование болевого синдрома, гладко протекающий послеоперационный период, активизация пациента и начало медицинской реабилитации.
7. Дополнительная информация (в том числе факторы, влияющие на исход заболевания или состояния)
Пациентам, у которых диагностирован перелом пяточной кости, необходимо проводить оценку функционального состояния стопы с применением Функционального индекса стопы (см. Приложение Г1). Также всем пациентам с переломом пяточной кости необходимо проводить оценку функциональных возможностей стопы и голеностопного сустава с использованием Вопросника функциональных возможностей стопы и голеностопного сустава (см. Приложение Г2).
Критерии оценки качества медицинской помощи

Список литературы
Toussaint R.J., Lin D., Ehrlichman L.K. et al. Peroneal tendon displacement accompanying intra-articular calcaneal fractures. J Bone Joint Surg Am. 2014; 96: 310-5.
Razik A., Harris M., Trompeter A. Calcaneal fractures: Where are we now? Strat Traum Limb Recon. 2018; 13: 1-11.
Tomesen T., Biert J., Frolke J.P.M. Treatment of displaced intra-articular calcaneal fractures with closed reduction and percutaneous screw fixation. J Bone Joint Surg Am. 2011; 93: 920928.
Mordecai S.C., Ray P.S. Management of calcaneal fractures: an evidence-based approach. Orthop. Trauma. 2018; 32 (6): 388-393.
Fracture and Dislocation Classification Compendium — 2018. J. Orthopaedic Trauma 2018. 32 (Suppl.).
Ezzex-Lopresti P. The mechanism, reduction technique, and results in fractures of the oscalcaris. Br J Surg. 1952; 39(157): 395-419.
Sanders R., Fortin P., DiPasquale A. et al. The results of operative treatment of displaced intra-articular calcaneal fractures using a CT scan classification //H. Tscherne et al. (eds.) Major fractures of the pilon, the talus, and the calcaneus. Berlin; Heidelberg: Springer, 1993: 175-194.
M. Galluzzo, F. Greco, M. Pietragalia, et. al. Calcaneal fractures: radiological and CT evaluation and classification systems Acta Biomed 2018; 89 (Suppl.1): 138-150.
Саймон Р.Р., Шерман С.С., Кенигснехт С.Дж. Неотложная травматология и ортопедия. Верхние и нижние конечности. 2014: 516 c.
Giannoudis P.V., Pape H.C. Practical procedures in orthopaedic trauma surgery. 2nd ed. Cambridge University Press, 2014: 844 p.
Кулик Н.Г., Хоминец В.В., Остапченко А.А. и др. Значение неинвазивных инструментальных методов исследования нарушения периферического кровообращения у больных с закрытыми внутрисуставными переломами пяточной кости. Современные проблемы науки и образования. 2016; (3).
Ардашев И.П., Афонин Е.А., Власова И.В. и др. Диагностика сосудистых нарушений при переломах костей стопы. Вестн. новых мед. технологий. 2010; ХVП (1): 159.
Gardner M.J., Nork S.E., Barei D.P. et al. Secondary soft tissue compromise in tongue-type calcaneus fractures. J. Orthop. Trauma. 2008; 22 (7): 439-445.
Kwon D.G., Chung C.Y., Lee K.M. et al. Revisit of Braden’s view for intraarticular calcaneal fracture. Clin. Orthop. Surg. 2012; 4 (3): 221-226.
van Hoeve S., de Vos J., Verbruggen J.P. et al. Gait Analysis and Functional Outcome After Calcaneal Fracture. J Bone Joint Surg Am. 2015; 97 (22): 1879-1888.
Guerado E, Bertrand ML, Cano JR. Management of calcaneal fractures: what have we learnt over the years? Injury. 2012; 43 (10): 1640-50.
Badillo K, Pacheco JA, Padua SO, Gomez AA, Colon E, Vidal JA. Multidetector CT evaluation of calcaneal fractures. Radiographics. 2011; 31(1): 81-92.
Giannoudis P.V., Pape H.C. Practical procedures in orthopaedic trauma surgery. 2nd ed. Cambridge University Press, 2014: 844 p.
Shengli Xia et. al. Computed tomography imaging-based preoperative virtual simulation for calcaneal fractures reduction. J. Foot Ankle Surger. 2019; 58: 248-252.
Desai N., Schofield N., Richards T. Perioperative patient blood management to improve outcomes. Anesth Analg. 2018; 127 (5): 1211-1220.
Carothers RG, Lyons JF. Early mobilization in treatment of oscalcis fractures. Am J Surg 1952; 83: 279-80.
Long C. et al. Sanders II-III calcaneal fractures fixed with locking plate in elderly patients Chin. J. Traumatol. 2016; 19: 164e167.
Коробушкин Г.В. Оптимизация лечения больных с повреждениями костей стопы. Автореф. дисс. д-ра мед. наук. М., 2015. 53 c.
Wei N. et al. Operative versus nonoperative treatment of displaced intra-articular calcaneal fractures: a meta-analysis of current evidence base. Medicine. 2017; 96 (49).
Каленский В.О., Иванов П.А., Шарифуллин Ф.А., Забавская О.А. Сравнение трех способов лечения переломов пяточной кости. Травматология и ортопедия России. 2018; 24 (3):103-112.
Freeman BJ, Duff S, Allen PE, et al. The extended lateral approach to the hindfoot. Anatomical basis and surgical implications. J Bone Joint Surg Br. 1998; 80(1):139-142.
Schweitzer K.M. et. al. Open reduction and internal fixation of intra-articular calcaneal fractures via an extensile lateral approach. Bone Joint Surg Am. 2010; 92: 2884-2889.
Al-Mudhaffar M, Prasad CV, Mofidi A. Wound complications following operative fixation of calcaneal fractures. Injury. 2000; 31(6): 461-4.
Cui ST, Liu ZZ, Tang B et al. Closed reduction and internal fixation versus transtarsal sinus small incision internal fixation for Sanders type II calcaneal fractures. Zhongguo Gu Shang. 2019; 32(5): 448-453.
Rammelt S., Amlang M., Barthel S. et al. Percutaneous treatment of less severe intraarticular calcaneal fractures. Clin. Orthop. Relat. Res. 2010; 468 (4).
Купитман М.Е., Атманский И.А., Черников М.К. и др. Лечение переломов пяточной кости аппаратом аксиальной фиксации. Современные проблемы науки и образования. 2014; (1)
Купитман М.Е., Атманский И.А., Черников М.К. и др. Обоснование нового способа закрытой репозиции переломов пяточной кости. Травматология и ортопедия России. 2012; (4): 99-104.
Купитман М.Е., Атманский И.А., Черников М.К. и др. Результаты и перспективы развития способов оперативного лечения переломов пяточной кости. Г ений ортопедии. 2013; (2): 22-26.
Купитман М.Е., Кургузов С.А., Атманский И.А., Русанов В.А.
Теоретическое и практическое обоснование целесообразности армирования переломов
суставных поверхностей костей преднапряженными конструкциями. Соврем. проблемы
науки и образования. 2014; (3)
Лантух Т.А. Волна А.А., Загородний Н.В. и др. ABCDEF-шкала оценки риска развития хирургических осложнений при оперативном лечении внутрисуставных переломов пяточной кости со смещением. Вестн. КРСУ. 2013; 13 (4): 122-124.
Hong S.K., Kim D.K., Jeon S.R. Primary management of polytrauma. Singapore: Springer Nature, 2019: 117-118.
Котельников Г.П. Травматология. Национальное руководство /под ред. Г.П. Котельникова, С.П. Миронова. Москва: ГЭОТАР-Медиа, 2017. 528 с.
Fisher L, Srikusalanukul W, Fisher A, Smith P. Liver function parameters in hip fracture patients: relations to age, adipokines, comorbidities and outcomes. Int J Med Sci. 2015; 12(2): 100-115.
Hedlund L.J., Maki D.D., Griffiths H.J. Calcaneal fractures in diabetic patients. J. Diabetes Compl. 1998; 12 (2): 81-87.
Zgonis T., Jolly G. P., Garbalosa J. C. The efficacy of prophylactic intravenous antibiotics in elective foot and ankle surgery. J. Foot Ankle Surg. 2004; 43(2), 97-103.
Хвостов Д.Л., Привольнев В.В. Профилактика инфекционных осложнений в травматологии и ортопедии. Клин микробиол. Антимикроб. химиотер. 2014; 16 (3): 168-175.
Gerbershagen H. J., Aduckathil S., van Wijck A. J. M., et al. Pain intensity on the first day after surgery. Anesthesiol. 2013; 118(4): 934-944.
Овечкин А.М., Баялиева А.Ж., Ежевская А. А. и др. Послеоперационное обезболивание. Клинические рекомендации. Вестн. интенсивной тер. им. А. И. Салтанова. 2019; (4): 933.
Park E.S., Choi Y., Lee J. et al. Calcaneal fracture: results of earlier rehabilitation after open reduction and internal fixation. Arch Orthop Trauma Surg. 2021; 141(6):929-936.
De Boer A.S., Van Lieshout E.M.M., Van Moolenbroek G. et al. The effect of time to postoperative weightbearing on functional and clinical outcomes in adults with a displaced intraarticular calcaneal fracture; A systematic review and pooled analysis. Injury. 2018; 49(4), 743-752.
Асланов Б.И., Зуева Л.П., Колосовская Е.Н., и др. Принципы организации периоперационной антибиотикопрофилактики в учреждениях здравоохранения. Федеральные клинические рекомендации. 2014.
Senthi S., Munro J.T., Pitto R.P. Infection in total hip replacement: meta-analysis. Int Orthop. 2011; 35(2): 253-260.
Matkovic V., Ilich J., Hsieh L. Influence of age, sex and diet on bone mass and fracture rate. Osteoporosis Int. 1993; 3(S1): 20-22.
Ebraheim N. A. et al. Calcaneus fractures with subluxation of the posterior facet: a surgical indication. Clin. Orthop. Relat. Res. 2000; 377: 210-216.
Pfeifer G CH, Grechenig S., Frankewycz B. et all. Analysis of 213 currently used rehabilitation protocols in foot and ankle fractures. Injury. 2015; 46 (Suppl. 4): S51-S57.
Gideon M.
Rehabilitation of a Fractured Heel Bone Hoyle. 2018.
Lorenz M. et all. How to recover from a broken heel.
Schmal H., Larsen A.H., Froberg L. et all. The effect of a heel-unloading orthosis in shortterm treatment of calcaneus fractures on physical function, quality of life and return to work - study protocol for a randomized controlled trial. Trials. 2019; 20 (1): 324.
Cuevas R.J. Learning to walk again after broken heel (Treatment & Recovery)
Blitz N.
Heel spur surgery: everything you need to know. 2023.
Guidelines for rehabilitation after heel fracture surgery Kira Specialist
Gerald J. How to Treat a Heel Fracture: 14 Steps.how-to-treat-a-heel-fracture-14-steps-with-pictures Last modified: 2024-01-19 22:11.
Causes, signs, and treatments for heel fractures. 2022.
Kido J, Starks J. Heel and foot pain treatments.
Rammelt S., Sangeorzan B.J., Swords MP. Calcaneal fractures - should we or should we not operate? Indian J Orthop. 2018; 52 (3): 220-230.
Banerjee R., Saltzman C., Anderson R.B., Nickisch F. Management of calcaneal malunion. J. Amer. Acad. Orthop. Surg. 2011; 19 (1): 27-36.
Diernacki
T. Heel stress fracture [Causes, symptoms & best treatment].
Adhya B., Dhillon H. et al. Rehabilitation protocols for calcaneus fractures. J. Foot Ankle Surg. (Asia Pacific) 2020; 7(2): 77-82.
Calcaneal fracture surgery post-operative guide.
Park E.S., Choi Y., Lee J. et al. Calcaneal fracture: results of earlier rehabilitation after open reduction and internal fixation. Arch Orthop Trauma Surg. 2021; 141(6):929-936.
Winkler W. The role of orthotics in the rehabilitation of patients with fracture of the calcaneum. Prosth. Orthotics Int. 1989; 13 (2): 70-75.
Robinson M.
Calcaneal fracture rehabilitation guide.
Calcaneus fracture nonoperative protocol. South Bend Orthopaedics. 2021.
Buckley R., Tough S., McCormack R. et al. Operative compared with nonoperative treatment of displaced intra-articular calcaneal fractures: a prospective, randomized, controlled multicenter trial. J Bone Joint Surg Am. 2002; 84 (10): 1733-44.
Physical therapy protocol calcaneus fracture open reduction internal fixation (ORIF). Режим доступа: https//medschool.cuanschutz.edu/docs/librariesprovider65/foot-and-fnkle-post-op- protocols/ccalcaneus-fracture—orif-protocols.pdf? sfvrsn=ad 1577bb_2.
Yu Li, Lin Xie, Wei Li. Effect of early partial weight-bearing rehabilitative exercise on postoperative functional recovery of sanders IV calcaneal fractures. Am J. Transl. Res. 2021; 13(7): 8316-8322.
Wolf M.R. Sports Medicine calcaneus fracture non-operative protocol.
Wyard Gary E., Friedland Mark E., Barnett Robert M. et al. Calcaneus fracture repair physical therapy protocol. 2014.
Darbois N.
Walking on broken heel bone - tips for good recovery. 2023
Swords M, Simon A. Return to work after surgical treatment for displaced calcaneus fractures treated with a sinus tarsi approach. Foot Ankle Orthop. 2018; 3(3).
Камедев С.С. Реабилитация после перелома пятки.
Schepers T, Ginai AZ, Van Lieshout EM, Patka P. Demographics of extra-articular calcaneal fractures: including a review of the literature on treatment and outcome. Arch Orthop Trauma Surg. 2008; 128 (10): 1099-106.
Кенис В.М., Сапоговский А.В. Повреждения стоп у детей: Учеб. пособие /Национальный медицинский исследовательский центр детской травматологии и ортопедии имени Г.И.Турнера. - СПб.: НМИЦ ДТО им. Г.И. Турнера, 2023. - 52 с.
Rammelt S., Godoy-Santos A.L., Schneiders W. et al. Foot and ankle fractures during childhood: review of the literature and scientific evidence for appropriate treatment. Rev Bras. Ortop. 2016; 51 (6): 630-639.
Wiley J.J., Profitt A. Fractures of the os calcis in children. Clin Orthop Relat Res. 1984: 1318.
Najefi A.A., Najefy A., Vemulapalli K. Paediatric calcaneal fractures: A guide to management based on a review of the literature. Injury. 2020; 51 (7): 1432-1438.
Kennedy A. P., Ignacio R. C., Ricca R. (eds.) Pediatric Trauma Care. A practical guide. Springer Int., 2022: 572 р.
Giusti A., Spila Alegiani S., Ciofi Degli Atti M.L. et al.; Apache Study Group. Surgical antibiotic prophylaxis in children: a mixed method study on healthcare professionals attitudes. BMC Pediatr. 2016; 16 (1): 203.
Кенис В.М. Современные представления о диагностике и лечении острой боли у детей. Ортопедия, травматология и восстановительная хирургия детского возраста. 2024; 12 (1): 139-150.
Bratzler D.W., Dellinger E.P., Olsen K.M., et al. Clinical practice guidelines for antimicrobial prophylaxis in surgery // Am. J. Health. Syst. Pharm. 2013. Vol. 70, № 3. P. 195-283. doi: 10.2146/ajhp120568.
AO Principles of Fracture Management: Vol. 1: Principles, Vol. 2: Specific fractures / ed. Buckley R.E., Moran C.G., Apivatthakakul T. Stuttgart: Georg Thieme Verlag, 2018. P. b- 006-149767. doi: 10.1055/b-006-149767.
World Health Organization. Global guidelines for the prevention of surgical site infection. 2nd ed. Geneva: World Health Organization, 2018. 184 p.
Akinyoola A.L., Adegbehingbe O.O., Odunsi A. Timing of Antibiotic Prophylaxis in Tourniquet Surgery // J. Foot Ankle Surg. 2011. Vol. 50, № 4. P. 374-376. doi: 10.1053/j.jfas.2011.04.008.
Messner J., Papakostidis C., Giannoudis P.V., et al. Duration of Administration of Antibiotic Agents for Open Fractures: Meta-Analysis of the Existing Evidence // Surg. Infect. 2017. Vol. 18, № 8. P. 854-867.
Sorger J.I., Kirk P.G., Ruhnke C.J., et al. Once Daily, High Dose Versus Divided, Low Dose Gentamicin for Open Fractures: // Clin. Orthop. 1999. Vol. 366. P. 197-204. doi: 10.1097/00003086-199909000-00026.
Hoff W.S., Bonadies J.A., Cachecho R., et al. East Practice Management Guidelines Work Group: Update to Practice Management Guidelines for Prophylactic Antibiotic Use in Open Fractures // J. Trauma Inj. Infect. Crit. Care. 2011. Vol. 70, № 3. P. 751-754. doi: 10.1097/TA.0b013e31820930e5.
Takahara S., Tokura T., Nishida R., et al. Ampicillin/sulbactam versus cefazolin plus aminoglycosides for antimicrobial prophylaxis in management of Gustilo type IIIA open fractures: A retrospective cohort study // Injury. 2022. Vol. 53, № 4. P. 1517-1522. doi: 10.1016/j.injury.2022.01.033.
What is the
most optimal prophylaxtic antibiotic coverage and treatment duration for open
fractures of long bones? [Electronic resource] // ICM Philly. 2019.
Брико Н. И., Божкова С. А., Брусина Е. Б. и др.; Национальная ассоциация специалистов по контролю инфекций, связанных с оказанием медицинской помощи (НАСКИ). Профилактика инфекций области хирургического вмешательства. Метод. рекомендации. М., 2022. 74 с.
Hauer J. Pain in children: Approach to pain assessment and overview of management principles // UpToDate. Poplack DG. Wolters Kluwer.
Orliaguet G., Hamza J., Couloigner V., et al. A Case of Respiratory Depression in a Child With Ultrarapid CYP2D6 Metabolism After Tramadol // Pediatrics. 2015. Vol. 135, № 3. P. e753-e755. doi: 10.1542/peds.2014-2673.
Schechter W. Pharmacologic management of acute perioperative pain in infants and children // UpToDate. Sun LS. Wolters Kluwer.
Приложение А1. Состав рабочей группы по разработке и пересмотру клинических рекомендаций
Беленький Игорь Григорьевич ГБУ - «Санкт-Петербургский НИИ скорой помощи им. И.И. Джанелидзе», Санкт-Петербург, д.м.н., доцент член АТОР;
Героева Ирина Борисовна - ФГБУ «НМИЦ ТО им Н.Н. Приорова» Минздрава России, д.м.н., профессор, Заслуженный врач Российской Федерации;
Горбатов Роман Олегович - ФГБОУ ВО «ПИМУ» Минздрава России, врач травматолог-ортопед, к.м.н., доцент, член АТОР;
Давыдов Денис Владимирович - ФГБУ «Главный военный клинический госпиталь им. акад. Н.Н. Бурденко» Министерства обороны Российской Федерации», начальник операционного отделения центра травматологии и ортопедии, д.м.н. ;
Дзюба Алексей Михайлович - ФГБУ «НМИЦ ТО им Н.Н. Приорова» Минздрава России, врач травматолог-ортопед;
Каленский Всеволод Олегович - ГБУЗ НИИ Скорой помощи им Н.В. Склифосовского Департамента здравоохранения города Москвы, врач травматолог- ортопед, к.м.н.;
Керимов Артур Асланович - ФГБУ «Главный военный клинический госпиталь им. акад. Н.Н. Бурденко» Министерства обороны Российской Федерации, начальник травматологического отделения;
Киреев Сергей Иванович - ФГБУ «СарНИИТО» Минздрава России, д.м.н., ведущий научный сотрудник;
Коробушкин Глеб Владимирович - д.м.н., профессор, Вице-президент Российской ассоциации хирургов стопы и голеностопного сустава (РусФАС);
Кузнецов Василий Викторович - ФГБУ «ННИИТО им. Я.Л. Цивьяна», м.н.с, врач- травматолог-ортопед, к.м.н., член совета Российской ассоциации хирургов стопы и голеностопного сустава (РусФАС);
Купитман Михаил Ефимович - Муниципальное автономное учреждение здравоохранения Городская клиническая больница № 6, заведующий отделением, к.м.н.;
Лантух Тимофей Александрович - АО «Ильинская больница», врач травматолог- ортопед, к.м.н.;
Мазалов Алексей Витальевич - врач травматолог-ортопед, президент Российской ассоциации хирургов стопы и голеностопного сустава (РусФАС);
Майоров Борис Александрович - ГБУ «Санкт-Петербургский НИИ скорой помощи им. И.И. Джанелидзе», ПСПбГУ им. Ак. И.П. Павлова, Санкт-Петербург, врач- травматолог-ортопед, к.м.н., член АТОР;
Мирошникова Екатерина Александровна - ГБУЗ Г ородская клиническая больница №1 им Н. И. Пирогова Департамента здравоохранения города Москвы, врач травматолог- ортопед, к.м.н.;Мурсалов Анатолий Камалович - ФГБУ «НМИЦ ТО им. Н.Н. Приорова» МЗ РФ, Москва, врач-травматолог-ортопед, к.м.н.;
Отделёнов Виталий Александрович - ФГБУ «НМИЦ ТО им. Н.Н. Приорова» МЗ РФ, Москва, врач-клинический фармаколог, к.м.н.;
Пахомов Игорь Анатольевич - ФГБУ «ННИИТО им. Я.Л. Цивьяна», ведущий научный сотрудник, врач-травматолог-ортопед, д,м.н., член совета Российской ассоциации хирургов стопы и голеностопного сустава (РусФАС);
Процко Виктор Геннадьевич - ФГАО УВО «РУДН», кафедра травматологии и ортопедии, профессор, д.м.н., экс-президент Российской ассоциации хирургов стопы и голеностопного сустава (РусФАС);
Сергеев Геннадий Дмитриевич - ГБУ «Санкт-Петербургский НИИ скорой помощи им. И.И. Джанелидзе», Санкт-Петербург, врач-травматолог-ортопед, к.м.н., член АТОР;
Сорокин Евгений Петрович - ФГБУ «НМИЦ ТО им. Р.Р. Вредена» Минздрава России, врач травматолог-ортопед, м.н.с., Вице-президент Российской ассоциации хирургов стопы и голеностопного сустава (РусФАС), к.м.н.
Конфликт интересов: отсутствует.
Приложение А2. Методология разработки клинических рекомендаций
Целевая аудитория данных клинических рекомендаций:
врачи — травматологи-ортопеды;
главные врачи (начальники) медицинской организации;
заместители руководителей (начальников) медицинской организации;
заведующие (начальники) структурного подразделения (отдела, отделения, лаборатории, кабинета, отряда и другое) медицинской организации - врачи- специалисты;
заведующие (главные врачи, начальники) структурного подразделения, осуществляющего медицинскую деятельность, иной организации.
Этапы оценки уровней достоверности доказательств и убедительности рекомендаций:
Определение критериев поиска и отбора публикаций о клинических исследованиях (КИ) эффективности и/или безопасности медицинского вмешательства, описанного в тезисе-рекомендации.
Систематический поиск и отбор публикаций о КИ в соответствии с определёнными ранее критериями.
Систематический поиск и отбор публикаций о клинических исследованиях:
Доказательной базой для рекомендаций явились публикации, отобранные с помощью информационного поиска в базах данных ЦНМБ «Российская медицина», MEDLINE (НМБ США) и COCHRANE Library, научных электронных библиотеках eLibrary.ru и «КиберЛенинка», а также в сети Интернет с помощью поисковых систем Яндекс, Google и Google Scholar, путем просмотра ведущих специализированных рецензируемых отечественных медицинских журналов по данной тематике.
Уровень достоверности доказательств, содержащихся в публикациях, оценивали в соответствии с таблицами 1 и 2. Отбирали публикации с максимальным уровнем достоверности доказательств.


Слабая рекомендация (отсутствие доказательств надлежащего качества (все рассматриваемые критерии эффективности (исходы) являются неважными, все исследования имеют низкое методологическое качество и их выводы по интересующим исходам не являются согласованными)
Порядок обновления клинических рекомендаций.
Механизм обновления клинических рекомендаций предусматривает их систематическую актуализацию - не реже чем один раз в три года, а также при появлении новых данных с позиции доказательной медицины по вопросам диагностики, лечения, профилактики и реабилитации конкретных заболеваний, наличии обоснованных дополнений/замечаний к ранее утверждённым КР, но не чаще 1 раза в 6 месяцев.
Приложение А3. Справочные материалы, включая соответствие показаний к применению и противопоказаний, способов применения и доз лекарственных препаратов, инструкции по применению лекарственного препарата
Приложение А3.1 Режим дозирования обезболивающих препаратов для детей




1 Детям до 12 лет предпочтительно применять морфин** при необходимости назначения опиоидных анальгетиков, так как применение трамадола** ассоциировано с большим риском нежелательных реакций [95, 96].
2 Тримеперидин не следует применять у детей, т.к. его метаболит накапливается в организме и при повторном применении провоцирует судороги [97].
Приложение Б. Алгоритмы действий врача


Приложение В. Информация для пациента
Рекомендации на амбулаторный этап лечения.
Прием (осмотр, консультация) врача - травматолога-ортопеда по месту жительства, решение вопроса по поводу дальнейшей тактики лечения, включая расширение двигательного режима.
Снятие швов - на 14-21-е сутки после операции (определяются для каждого пациента индивидуально лечащим врачом-травматологом-ортопедом, врачом-хирургом, врачом- детским хирургом).
Соблюдение ортопедического режима.
Продолжить комплекс упражнений (лечебной физкультуры).
Эластическая компрессия нижних конечностей - в течение 2 месяцев после выполнения операции (необходимость и продолжительность эластической компрессии нижних конечностей определяется в каждом случае индивидуально лечащим врачом - травматологом-ортопедом, врачом-хирургом, врачом-детским хирургом).
Обезболивающая терапия - прием анальгетиков с учетом болевого синдрома и противопоказаний.
При наличии сопутствующей патологии - консультация смежными врачами- специалистами.
Приложения Г1-Г3. Шкалы оценки, вопросники и другие оценочные инструменты состояния пациента, приведенные в клинических рекомендациях
Приложение Г1. Функциональный индекс стопы
Оригинальное название (если есть): Foot function index (FFI)
Источник (официальный сайт разработчиков, публикация с валидацией): Budiman- Mak E., Conrad K.J., Roach K.E. (1991) The Foot Function Index: a measure of foot pain and disability. JClin Epidemiol; 44: 561-570.
Тип (подчеркнуть):
шкала оценки
индекс
вопросник
другое (уточнить):
Назначение: оценка функционального состояния стопы, в том числе у пациентов с переломами пяточной кости.
Содержание (шаблон):
Дайте, пожалуйста, ответ на каждый вопрос, поместив метку на линии так, чтобы ее положение точнее всего соответствовало Вашему состоянию за последнюю неделю.


Ключ (интерпретация):
Вопросник состоит из 23 пунктов, сгруппированных в 3 модуля: боль (9 вопросов), нарушение функции (9 вопросов) и ограничение физической активности (5 вопросов). Каждый параметр оценивается по визуальной аналоговой шкале. Значение ответа определяется путем сравнения расположения отметки с шаблоном, разделенным на 10 одинаковых сегментов, и оценивается от 0 до 9 баллов. На некоторые вопросы пациент может не отвечать и отметить их в графе «нет ответа». Расчет результата в каждом модуле производится отдельно по отношению к вопросам, на которые пациент ответил, в виде значения в диапазоне от 0 до 100. Общий результат рассчитывается как арифметическое среднее между результатами, полученными в каждом модуле, и представлен так же в формате от 0 до 100, где 100 соответствует наихудшему состоянию стоп. Оцениваемый интервал - 1 неделя.
Приложение Г2. Вопросник функциональных возможностей стопы и голеностопного сустава
Оригинальное название: Foot and ankle ability Measure (FAAM).
Источник (официальный сайт разработчиков, публикация с валидацией): Martin R.L., Irrgan J.J., Burdett R.Get al. Evidence of validity for the Foot and Ankle Ability Measure (FAAM). Foot Ankle Int. 2005; 26: 968-983 Тип: вопросник
Назначение: оценка функциональных возможностей стопы и голеностопного сустава. Содержание:
Испытывали ли Вы ограничения в следующих видах физической активности в течение последней недели?
(отметьте выбранный вариант ответа галочкой)


Вопросник функциональных возможностей стопы и голеностопного сустава
Спортивный Модуль
Испытывали ли Вы ограничения в следующих видах физической активности в течение последней недели?
(отметьте выбранный вариант ответа галочкой)
Ключ (интерпретация):
во всех приведенных вопросниках результат варьируется от 0 до 100,
где 100 — уровень возможностей пациента до возникновения проблем со стопами,
0 - полная невозможность выполнять какую-либо активность.
Приложение Г3. Шкала ABCDEF оценки рисков возможного хирургического лечения переломов пяточной кости
Оригинальное название (если есть): ABCDEF Calcaneal Risk Scale.
Источник (официальный сайт разработчиков, публикация с валидацией): [35].
Тип (подчеркнуть): шкала оценки
Назначение: оценка риска развития хирургических осложнений при оперативном лечении переломов пяточной кости.
Содержание:
L А (Age) - возраст. До 29 лет включительно - 1 балл. От 30 до 44 лет включительно - 2 балла. От 45 до 59 включительно - 3 балла. От 60 лет и старше - 4 балла. Данная градация соответствует критериям возрастных групп по ВОЗ.
B (Blisters) - фликтены. Нет и не было после перелома - 1 балл. Серозные фликтены - 2 балла. Геморрагические фликтены - 3 балла. Геморрагические фликтены с участками некрозов кожи - 4 балла.
C (Comorbidities) - сопутствующие заболевания. Нет сопутствующих заболеваний - 1 балл. Есть сопутствующие заболевания (сосудистые заболевания, сахарный диабет, иммунодефицит), но данные заболевания хорошо компенсированы и не требуют постоянного приема препаратов - 2 балла. Есть сопутствующие заболевания (сосудистые заболевания, сахарный диабет, иммунодефицит), требующие постоянной медикаментозной терапии - 3 балла. Есть трофические нарушения вследствие тяжелого течения сопутствующих заболеваний - 4 балла.
D (Detrimental health habits) - вредные привычки, разрушающие здоровье. Нет вредных привычек - 1 балл. Эпизодическое табакокурение или стаж менее 5 лет - 2 балла. Табакокурение со стажем от 5 до 20 лет - 3 балла. Табакокурение со стажем 20 лет и больше, наркомания - 4 балла.
E (Energy of the injury) - энергия травмы. Низкоэнергетическая травма - 1 балл. Высокоэнергетическая травма - 2 балла. Высокоэнергетическая политравма или билатеральные переломы пяточных костей - 3 балла.
F (Fragments) - количество внутрисуставных фрагментов в соответствии с классификацией Sanders. Два фрагмента - 1 балл. Три внутрисуставных фрагмента - 2 балла. Четыре и более фрагментов - 3 балла.
Ключ (интерпретация):
“Зеленая” зона (от 6 до 12 баллов) - открытая репозиция и внутренняя фиксация пластиной возможны.
“Желтая” зона (от 13 до 15 баллов) - открытая репозиция и внутренняя фиксация пластиной возможны, но сопряжены с высоким хирургическим риском развития послеоперационных осложнений.
“Красная” зона (от 15 баллов и выше) - риск развития осложнений неприемлемый. Мини-инвазивная фиксация винтами, наружная фиксация аппаратом или консервативное лечение предпочтительней.
Теги: пяточная кость
234567 Начало активности (дата): 20.11.2025
234567 Кем создан (ID): 989
234567 Ключевые слова: биологическая обратная связь, нижняя конечность, перелом, пяточная кость
12354567899
Похожие статьи
Анатомическая вариативность медиального пяточного нерва: кадаверное исследованиеРентген на дому 8 495 22 555 6 8
Устройство для репозиции костных фрагментов костей голени при внеочаговом остеосинтезе
Диагностика, лечение и профилактика венозных тромбоэмболических осложнений
Замещение тотального дефекта таранной кости с использованием индивидуального SD-имплантата из пористого титана при нейроостеоартропатии Шарко у пациентки с нейросифилисом


